Skip to main content

DDB1 Antibody (JU32-35)

Novus Biologicals, part of Bio-Techne | Catalog # NBP2-75465

Recombinant Monoclonal Antibody.
Novus Biologicals, part of Bio-Techne
Catalog #
Availability
Size / Price
Qty
Loading...
NBP2-75465

Key Product Details

Species Reactivity

Validated:

Human, Mouse, Rat

Cited:

Human

Applications

Validated:

Immunohistochemistry, Immunohistochemistry-Paraffin, Western Blot, Immunocytochemistry/ Immunofluorescence, Immunoprecipitation

Cited:

Immunoprecipitation

Label

Unconjugated

Antibody Source

Recombinant Monoclonal Rabbit IgG Clone # JU32-35 expressed in HEK293

Concentration

1 mg/ml

Product Specifications

Immunogen

Recombinant protein within Human DDB1 aa 1040-1140 / 1,140. (SwissProt: Q16531 Human; SwissProt: Q3U1J4 Mouse; SwissProt: Q9ESW0 Rat)

Localization

Cytoplasm, Nucleus.

Clonality

Monoclonal

Host

Rabbit

Isotype

IgG

Theoretical MW

127 kDa.
Disclaimer note: The observed molecular weight of the protein may vary from the listed predicted molecular weight due to post translational modifications, post translation cleavages, relative charges, and other experimental factors.

Description

Novus Biologicals Rabbit DDB1 Antibody (JU32-35) (NBP2-75465) is a recombinant monoclonal antibody validated for use in IHC, WB, ICC/IF and IP. Anti-DDB1 Antibody: Cited in 3 publications. All Novus Biologicals antibodies are covered by our 100% guarantee.

Scientific Data Images for DDB1 Antibody (JU32-35)

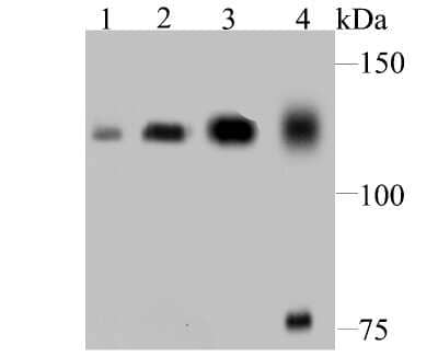
Western Blot: DDB1 Antibody (JU32-35) [NBP2-75465]

Western Blot: DDB1 Antibody (JU32-35) [NBP2-75465]

Western Blot: DDB1 Antibody (JU32-35) [NBP2-75465] - Analysis of DDB1 on PC-12 cell lysates with Rabbit anti-DDB1 antibody at 1/500 dilution. Lysates/proteins at 10 ug/Lane. Predicted band size: 127 kDa Observed band size: 127 kDa Exposure time: 2 minutes; 8% SDS-PAGE gel. Proteins were transferred to a PVDF membrane and blocked with 5% NFDM/TBST for 1 hour at room temperature. The primary antibody at 1/500 dilution was used in 5% NFDM/TBST at room temperature for 2 hours. Goat Anti-Rabbit IgG - HRP Secondary Antibody at 1:200,000 dilution was used for 1 hour at room temperature.
Immunocytochemistry/ Immunofluorescence: DDB1 Antibody (JU32-35) [NBP2-75465]

Immunocytochemistry/ Immunofluorescence: DDB1 Antibody (JU32-35) [NBP2-75465]

Immunocytochemistry/Immunofluorescence: DDB1 Antibody (JU32-35) [NBP2-75465] - Staining DDB1 in SH-SY5Y cells (green). The nuclear counter stain is DAPI (blue). Cells were fixed in paraformaldehyde, permeabilised with 0.25% Triton X100/PBS.
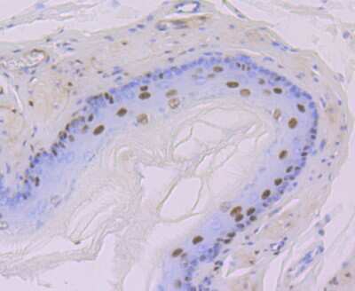
Immunohistochemistry-Paraffin: DDB1 Antibody (JU32-35) [NBP2-75465]

Immunohistochemistry-Paraffin: DDB1 Antibody (JU32-35) [NBP2-75465]

Immunohistochemistry-Paraffin: DDB1 Antibody (JU32-35) [NBP2-75465] - Analysis of paraffin-embedded rat esophagus tissue using anti-DDB1 antibody. Counter stained with hematoxylin.

Applications for DDB1 Antibody (JU32-35)

Application
Recommended Usage

Immunocytochemistry/ Immunofluorescence

1:50-1:200

Immunohistochemistry-Paraffin

1:50-1:200

Immunoprecipitation

1:10-1:50

Western Blot

1:500-1:2000

Formulation, Preparation, and Storage

Purification

Protein A purified

Formulation

TBS (pH7.4), 0.05% BSA, 40% Glycerol

Preservative

0.05% Sodium Azide

Concentration

1 mg/ml

Shipping

The product is shipped with polar packs. Upon receipt, store it immediately at the temperature recommended below.

Stability & Storage

Store at 4C short term. Aliquot and store at -20C long term. Avoid freeze-thaw cycles.

Background: DDB1

Damage specific DNA binding protein (DDB) functions in nucleotide-excision repair. Its defective activity causes the repair defect in the patients with xeroderma pigmentosum complementation group E (XPE). To test whether the DNA-repair defect in the subset of XPE patients that lack DNA damage-binding activity is caused by a defect in DDB, purified human DDB protein was injected into XPE cells. The injected DDB protein stimulated DNA repair to normal levels in those strains that lacked the DDB activity but did not stimulate repair in cells from XPE patients that contained the activity. These results provided direct evidence that defective DDB activity causes the repair defect in a subset of XPE patients and establishes a role for this activity in nucleotide excision repair in vivo. It remains for mutation analysis to demonstrate whether the defect in XPE patients is in the DDB1 gene or the DDB2 gene.

Long Name

Damage-specific DNA Binding Protein 1

Alternate Names

DDB p127 Subunit, DDBA, UV-DDB 1, XPCE

Gene Symbol

DDB1

Additional DDB1 Products

Product Documents for DDB1 Antibody (JU32-35)

Certificate of Analysis

To download a Certificate of Analysis, please enter a lot number in the search box below.

Product Specific Notices for DDB1 Antibody (JU32-35)

This product is for research use only and is not approved for use in humans or in clinical diagnosis. Primary Antibodies are guaranteed for 1 year from date of receipt.

Loading...
Loading...
Loading...
Loading...