Skip to main content

Cytokeratin, pan Antibody (C-11) - BSA Free

Novus Biologicals, part of Bio-Techne | Catalog # NBP1-48348

Novus Biologicals, part of Bio-Techne

Key Product Details

Species Reactivity

Validated:

Mouse, Mammal

Cited:

Human, Mouse

Applications

Validated:

Immunohistochemistry, Immunohistochemistry-Paraffin, Western Blot, Flow (Intracellular), Immunocytochemistry/ Immunofluorescence, Immunoprecipitation, CyTOF-ready

Cited:

Immunohistochemistry-Frozen, Flow Cytometry, Immunocytochemistry/ Immunofluorescence

Label

Unconjugated

Antibody Source

Monoclonal Mouse IgG1 Clone # C-11

Format

BSA Free

Concentration

1 mg/ml

Product Specifications

Immunogen

This Cytokeratin, pan Antibody (C-11) was developed against a keratin-enriched preparation from human epidermoid carcinoma cell line A431.

Reactivity Notes

Mouse reactivity reported in (PMID:26574781). Please note that this antibody is reactive to Mouse and derived from the same host, Mouse. Mouse-On-Mouse blocking reagent may be needed for IHC and ICC experiments to reduce high background signal. You can find these reagents under catalog numbers PK-2200-NB and MP-2400-NB. Please contact Technical Support if you have any questions.

Specificity

This Mouse monoclonal Cytokeratin (Pan-reactive) antibody reacts with Cytokeratin peptides 4, 5, 6, 8, 10, 13, 18. Cytokeratins are a member of intermediate filaments subfamily represented in epithelial tissues.

Clonality

Monoclonal

Host

Mouse

Isotype

IgG1

Description

Novus Biologicals Mouse Cytokeratin, pan Antibody (C-11) - BSA Free (NBP1-48348) is a monoclonal antibody validated for use in IHC, WB, Flow, ICC/IF and IP. Anti-Cytokeratin, pan Antibody: Cited in 9 publications. All Novus Biologicals antibodies are covered by our 100% guarantee.

Scientific Data Images for Cytokeratin, pan Antibody (C-11) - BSA Free

Flow Cytometry: Cytokeratin, pan Antibody (C-11) - BSA Free [NBP1-48348]

Flow Cytometry: Cytokeratin, pan Antibody (C-11) - BSA Free [NBP1-48348]

Flow Cytometry: Cytokeratin, pan Antibody (C-11) [NBP1-48348] - An intracellular stain was performed on HeLa cells with pan Cytokeratin antibody (C-11) NBP1-48348AF488 (blue) and a matched isotype control (orange). Cells were fixed with 4% PFA and then permeablized with 0.1% saponin. Cells were incubated in an antibody dilution of 5 ug/mL for 30 minutes at room temperature. Both antibodies were conjugated to Alexa Fluor 488.
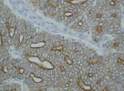
Immunohistochemistry-Paraffin: Cytokeratin, pan Antibody (C-11) - BSA Free [NBP1-48348]

Immunohistochemistry-Paraffin: Cytokeratin, pan Antibody (C-11) - BSA Free [NBP1-48348]

Immunohistochemistry-Paraffin: Cytokeratin, pan Antibody (C-11) [NBP1-48348] - Staining of cytokeratin on guinea pig breast carcinoma.
Western Blot: Cytokeratin, pan Antibody (C-11)BSA Free [NBP1-48348]

Western Blot: Cytokeratin, pan Antibody (C-11)BSA Free [NBP1-48348]

Western Blot: Cytokeratin, pan Antibody (C-11) - BSA Free [NBP1-48348] - Analysis of human cytokeratins using mouse monoclonal antibody C-11 on lysates of HeLa cell line and MOLT-4 cell line (cytokeratin non-expressing cell line; negative control) under non-reducing and reducing conditions. Nitrocellulose membrane was probed with 2 ug/ml of mouse monoclonal antibody anti-cytokeratins followed by IRDye800-conjugated anti-mouse secondary antibody. Specific bands were detected for cytokeratins at approximately 45-55 kDa.

Applications for Cytokeratin, pan Antibody (C-11) - BSA Free

Application
Recommended Usage

Flow (Intracellular)

1 ug/mL

Immunocytochemistry/ Immunofluorescence

1:10 - 1:500

Immunohistochemistry

2-8 ug/ml

Immunohistochemistry-Paraffin

1:200

Immunoprecipitation

1:50

Western Blot

1-2 ug/ml
Application Notes
This antibody is CyTOF ready.

Formulation, Preparation, and Storage

Purification

Protein A purified

Formulation

Phosphate buffered saline (PBS), pH 7.4

Format

BSA Free

Preservative

15mM Sodium Azide

Concentration

1 mg/ml

Shipping

The product is shipped with polar packs. Upon receipt, store it immediately at the temperature recommended below.

Stability & Storage

Store at 4C. Do not freeze.

