DNA-PKcs [p Ser2056] Antibody (SR1789) - BSA Free
Novus Biologicals, part of Bio-Techne | Catalog # NBP3-21517
Recombinant Monoclonal Antibody
Key Product Details
Validated by
Biological Validation
Species Reactivity
Human
Applications
Immunocytochemistry/ Immunofluorescence, Immunohistochemistry, Western Blot
Label
Unconjugated
Antibody Source
Recombinant Monoclonal Rabbit IgG Clone # SR1789 expressed in HEK293
Format
BSA Free
Concentration
Please see the vial label for concentration. If unlisted please contact technical services.
Product Specifications
Immunogen
A synthesized peptide derived from human phospho-DNA-PKcs [Ser2056] (Uniprot #: P78527)
Modification
p Ser 2056
Specificity
Detects endogenous levels of total phospho-DNA PKcs [Ser2056]
Clonality
Monoclonal
Host
Rabbit
Isotype
IgG
Theoretical MW
469 kDa.
Disclaimer note: The observed molecular weight of the protein may vary from the listed predicted molecular weight due to post translational modifications, post translation cleavages, relative charges, and other experimental factors.
Disclaimer note: The observed molecular weight of the protein may vary from the listed predicted molecular weight due to post translational modifications, post translation cleavages, relative charges, and other experimental factors.
Description
Novus Biologicals Rabbit DNA-PKcs [p Ser2056] Antibody (SR1789) - BSA Free (NBP3-21517) is a recombinant monoclonal antibody validated for use in IHC, WB and ICC/IF. All Novus Biologicals antibodies are covered by our 100% guarantee.
Scientific Data Images for DNA-PKcs [p Ser2056] Antibody (SR1789) - BSA Free
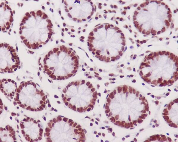
Immunohistochemistry: DNA-PKcs [p Ser 2056] Antibody (SR1789) [NBP3-21517] -
Immunohistochemistry: DNA-PKcs [p Ser 2056] Antibody (SR1789) [NBP3-21517] - Immunohistochemical analysis of paraffin-embedded human colon, using NBP3-21517.Applications for DNA-PKcs [p Ser2056] Antibody (SR1789) - BSA Free
Application
Recommended Usage
Immunocytochemistry/ Immunofluorescence
1:50-1:200
Immunohistochemistry
1:50-1:200
Western Blot
1:500-1:2000
Formulation, Preparation, and Storage
Purification
Affinity purified
Formulation
PBS, pH 7.4, 150mM NaCl, 50% glycerol.
Format
BSA Free
Preservative
0.02% Sodium Azide
Concentration
Please see the vial label for concentration. If unlisted please contact technical services.
Shipping
The product is shipped with polar packs. Upon receipt, store it immediately at the temperature recommended below.
Stability & Storage
Store at 4C short term. Aliquot and store at -20C long term. Avoid freeze-thaw cycles.
Background: DNA-PKcs
Long Name
DNA-dependent Protein Kinase Catalytic Subunit
Alternate Names
DNAPK, DNAPKcs, DNPK1, HYRC1, p350, PRKDC, XRCC7
Gene Symbol
PRKDC
Additional DNA-PKcs Products
Product Documents for DNA-PKcs [p Ser2056] Antibody (SR1789) - BSA Free
Product Specific Notices for DNA-PKcs [p Ser2056] Antibody (SR1789) - BSA Free
This product is for research use only and is not approved for use in humans or in clinical diagnosis. Primary Antibodies are guaranteed for 1 year from date of receipt.
Loading...
Loading...
Loading...
Loading...