Skip to main content

DUS4L Antibody - BSA Free

Novus Biologicals, part of Bio-Techne | Catalog # NBP1-91854

Novus Biologicals, part of Bio-Techne
Catalog #
Availability
Size / Price
Qty
Loading...
NBP1-91854
NBP1-91854-25ul

Key Product Details

Species Reactivity

Human

Applications

Immunohistochemistry, Immunohistochemistry-Paraffin, Immunocytochemistry/ Immunofluorescence

Label

Unconjugated

Antibody Source

Polyclonal Rabbit IgG

Format

BSA Free

Concentration

Concentrations vary lot to lot. See vial label for concentration. If unlisted please contact technical services.

Product Specifications

Immunogen

This antibody was developed against Recombinant Protein corresponding to amino acids: ELVQDMVKQVRNQVETPGFSVSIKIRIHDDLKRTVDLCQKAEATGVSWITVHGRTAEERHQPVHYDSIKIIKENMSIPVIANGD

Reactivity Notes

Immunogen displays the following percentage of sequence identity for non-tested species: Mouse (83%), Rat (82%)

Clonality

Polyclonal

Host

Rabbit

Isotype

IgG

Description

Novus Biologicals Rabbit DUS4L Antibody - BSA Free (NBP1-91854) is a polyclonal antibody validated for use in IHC and ICC/IF. All Novus Biologicals antibodies are covered by our 100% guarantee.

Scientific Data Images for DUS4L Antibody - BSA Free

Immunocytochemistry/ Immunofluorescence: DUS4L Antibody [NBP1-91854]

Immunocytochemistry/ Immunofluorescence: DUS4L Antibody [NBP1-91854]

Immunocytochemistry/Immunofluorescence: DUS4L Antibody [NBP1-91854] - Immunofluorescent staining of human cell line U-251 MG shows localization to cytosol.
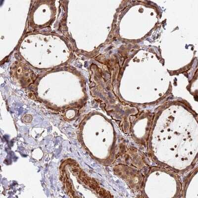
Immunohistochemistry-Paraffin: DUS4L Antibody [NBP1-91854]

Immunohistochemistry-Paraffin: DUS4L Antibody [NBP1-91854]

Immunohistochemistry-Paraffin: DUS4L Antibody [NBP1-91854] - Staining of human thyroid gland shows moderate cytoplasmic positivity in glandular cells.

Applications for DUS4L Antibody - BSA Free

Application
Recommended Usage

Immunocytochemistry/ Immunofluorescence

0.25-2 ug/ml

Immunohistochemistry

1:50 - 1:200

Immunohistochemistry-Paraffin

1:50 - 1:200
Application Notes
For IHC-Paraffin, HIER pH 6 retrieval is recommended. Immunocytochemistry/Immunofluorescence Fixation Permeabilization: Use PFA/Triton X-100.

Formulation, Preparation, and Storage

Purification

Affinity purified

Formulation

PBS (pH 7.2) and 40% Glycerol

Format

BSA Free

Preservative

0.02% Sodium Azide

Concentration

Concentrations vary lot to lot. See vial label for concentration. If unlisted please contact technical services.

Shipping

The product is shipped with polar packs. Upon receipt, store it immediately at the temperature recommended below.

Stability & Storage

Store at 4C short term. Aliquot and store at -20C long term. Avoid freeze-thaw cycles.

Background: DUS4L

DUS4L catalyzes the synthesis of dihydrouridine, a modified base found in the D-loop of most tRNAs

Alternate Names

2310069P03Rik, dihydrouridine synthase 4-like (S. cerevisiae), DUS4, MGC133233, PP35, protein similar to E.coli yhdg and R. capsulatus nifR3, tRNA-dihydrouridine synthase 4-like

Gene Symbol

DUS4L

Additional DUS4L Products

Product Documents for DUS4L Antibody - BSA Free

Certificate of Analysis

To download a Certificate of Analysis, please enter a lot number in the search box below.

Product Specific Notices for DUS4L Antibody - BSA Free

This product is for research use only and is not approved for use in humans or in clinical diagnosis. Primary Antibodies are guaranteed for 1 year from date of receipt.

Loading...
Loading...
Loading...
Loading...