DDT Antibody - BSA Free
Novus Biologicals, part of Bio-Techne | Catalog # NBP1-33461
Key Product Details
Species Reactivity
Validated:
Human, Mouse, Rat
Predicted:
Rhesus Macaque (96%). Backed by our 100% Guarantee.
Applications
Immunohistochemistry, Immunohistochemistry-Paraffin, Western Blot
Label
Unconjugated
Antibody Source
Polyclonal Rabbit IgG
Format
BSA Free
Concentration
Concentrations vary lot to lot. See vial label for concentration. If unlisted please contact technical services.
Product Specifications
Immunogen
Recombinant protein encompassing a sequence within the center region of human DDT. The exact sequence is proprietary.
Reactivity Notes
Pig (80%).
Localization
Cytoplasm
Clonality
Polyclonal
Host
Rabbit
Isotype
IgG
Theoretical MW
13 kDa.
Disclaimer note: The observed molecular weight of the protein may vary from the listed predicted molecular weight due to post translational modifications, post translation cleavages, relative charges, and other experimental factors.
Disclaimer note: The observed molecular weight of the protein may vary from the listed predicted molecular weight due to post translational modifications, post translation cleavages, relative charges, and other experimental factors.
Description
Novus Biologicals Rabbit DDT Antibody - BSA Free (NBP1-33461) is a polyclonal antibody validated for use in IHC and WB. All Novus Biologicals antibodies are covered by our 100% guarantee.
Scientific Data Images for DDT Antibody - BSA Free
Western Blot: DDT Antibody [NBP1-33461]
Western Blot: DDT Antibody [NBP1-33461] - Rat tissue extract (50 ug) was separated by 15% SDS-PAGE, and the membrane was blotted with DDT antibody [N1C3] diluted at 1:500.Immunohistochemistry-Paraffin: DDT Antibody [NBP1-33461]
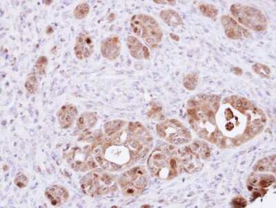
Immunohistochemistry-Paraffin: DDT Antibody [NBP1-33461] - Paraffin-embedded NCIN87 xenograft, using antibody at 1:100 dilution.Western Blot: DDT Antibody [NBP1-33461]
Western Blot: DDT Antibody [NBP1-33461] - Sample (30 ug of whole cell lysate) A: Raji 15% SDS PAGE, antibody diluted at 1:500.Applications for DDT Antibody - BSA Free
Application
Recommended Usage
Immunohistochemistry
1:100-1:1000
Immunohistochemistry-Paraffin
1:100-1:1000
Western Blot
1:500-1:3000
Formulation, Preparation, and Storage
Purification
Antigen Affinity-purified
Formulation
0.1M Tris, 0.1M Glycine, 10% Glycerol
Format
BSA Free
Preservative
0.01% Thimerosal
Concentration
Concentrations vary lot to lot. See vial label for concentration. If unlisted please contact technical services.
Shipping
The product is shipped with polar packs. Upon receipt, store it immediately at the temperature recommended below.
Stability & Storage
Aliquot and store at -20C or -80C. Avoid freeze-thaw cycles.
Background: DDT
Long Name
D-Dopachrome Tautomerase
Alternate Names
D-Dopachrome Decarboxylase, DDCT, DOPD, MIF2, Phenylpyruvate Tautomerase II
Entrez Gene IDs
1652 (Human)
Gene Symbol
DDT
UniProt
Additional DDT Products
Product Documents for DDT Antibody - BSA Free
Product Specific Notices for DDT Antibody - BSA Free
This product is for research use only and is not approved for use in humans or in clinical diagnosis. Primary Antibodies are guaranteed for 1 year from date of receipt.
Loading...
Loading...
Loading...
Loading...
⚠ WARNING: This product can expose you to chemicals including mercury, which is known to the State of California to cause reproductive toxicity with developmental effects. For more information go to www.P65Warnings.ca.gov.