Background: Cytokeratin, pan

Cytokeratins are a family of intermediate filamentous proteins that are expressed by epithelial cells (1,2). Cytokeratins range in size with a theoretic molecular weight varying from approximately 40 kDa to 68 kDa (2,3). The cytokeratin family consists of 20 polypeptides that are further divided into two main groups based on isoelectric point and molecular weight (1-3). The type I group are smaller, acidic polypeptides designated as cytokeratin 9 through cytokeratin 20 (CK9 - CK20) (1-4). Conversely, CK1 - CK8 belong to the type II group, classified as larger, basic or neutral polypeptides (1-4). Structurally, cytokeratins have homologous basic structure with other intermediate filaments; they possess a 300-315 amino acid (aa) central helical region that consists of four conserved domains (1A, 2A, 1B, and 2B) which are separated by linker domains (L1, L12, and L2) (1,5). Additionally, flanking this central region, both the amino- and carboxyl-terminal ends have a homologous subdomain (H), a variable domain (V), and charged end subdomains (E) (1). Furthermore, the central rod of one cytokeratin monomer binds with another monomer to form a coiled-coil dimer which subsequently binds another dimer to form a tertramer (3). Finally, many tetramers join together to ultimately form an intermediate filament of approximately 10nm in diameter (1-3, 5). Cytokeratins are expressed as pairs, typically with a type I and type II member; for example, CK10 pairs with CK1 (1,3).

Epithelial cells express multiple subtypes of cytokeratins which can be used to classify epithelial cell type or differentiation status, as well tumor progression or diagnosis (2). Cytokeratins are important for both stability and integrity of epithelial cells and function in intracellular signaling, from wound healing to apoptosis (1). Cytokeratins are useful immunohistochemistry tumor markers and antibodies to cytokeratins are a common pathological tool (1,3,6). Cytokeratin pan antibody is an antibody cocktail mixture that can detect multiple cytokeratins and reacts to multiple epithelial tissues (1,3,6). For example, AE-1/AE-3 is a commonly used specific pan cytokeratin that detects cytokeratins 1-8, 10, 14-16 and 19 (1,3,6).

Given the role of cytokeratins in the structural integrity of epithelial cells, mutations in cytokeratins have been shown to play a role in a variety of human diseases including epidermolysis bullosa simplex (EBS) (4,5). EBS is an autosomal dominant disorder that is caused by missense mutations in either CK5 or CK14 (5). Other known cytokeratin-related disorders include bullous ichthyosis, a skin disorder characterized by redness, blistering, and hyperkeratosis, and epidermolytic palmoplantar keratoderma (EPPK), which results in hyperkeratosis on the palms and soles of the body (7).

References

1. Awasthi, P., Thahriani, A., Bhattacharya, A., Awasthi, P., & Keratins, B. A. (2016). Keratins or cytokeratins: a review article. Journal of Advanced Medical and Dental Sciences Research. https://10.21276/jamdsr.2016.4.4.30

2. Southgate, J., Harnden, P., & Trejdosiewicz, L. K. (1999). Cytokeratin expression patterns in normal and malignant urothelium: a review of the biological and diagnostic implications. Histology and histopathology. https://doi.org/10.14670/HH-14.657

3. Belaldavar, C., Mane, D. R., Hallikerimath, S., Kale, A. D. (2016). Cytokeratins: Its role and expression profile in oral health and disease. Journal of Oral and Maxillofacial Surgery, Medicine, and Pathology. https://doi.org/10.1016/j.ajoms.2015.08.001.

4. Linder S. (2007). Cytokeratin markers come of age. Tumour biology : the journal of the International Society for Oncodevelopmental Biology and Medicine. https://doi.org/10.1159/000107582

5. Jacob, J. T., Coulombe, P. A., Kwan, R., & Omary, M. B. (2018). Types I and II Keratin Intermediate Filaments. Cold Spring Harbor perspectives in biology. https://doi.org/10.1101/cshperspect.a018275

6. Ordonez N. G. (2013). Broad-spectrum immunohistochemical epithelial markers: a review. Human pathology. https://doi.org/10.1016/j.humpath.2012.11.016

7. McLean, W. H., & Moore, C. B. (2011). Keratin disorders: from gene to therapy. Human molecular genetics. https://doi.org/10.1093/hmg/ddr379

Alternate Names

AEI2, CK1, EHK, EPPK, K1, KRT1A, NEPPK

Gene Symbol

KRT1

Additional Cytokeratin, pan Products

Product Documents for Cytokeratin, pan Antibody (C-11) - BSA Free

Certificate of Analysis

To download a Certificate of Analysis, please enter a lot number in the search box below.

Product Specific Notices for Cytokeratin, pan Antibody (C-11) - BSA Free

This product is for research use only and is not approved for use in humans or in clinical diagnosis. Primary Antibodies are guaranteed for 1 year from date of receipt.

Loading...
Loading...
Loading...
Loading...
Loading...