Skip to main content

Dendritic Cell Marker Antibody (AP-MAB0801) - Azide and BSA Free

Novus Biologicals, part of Bio-Techne | Catalog # NB110-85474

Novus Biologicals, part of Bio-Techne
Catalog #
Availability
Size / Price
Qty
Loading...
NB110-85474-0.025mg
NB110-85474-100ug
Conjugate
Catalog #

Key Product Details

Validated by

Biological Validation

Species Reactivity

Validated:

Mouse

Cited:

Mouse

Applications

Validated:

Immunohistochemistry, Immunohistochemistry-Paraffin, Flow Cytometry, CyTOF-ready

Cited:

Immunohistochemistry-Paraffin

Label

Unconjugated

Antibody Source

Monoclonal Rat IgG2 Clone # AP-MAB0801

Format

Azide and BSA Free

Concentration

LYOPH mg/ml

Product Specifications

Immunogen

Mouse Dendritic cells

Specificity

Reacts with mouse dendritic cells.

Marker

Dendritic Cell Marker

Clonality

Monoclonal

Host

Rat

Isotype

IgG2

Scientific Data Images for Dendritic Cell Marker Antibody (AP-MAB0801) - Azide and BSA Free

Immunohistochemistry-Paraffin: Dendritic Cell Marker Antibody (AP-MAB0801) - Azide and BSA Free [NB110-85474]

Immunohistochemistry-Paraffin: Dendritic Cell Marker Antibody (AP-MAB0801) - Azide and BSA Free [NB110-85474]

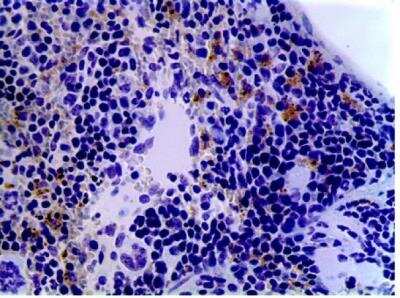
Immunohistochemistry-Paraffin: Dendritic Cell Marker Antibody (AP-MAB0801) [NB110-85474] - Formalin fixed and paraffin embedded mouse spleen tissue section was subjected to IHC staining of mouse DCs using NB110-85474 (x 40).
Immunohistochemistry-Paraffin: Dendritic Cell Marker Antibody (AP-MAB0801) - Azide and BSA Free [NB110-85474]

Immunohistochemistry-Paraffin: Dendritic Cell Marker Antibody (AP-MAB0801) - Azide and BSA Free [NB110-85474]

Immunohistochemistry-Paraffin: Dendritic Cell Marker Antibody (AP-MAB0801) [NB110-85474] - 4% PFA fixed and paraffin embedded mouse Liver and Lung sections from LPS treated mice was subjected to staining (DAB) of DC marker.
Immunohistochemistry-Paraffin: Dendritic Cell Marker Antibody (AP-MAB0801) - Azide and BSA Free [NB110-85474]

Immunohistochemistry-Paraffin: Dendritic Cell Marker Antibody (AP-MAB0801) - Azide and BSA Free [NB110-85474]

Immunohistochemistry-Paraffin: Dendritic Cell Marker Antibody (AP-MAB0801) [NB110-85474] - Formalin fixed and paraffin embedded mouse spleen tissue section was subjected to IHC staining of mouse DCs using NB110-85474 (x 20).

Applications for Dendritic Cell Marker Antibody (AP-MAB0801) - Azide and BSA Free

Application
Recommended Usage

Flow Cytometry

1:100-1:1000

Immunohistochemistry-Paraffin

1:25-1:50
Application Notes
The enzymatic antigen retrieval method (proteinase K digestion) was used in IHC-P that led to the generation of the images posted on this site. This antibody is CyTOF ready.

Formulation, Preparation, and Storage

Purification

Protein A or G purified

Reconstitution

Reconstitute with sterilized PBS to a final concentration of 0.5 mg/ml.

Formulation

Lyophilized from a 0.2 um filtered solution in PBS. 0.025 mg size is provided in liquid form, PBS

Format

Azide and BSA Free

Preservative

No Preservative

Concentration

LYOPH mg/ml

Shipping

The product is shipped with polar packs. Upon receipt, store it immediately at the temperature recommended below.

Stability & Storage

Aliquot and store at -20C or -80C. Avoid freeze-thaw cycles.

Background: Dendritic Cell Marker

Dendritic cells are potent antigen presenting cells that possess the ability to stimulate naive T cells. They are critical for the induction of T cell responses resulting in cell mediated immunity. Within different tissues, dendritic cells differentiate and become active in the taking up and processing of antigens, and their subsequent presentation on the cell surface linked to major histocompatibility (MHC) molecules. Upon appropriate stimulation, dendritic cells undergo further maturation and migrate to secondary lymphoid tissues where they present Ag to T cells and induce an immune response.

Alternate Names

DCs, Dendritic cell

Additional Dendritic Cell Marker Products

Product Documents for Dendritic Cell Marker Antibody (AP-MAB0801) - Azide and BSA Free

Certificate of Analysis

To download a Certificate of Analysis, please enter a lot number in the search box below.

Product Specific Notices for Dendritic Cell Marker Antibody (AP-MAB0801) - Azide and BSA Free

This product is for research use only and is not approved for use in humans or in clinical diagnosis. Primary Antibodies are guaranteed for 1 year from date of receipt.

Loading...
Loading...
Loading...
Loading...
Loading...
Loading...
Loading...