DNAJB11 Antibody - BSA Free
Novus Biologicals, part of Bio-Techne | Catalog # NBP1-84900
Key Product Details
Species Reactivity
Validated:
Human
Predicted:
Mouse (100%), Rat (99%). Backed by our 100% Guarantee.
Applications
Immunohistochemistry, Immunohistochemistry-Paraffin, Western Blot
Label
Unconjugated
Antibody Source
Polyclonal Rabbit IgG
Format
BSA Free
Concentration
Concentrations vary lot to lot. See vial label for concentration. If unlisted please contact technical services.
Product Specifications
Immunogen
This antibody was developed against Recombinant Protein corresponding to amino acids: DSEKRKQYDTYGEEGLKDGHQSSHGDIFSHFFGDFGFMFGGTPRQQDRNIPRGSDIIVDLEVTLEEVYAGNFVEVVRNKPVARQAPGKRKCNCRQEMRTTQLGPGRFQMTQEVVCDECPNVKLVNEERTLEV
Clonality
Polyclonal
Host
Rabbit
Isotype
IgG
Description
Novus Biologicals Rabbit DNAJB11 Antibody - BSA Free (NBP1-84900) is a polyclonal antibody validated for use in IHC and WB. All Novus Biologicals antibodies are covered by our 100% guarantee.
Scientific Data Images for DNAJB11 Antibody - BSA Free
Western Blot: DNAJB11 Antibody [NBP1-84900]
Western Blot: DNAJB11 Antibody [NBP1-84900] - Analysis in control (vector only transfected HEK293T lysate) and DNAJB11 over-expression lysate (Co-expressed with a C-terminal myc-DDK tag (3.1 kDa) in mammalian HEK293T cells).Immunohistochemistry-Paraffin: DNAJB11 Antibody [NBP1-84900]
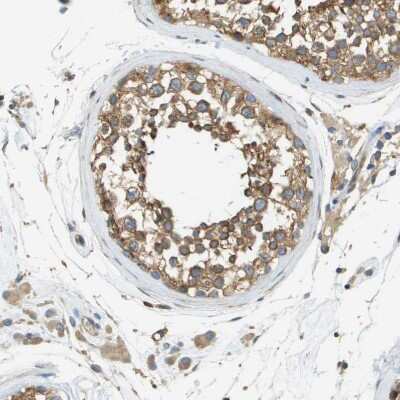
Immunohistochemistry-Paraffin: DNAJB11 Antibody [NBP1-84900] - Staining of human testis shows weak to moderate cytoplasmic positivity in cells in seminiferous ducts.Western Blot: DNAJB11 Antibody [NBP1-84900]
Western Blot: DNAJB11 Antibody [NBP1-84900] - Lane 1: Marker [kDa] 250, 130, 95, 72, 55, 36, 28, 17, 10. Lane 2: Negative control (vector only transfected HEK293T lysate). Lane 3: Over-expression lysate (Co-expressed with a C-terminal myc-DDK tag (3.1 kDa) in mammalian HEK293T cells).Applications for DNAJB11 Antibody - BSA Free
Application
Recommended Usage
Immunohistochemistry
1:20 - 1:50
Immunohistochemistry-Paraffin
1:20 - 1:50
Western Blot
0.04-0.4 ug/ml
Application Notes
For IHC-Paraffin, HIER pH 6 retrieval is recommended.
Formulation, Preparation, and Storage
Purification
Affinity purified
Formulation
PBS (pH 7.2) and 40% Glycerol
Format
BSA Free
Preservative
0.02% Sodium Azide
Concentration
Concentrations vary lot to lot. See vial label for concentration. If unlisted please contact technical services.
Shipping
The product is shipped with polar packs. Upon receipt, store it immediately at the temperature recommended below.
Stability & Storage
Store at 4C short term. Aliquot and store at -20C long term. Avoid freeze-thaw cycles.
Background: DNAJB11
Alternate Names
ABBP-2, APOBEC1-binding protein 2, DnaJ (Hsp40) homolog, subfamily B, member 11, dnaJ homolog subfamily B member 11, DnaJ protein homolog 9, EDJABBP2, ER-associated DNAJ, ER-associated dnaJ protein 3, ER-associated Hsp40 co-chaperone, ERdj3DJ9, ERJ3, ERj3p, HDJ9, hDj-9, HEDJERj3, Human DnaJ protein 9, PRO1080, PWP1-interacting protein 4, UNQ537
Gene Symbol
DNAJB11
Additional DNAJB11 Products
Product Documents for DNAJB11 Antibody - BSA Free
Product Specific Notices for DNAJB11 Antibody - BSA Free
This product is for research use only and is not approved for use in humans or in clinical diagnosis. Primary Antibodies are guaranteed for 1 year from date of receipt.
Loading...
Loading...
Loading...
Loading...