Skip to main content

Cytokeratin, pan Antibody (MonoPoly/4999R)

Novus Biologicals, part of Bio-Techne | Catalog # NBP3-23627

Recombinant Monoclonal Antibody
Novus Biologicals, part of Bio-Techne
Catalog #
Availability
Size / Price
Qty
Loading...
NBP3-23627-100ug
NBP3-23627-20ug
Conjugate
Catalog #

Key Product Details

Species Reactivity

Human

Applications

Immunohistochemistry-Paraffin, Western Blot, Flow Cytometry, Immunocytochemistry/ Immunofluorescence

Label

Unconjugated

Antibody Source

Recombinant Monoclonal Rabbit IgG Kappa Clone # MonoPoly/4999R

Concentration

0.2 mg/ml

Product Specifications

Immunogen

Recombinant fragments and/or synthetic peptides of human Cytokeratin, pan proteins (exact sequences are proprietary)

Localization

Cytoplasm.

Specificity

MonoPoly antibodies are designed by pooling several monospecific, recombinant monoclonal antibodies against a target. MonoPoly antibodies are a kind of synthetic polyclonal antibodies that can be produced in unlimited quantity with a strict lot-to-lot consistency. These antibodies are highly specific with exquisite sensitivity and a single MonoPoly antibody can be used for a variety of applications.This antibody cocktail recognizes acidic (Type I or LMW) and basic (Type II or HMW) cytokeratins, with 67kDa (CK1); 64kDa (CK3); 59kDa (CK4); 58kDa (CK5); 56kDa (CK6); 55kDa (CK7); 52kDa (CK8); 56.5kDa (CK10); 53kDa (CK13); 50kDa (CK14); 50kDa (CK15); 48kDa (CK16); 46kDa (CK17); 45kDa (CK18), 40kDa (CK19) and 46kDa (CK20). This antibody is a broad-spectrum anti pan-cytokeratin antibody cocktail, which differentiates epithelial tumors from non-epithelial tumors e.g. squamous vs. adenocarcinoma of the lung, liver carcinoma, breast cancer, and esophageal cancer. It is useful in characterizing the source of various neoplasms and to study the distribution of cytokeratin containing cells in epithelia during normal development and during the development of epithelial neoplasms.

Marker

Epithelial Marker

Clonality

Monoclonal

Host

Rabbit

Isotype

IgG Kappa

Description

Store at 2 to 8C. Non-hazardous. No MSDS required.

Scientific Data Images for Cytokeratin, pan Antibody (MonoPoly/4999R)

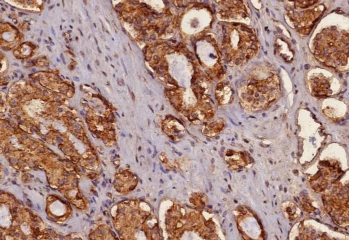
Cytokeratin, pan Antibody (MonoPoly/4999R) Immunohistochemistry-Paraffin: Cytokeratin, pan Antibody (MonoPoly/4999R) [NBP3-23627] -

Immunohistochemistry-Paraffin: Cytokeratin, pan Antibody (MonoPoly/4999R) [NBP3-23627] -

Immunohistochemistry-Paraffin: Cytokeratin, pan Antibody (MonoPoly/4999R) [NBP3-23627] - Formalin-fixed, paraffin-embedded human basal cell carcinoma stained with Cytokeratin, pan Antibody (MonoPoly/4999R)
Cytokeratin, pan Antibody (MonoPoly/4999R) Immunohistochemistry-Paraffin: Cytokeratin, pan Antibody (MonoPoly/4999R) [NBP3-23627] -

Immunohistochemistry-Paraffin: Cytokeratin, pan Antibody (MonoPoly/4999R) [NBP3-23627] -

Immunohistochemistry-Paraffin: Cytokeratin, pan Antibody (MonoPoly/4999R) [NBP3-23627] - Formalin-fixed, paraffin-embedded human prostate carcinoma stained with Cytokeratin, pan Antibody (MonoPoly/4999R)
Cytokeratin, pan Antibody (MonoPoly/4999R) Immunohistochemistry-Paraffin: Cytokeratin, pan Antibody (MonoPoly/4999R) [NBP3-23627] -

Immunohistochemistry-Paraffin: Cytokeratin, pan Antibody (MonoPoly/4999R) [NBP3-23627] -

Immunohistochemistry-Paraffin: Cytokeratin, pan Antibody (MonoPoly/4999R) [NBP3-23627] - Formalin-fixed, paraffin-embedded human tonsil stained with Cytokeratin, pan Antibody (MonoPoly/4999R)

Applications for Cytokeratin, pan Antibody (MonoPoly/4999R)

Application
Recommended Usage

Flow Cytometry

0.5-1ug/million cells

Immunocytochemistry/ Immunofluorescence

1-2ug/ml

Immunohistochemistry-Paraffin

1-2ug/ml

Western Blot

0.5-2ug/ml
Application Notes
Immunohistochemistry-Paraffin: 1-2ug/ml for 30 minutes at RT. Staining of formalin-fixed tissues requires heating tissue sections in 10mM Tris with 1mM EDTA, pH 9.0, for 45 min at 95C followed by cooling at RT for 20 minutes. Optimal dilution for a specific application should be determined.

