Skip to main content

DGCR2 Antibody - BSA Free

Novus Biologicals, part of Bio-Techne | Catalog # NBP1-84255

Novus Biologicals, part of Bio-Techne
Catalog #
Availability
Size / Price
Qty
Loading...
NBP1-84255
NBP1-84255-25ul

Key Product Details

Species Reactivity

Validated:

Human

Cited:

Human

Predicted:

Mouse (97%), Rat (97%). Backed by our 100% Guarantee.

Applications

Validated:

Immunohistochemistry, Immunohistochemistry-Paraffin

Cited:

Immunohistochemistry-Paraffin

Label

Unconjugated

Antibody Source

Polyclonal Rabbit IgG

Format

BSA Free

Concentration

Concentrations vary lot to lot. See vial label for concentration. If unlisted please contact technical services.

Product Specifications

Immunogen

This antibody was developed against a recombinant protein corresponding to the amino acids: RFSRKCPTGWHHYEGTASCYRVYLSGENYWDAAQTCQRLNGSLATFSTDQELRFVLAQEWDQPERSFGWKDQRKLWVGYQYVITGRNRSLEGRWEVAFKGSSEVFLPPDPIFASAMSENDNVFCAQLQCFHFPTLRHHDLHSWHAESCYEKSSFLCKRSQTCVDIKDNVVDEGFYFTPK

Clonality

Polyclonal

Host

Rabbit

Isotype

IgG

Description

Novus Biologicals Rabbit DGCR2 Antibody - BSA Free (NBP1-84255) is a polyclonal antibody validated for use in IHC. Anti-DGCR2 Antibody: Cited in 2 publications. All Novus Biologicals antibodies are covered by our 100% guarantee.

Scientific Data Images for DGCR2 Antibody - BSA Free

Immunohistochemistry-Paraffin: DGCR2 Antibody [NBP1-84255]

Immunohistochemistry-Paraffin: DGCR2 Antibody [NBP1-84255]

Immunohistochemistry-Paraffin: DGCR2 Antibody [NBP1-84255] - Staining of human liver shows no positivity in hepatocytes as expected.
Immunohistochemistry-Paraffin: DGCR2 Antibody [NBP1-84255]

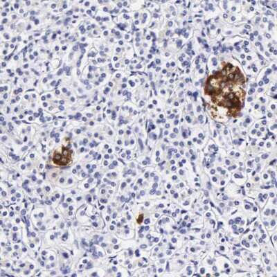
Immunohistochemistry-Paraffin: DGCR2 Antibody [NBP1-84255]

Immunohistochemistry-Paraffin: DGCR2 Antibody [NBP1-84255] - Staining of human pancreas shows moderate cytoplasmic positivity in islets of Langerhans.

Applications for DGCR2 Antibody - BSA Free

Application
Recommended Usage

Immunohistochemistry

1:200 - 1:500

Immunohistochemistry-Paraffin

1:200 - 1:500
Application Notes
For IHC-Paraffin, HIER pH 6 retrieval is recommended.

Formulation, Preparation, and Storage

Purification

Affinity purified

Formulation

PBS (pH 7.2) and 40% Glycerol

Format

BSA Free

Preservative

0.02% Sodium Azide

Concentration

Concentrations vary lot to lot. See vial label for concentration. If unlisted please contact technical services.

Shipping

The product is shipped with polar packs. Upon receipt, store it immediately at the temperature recommended below.

Stability & Storage

Store at 4C short term. Aliquot and store at -20C long term. Avoid freeze-thaw cycles.

Background: DGCR2

Deletions of the 22q11.2 have been associated with a wide range of developmental defects (notably DiGeorge syndrome, velocardiofacial syndrome, conotruncal anomaly face syndrome and isolated conotruncal cardiac defects) classified under the acronym CATCH 22. The DGCR2 gene encodes a novel putative adhesion receptor protein, which could play a role in neural crest cells migration, a process which has been proposed to be altered in DiGeorge syndrome. [provided by RefSeq]

Long Name

DiGeorge Syndrome Critical Region Gene 2

Alternate Names

KIAA0163, SEZ-12

Entrez Gene IDs

9993 (Human)

Gene Symbol

DGCR2

UniProt

Additional DGCR2 Products

Product Documents for DGCR2 Antibody - BSA Free

Certificate of Analysis

To download a Certificate of Analysis, please enter a lot number in the search box below.

Product Specific Notices for DGCR2 Antibody - BSA Free

This product is for research use only and is not approved for use in humans or in clinical diagnosis. Primary Antibodies are guaranteed for 1 year from date of receipt.

Loading...
Loading...
Loading...
Loading...