Skip to main content

DCLK1 Antibody - BSA Free

Novus Biologicals, part of Bio-Techne | Catalog # NBP2-48530

Novus Biologicals, part of Bio-Techne
Catalog #
Availability
Size / Price
Qty
Loading...
NBP2-48530
NBP2-48530-25ul

Key Product Details

Validated by

Orthogonal Validation

Species Reactivity

Validated:

Human

Predicted:

Mouse (96%), Rat (96%). Backed by our 100% Guarantee.

Applications

Immunohistochemistry, Immunohistochemistry-Paraffin

Label

Unconjugated

Antibody Source

Polyclonal Rabbit IgG

Format

BSA Free

Concentration

Concentrations vary lot to lot. See vial label for concentration. If unlisted please contact technical services.

Product Specifications

Immunogen

This antibody was developed against a recombinant protein corresponding to amino acids: TSSVNGTPGSQLSTPRSGKSPSPSPTSPGSLRKQRSSQHGGSSTSLASTKVCSSMDENDGPGEEVSEEGFQIPATITERYKVGRTIGDGNFAVVKECVERSTAREYALKIIK

Clonality

Polyclonal

Host

Rabbit

Isotype

IgG

Description

Novus Biologicals Rabbit DCLK1 Antibody - BSA Free (NBP2-48530) is a polyclonal antibody validated for use in IHC. All Novus Biologicals antibodies are covered by our 100% guarantee.

Scientific Data Images for DCLK1 Antibody - BSA Free

Immunohistochemistry-Paraffin: DCLK1 Antibody [NBP2-48530]

Immunohistochemistry-Paraffin: DCLK1 Antibody [NBP2-48530]

Immunohistochemistry-Paraffin: DCLK1 Antibody [NBP2-48530] - Staining in human cerebral cortex and kidney tissues using anti-DCLK1 antibody. Corresponding DCLK1 RNA-seq data are presented for the same tissues.
Immunohistochemistry-Paraffin: DCLK1 Antibody [NBP2-48530]

Immunohistochemistry-Paraffin: DCLK1 Antibody [NBP2-48530]

Immunohistochemistry-Paraffin: DCLK1 Antibody [NBP2-48530] - Staining of human cerebral cortex shows high expression.
Immunohistochemistry-Paraffin: DCLK1 Antibody [NBP2-48530]

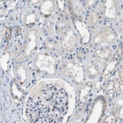
Immunohistochemistry-Paraffin: DCLK1 Antibody [NBP2-48530]

Immunohistochemistry-Paraffin: DCLK1 Antibody [NBP2-48530] - Staining of human kidney shows low expression as expected.

Applications for DCLK1 Antibody - BSA Free

Application
Recommended Usage

Immunohistochemistry

1:50 - 1:200

Immunohistochemistry-Paraffin

1:50 - 1:200
Application Notes
For IHC-Paraffin, HIER pH 6 retrieval is recommended.

Formulation, Preparation, and Storage

Purification

Affinity purified

Formulation

PBS (pH 7.2) and 40% Glycerol

Format

BSA Free

Preservative

0.02% Sodium Azide

Concentration

Concentrations vary lot to lot. See vial label for concentration. If unlisted please contact technical services.

Shipping

The product is shipped with polar packs. Upon receipt, store it immediately at the temperature recommended below.

Stability & Storage

Store at 4C short term. Aliquot and store at -20C long term. Avoid freeze-thaw cycles.

Background: DCLK1

DCAMKL1 is a microtubule-associated protein that phosphorylates itself and myelin basic protein (MBP; MIM 159430). DCAMKL1 has microtubule polymerizing activity that is independent of its protein kinase activity (Lin et al., 2000 [PubMed 11124993]).[supplied by OMIM]

Long Name

Doublecortin-like and CAM Kinase-like 1

Alternate Names

CL1, CLICK1, DCAMKL1, DCDC3A

Gene Symbol

DCLK1

Additional DCLK1 Products

Product Documents for DCLK1 Antibody - BSA Free

Certificate of Analysis

To download a Certificate of Analysis, please enter a lot number in the search box below.

Product Specific Notices for DCLK1 Antibody - BSA Free

This product is for research use only and is not approved for use in humans or in clinical diagnosis. Primary Antibodies are guaranteed for 1 year from date of receipt.

Loading...
Loading...
Loading...
Loading...