Skip to main content

Cytokeratin 4 Antibody - BSA Free

Novus Biologicals, part of Bio-Techne | Catalog # NBP1-33412

Novus Biologicals, part of Bio-Techne
Catalog #
Availability
Size / Price
Qty
Loading...
NBP1-33412

Key Product Details

Species Reactivity

Human, Canine

Applications

Immunohistochemistry, Immunohistochemistry-Paraffin, Western Blot, Immunocytochemistry/ Immunofluorescence

Label

Unconjugated

Antibody Source

Polyclonal Rabbit IgG

Format

BSA Free

Concentration

Concentrations vary lot to lot. See vial label for concentration. If unlisted please contact technical services.

Product Specifications

Immunogen

Recombinant protein encompassing a sequence within the center region of human Cytokeratin 4. The exact sequence is proprietary.

Reactivity Notes

Dog (82%).

Clonality

Polyclonal

Host

Rabbit

Isotype

IgG

Theoretical MW

64 kDa.
Disclaimer note: The observed molecular weight of the protein may vary from the listed predicted molecular weight due to post translational modifications, post translation cleavages, relative charges, and other experimental factors.

Scientific Data Images for Cytokeratin 4 Antibody - BSA Free

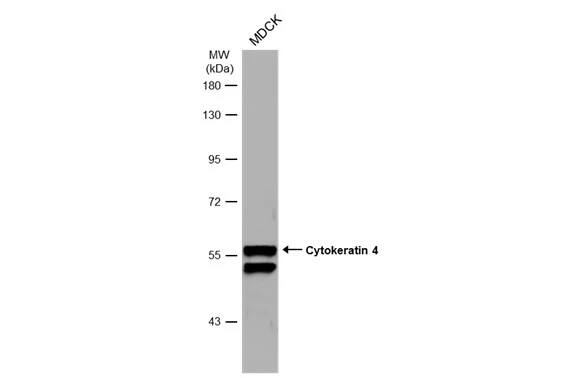
Western Blot: Cytokeratin 4 Antibody [NBP1-33412]

Western Blot: Cytokeratin 4 Antibody [NBP1-33412]

Western Blot: Cytokeratin 4 Antibody [NBP1-33412] - Sample (30 ug of whole cell lysate) A: Hela 7. 5% SDS PAGE; antibody diluted at 1:1000.
Immunocytochemistry/ Immunofluorescence: Cytokeratin 4 Antibody [NBP1-33412]

Immunocytochemistry/ Immunofluorescence: Cytokeratin 4 Antibody [NBP1-33412]

Immunocytochemistry/Immunofluorescence: Cytokeratin 4 Antibody [NBP1-33412] - Sample: HeLa cells were fixed in iced-cold MeOH for 5 min. Green: KRT4 protein stained by Cytokeratin 4 antibody diluted at 1:500. Blue: Hoechst 33343 staining.
Immunohistochemistry-Paraffin: Cytokeratin 4 Antibody [NBP1-33412]

Immunohistochemistry-Paraffin: Cytokeratin 4 Antibody [NBP1-33412]

Immunohistochemistry-Paraffin: Cytokeratin 4 Antibody [NBP1-33412] - Paraffin-embedded BT474 xenograft, using antibody at 1:500 dilution.

Applications for Cytokeratin 4 Antibody - BSA Free

Application
Recommended Usage

Immunocytochemistry/ Immunofluorescence

1:100-1:1000

Immunohistochemistry

1:100-1:1000

Immunohistochemistry-Paraffin

1:100-1:1000

Western Blot

1:500-1:3000

Formulation, Preparation, and Storage

Purification

Antigen Affinity-purified

Formulation

0.1M Tris, 0.1M Glycine, 10% Glycerol

Format

BSA Free

Preservative

0.01% Thimerosal

Concentration

Concentrations vary lot to lot. See vial label for concentration. If unlisted please contact technical services.

Shipping

The product is shipped with polar packs. Upon receipt, store it immediately at the temperature recommended below.

Stability & Storage

Aliquot and store at -20C or -80C. Avoid freeze-thaw cycles.

Background: Cytokeratin 4

Intermediate filaments are protein polymers which, together with actin filaments and microtubules, form the cytoskeleton of cells. A number of human cytokeratins are expressed during the development of stratified epithelia from one-layered polar epithelia and continue to be expressed in several adult epithelial tissues. Expression of the genes encoding these stratification-related cytokeratins starts already in the basal cell layer and does not depend on vertical differentiation and detachment from the basal lamina. Results also show that simple epithelial and stratification-related cytokeratins can be coexpressed in basal cell layers of certain stratified epithelia such as esophagus (1). Mucous keratin CK4 is known to appear in epidermis under certain abnormal conditions. a dose-response study showed that the de novo appearance of K4 can be utilized as a sensitive test for retinoid bioactivity in epidermis in vivo (2).

Alternate Names

CK4, CK-4, CYK4cytokeratin-4, Cytokeratin-4, FLJ31692, K4cytokeratin 4, keratin 4, keratin, type II cytoskeletal 4, Keratin-4, Type-II keratin Kb4

Gene Symbol

KRT4

Additional Cytokeratin 4 Products

Product Documents for Cytokeratin 4 Antibody - BSA Free

Certificate of Analysis

To download a Certificate of Analysis, please enter a lot number in the search box below.

Product Specific Notices for Cytokeratin 4 Antibody - BSA Free

This product is for research use only and is not approved for use in humans or in clinical diagnosis. Primary Antibodies are guaranteed for 1 year from date of receipt.

Loading...
Loading...
Loading...
Loading...

⚠ WARNING: This product can expose you to chemicals including mercury, which is known to the State of California to cause reproductive toxicity with developmental effects.  For more information go to www.P65Warnings.ca.gov.