Western Blot: 0.5-2ug/ml for 2 hours at RT.

Formulation, Preparation, and Storage

Purification

Protein A or G purified

Formulation

10mM PBS with 0.05% BSA

Preservative

0.05% Sodium Azide

Concentration

0.2 mg/ml

Shipping

The product is shipped with polar packs. Upon receipt, store it immediately at the temperature recommended below.

Stability & Storage

Store at 4C.

Background: Cytokeratin, pan

Cytokeratins are a family of intermediate filamentous proteins that are expressed by epithelial cells (1,2). Cytokeratins range in size with a theoretic molecular weight varying from approximately 40 kDa to 68 kDa (2,3). The cytokeratin family consists of 20 polypeptides that are further divided into two main groups based on isoelectric point and molecular weight (1-3). The type I group are smaller, acidic polypeptides designated as cytokeratin 9 through cytokeratin 20 (CK9 - CK20) (1-4). Conversely, CK1 - CK8 belong to the type II group, classified as larger, basic or neutral polypeptides (1-4). Structurally, cytokeratins have homologous basic structure with other intermediate filaments; they possess a 300-315 amino acid (aa) central helical region that consists of four conserved domains (1A, 2A, 1B, and 2B) which are separated by linker domains (L1, L12, and L2) (1,5). Additionally, flanking this central region, both the amino- and carboxyl-terminal ends have a homologous subdomain (H), a variable domain (V), and charged end subdomains (E) (1). Furthermore, the central rod of one cytokeratin monomer binds with another monomer to form a coiled-coil dimer which subsequently binds another dimer to form a tertramer (3). Finally, many tetramers join together to ultimately form an intermediate filament of approximately 10nm in diameter (1-3, 5). Cytokeratins are expressed as pairs, typically with a type I and type II member; for example, CK10 pairs with CK1 (1,3).

Epithelial cells express multiple subtypes of cytokeratins which can be used to classify epithelial cell type or differentiation status, as well tumor progression or diagnosis (2). Cytokeratins are important for both stability and integrity of epithelial cells and function in intracellular signaling, from wound healing to apoptosis (1). Cytokeratins are useful immunohistochemistry tumor markers and antibodies to cytokeratins are a common pathological tool (1,3,6). Cytokeratin pan antibody is an antibody cocktail mixture that can detect multiple cytokeratins and reacts to multiple epithelial tissues (1,3,6). For example, AE-1/AE-3 is a commonly used specific pan cytokeratin that detects cytokeratins 1-8, 10, 14-16 and 19 (1,3,6).

Given the role of cytokeratins in the structural integrity of epithelial cells, mutations in cytokeratins have been shown to play a role in a variety of human diseases including epidermolysis bullosa simplex (EBS) (4,5). EBS is an autosomal dominant disorder that is caused by missense mutations in either CK5 or CK14 (5). Other known cytokeratin-related disorders include bullous ichthyosis, a skin disorder characterized by redness, blistering, and hyperkeratosis, and epidermolytic palmoplantar keratoderma (EPPK), which results in hyperkeratosis on the palms and soles of the body (7).

References

1. Awasthi, P., Thahriani, A., Bhattacharya, A., Awasthi, P., & Keratins, B. A. (2016). Keratins or cytokeratins: a review article. Journal of Advanced Medical and Dental Sciences Research. https://10.21276/jamdsr.2016.4.4.30

2. Southgate, J., Harnden, P., & Trejdosiewicz, L. K. (1999). Cytokeratin expression patterns in normal and malignant urothelium: a review of the biological and diagnostic implications. Histology and histopathology. https://doi.org/10.14670/HH-14.657

3. Belaldavar, C., Mane, D. R., Hallikerimath, S., Kale, A. D. (2016). Cytokeratins: Its role and expression profile in oral health and disease. Journal of Oral and Maxillofacial Surgery, Medicine, and Pathology. https://doi.org/10.1016/j.ajoms.2015.08.001.

4. Linder S. (2007). Cytokeratin markers come of age. Tumour biology : the journal of the International Society for Oncodevelopmental Biology and Medicine. https://doi.org/10.1159/000107582

5. Jacob, J. T., Coulombe, P. A., Kwan, R., & Omary, M. B. (2018). Types I and II Keratin Intermediate Filaments. Cold Spring Harbor perspectives in biology. https://doi.org/10.1101/cshperspect.a018275

6. Ordonez N. G. (2013). Broad-spectrum immunohistochemical epithelial markers: a review. Human pathology. https://doi.org/10.1016/j.humpath.2012.11.016

7. McLean, W. H., & Moore, C. B. (2011). Keratin disorders: from gene to therapy. Human molecular genetics. https://doi.org/10.1093/hmg/ddr379

Alternate Names

AEI2, CK1, EHK, EPPK, K1, KRT1A, NEPPK

Gene Symbol

KRT1

Additional Cytokeratin, pan Products

Product Documents for Cytokeratin, pan Antibody (MonoPoly/4999R)

Certificate of Analysis

To download a Certificate of Analysis, please enter a lot number in the search box below.

Product Specific Notices for Cytokeratin, pan Antibody (MonoPoly/4999R)

This product is for research use only and is not approved for use in humans or in clinical diagnosis. Primary Antibodies are guaranteed for 1 year from date of receipt.

Loading...
Loading...
Loading...
Loading...
Loading...