Skip to main content

Cytokeratin 7 Antibody (OV-TL12/30) - IHC-Prediluted

Novus Biologicals, part of Bio-Techne | Catalog # NBP2-48115

Novus Biologicals, part of Bio-Techne
Catalog #
Availability
Size / Price
Qty
Loading...
NBP2-48115

Key Product Details

Species Reactivity

Human

Applications

Immunohistochemistry, Immunohistochemistry-Paraffin

Label

Unconjugated

Antibody Source

Monoclonal Mouse IgG1 kappa Clone # OV-TL12/30

Format

IHC-Prediluted

Concentration

Please see the vial label for concentration. If unlisted please contact technical services.

Product Specifications

Immunogen

OTN 11, ovarian carcinoma cell line

Reactivity Notes

Mouse reactivity reported in scientific literature (PMID: 30522949).

Localization

Cytoplasmic

Specificity

It recognizes an intermediate filament protein (IFP) of 55kDa, which is identified as cytokeratin 7. This monoclonal antibody is highly specific to cytokeratin 7 and shows no cross-reaction with other IFPs. Cytokeratin 7 is a basic cytokeratin, which is found in most glandular and transitional epithelia but not in the stratified squamous epithelia. Keratin 7 is expressed in the epithelial cells of ovary, lung, and breast but not of colon, prostate, or gastrointestinal tract. This monoclonal antibody is highly useful in distinguishing ovarian carcinomas (keratin 7+) from colon carcinomas (keratin 7-).

Marker

Glandular and Transitional Epithelial Marker

Clonality

Monoclonal

Host

Mouse

Isotype

IgG1 kappa

Theoretical MW

55 kDa.
Disclaimer note: The observed molecular weight of the protein may vary from the listed predicted molecular weight due to post translational modifications, post translation cleavages, relative charges, and other experimental factors.

Description

The prediluted antibody does not require any mixing, dilution, reconstitution, or titration; the antibody is ready-to-use and optimized for staining.

Scientific Data Images for Cytokeratin 7 Antibody (OV-TL12/30) - IHC-Prediluted

Immunohistochemistry-Paraffin: Cytokeratin 7 Antibody (OV-TL12/30) - IHC-Prediluted [NBP2-48115]

Immunohistochemistry-Paraffin: Cytokeratin 7 Antibody (OV-TL12/30) - IHC-Prediluted [NBP2-48115]

Immunohistochemistry-Paraffin: Cytokeratin 7 Antibody (OV-TL12/30) - IHC-Prediluted [NBP2-48115] - Paraffin-embedded human salivary gland tissue. Image from verified customer review. Image using the Azide and BSA Free format of this antibody.
Immunohistochemistry-Paraffin: Cytokeratin 7 Antibody (OV-TL12/30) - IHC-Prediluted [NBP2-48115]

Immunohistochemistry-Paraffin: Cytokeratin 7 Antibody (OV-TL12/30) - IHC-Prediluted [NBP2-48115]

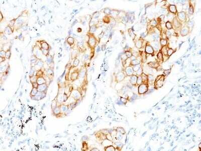
Immunohistochemistry-Paraffin: Cytokeratin 7 Antibody (OV-TL12/30) - IHC-Prediluted [NBP2-48115] - Human Ovarian Carcinoma stained with Cytokeratin 7 Monoclonal Antibody (OV-TL12/30)
Immunohistochemistry-Paraffin: Cytokeratin 7 Antibody (OV-TL12/30) - IHC-Prediluted [NBP2-48115]

Immunohistochemistry-Paraffin: Cytokeratin 7 Antibody (OV-TL12/30) - IHC-Prediluted [NBP2-48115]

Immunohistochemistry-Paraffin: Cytokeratin 7 Antibody (OV-TL12/30) - IHC-Prediluted [NBP2-48115] - Human Lung SCC stained with Cytokeratin 7 Monoclonal Antibody (OV-TL12/30)

Applications for Cytokeratin 7 Antibody (OV-TL12/30) - IHC-Prediluted

Application
Recommended Usage

Immunohistochemistry

Optimal dilutions of this antibody should be experimentally determined.

Immunohistochemistry-Paraffin

Optimal dilutions of this antibody should be experimentally determined.
Application Notes
Immunohistochemistry (Formalin-fixed): 1-2ug/ml for 30 min at RT. Staining of formalin-fixed tissues requires heating tissue sections in 10mM Tris with 1mM EDTA, pH 9.0, for 45 min at 95C followed by cooling at RT for 20 minutes.
Optimal dilution for a specific application should be determined.

Formulation, Preparation, and Storage

Purification

Protein A or G purified

Formulation

10 mM PBS with 0.05% BSA

Format

IHC-Prediluted

Preservative

0.05% Sodium Azide

Concentration

Please see the vial label for concentration. If unlisted please contact technical services.

Shipping

The product is shipped with polar packs. Upon receipt, store it immediately at the temperature recommended below.

Stability & Storage

Store at 4C.

Background: Cytokeratin 7

Alternate Names

CK-7, CK7, K2C7, K7

Gene Symbol

KRT7

Additional Cytokeratin 7 Products

Product Documents for Cytokeratin 7 Antibody (OV-TL12/30) - IHC-Prediluted

Certificate of Analysis

To download a Certificate of Analysis, please enter a lot number in the search box below.

Product Specific Notices for Cytokeratin 7 Antibody (OV-TL12/30) - IHC-Prediluted

This product is for research use only and is not approved for use in humans or in clinical diagnosis. Primary Antibodies are guaranteed for 1 year from date of receipt.

Loading...
Loading...
Loading...
Loading...