Skip to main content

Cytokeratin 4 Antibody (SN74-03)

Novus Biologicals, part of Bio-Techne | Catalog # NBP2-67706

Recombinant Monoclonal Antibody
Catalog #
Availability
Size / Price
Qty
Loading...
NBP2-67706

Key Product Details

Validated by

Biological Validation

Species Reactivity

Human

Applications

Immunohistochemistry, Immunohistochemistry-Paraffin, Western Blot, Flow Cytometry, Immunocytochemistry/ Immunofluorescence, Immunoprecipitation

Label

Unconjugated

Antibody Source

Recombinant Monoclonal Rabbit IgG Clone # SN74-03 expressed in HEK293

Concentration

1 mg/ml

Product Specifications

Immunogen

Recombinant protein within Human Cytokeratin 4 aa 395-520 / 520. (SwissProt: P19013 Human)

Localization

Cell surface, intermediate filament cytoskeleton, nucleus.

Clonality

Monoclonal

Host

Rabbit

Isotype

IgG

Scientific Data Images for Cytokeratin 4 Antibody (SN74-03)

Immunocytochemistry/ Immunofluorescence: Cytokeratin 4 Antibody (SN74-03) [NBP2-67706]

Immunocytochemistry/ Immunofluorescence: Cytokeratin 4 Antibody (SN74-03) [NBP2-67706]

Immunocytochemistry/Immunofluorescence: Cytokeratin 4 Antibody (SN74-03) [NBP2-67706] - Staining of Cytokeratin 4 in Hela cells (green). Formalin fixed cells were permeabilized with 0.1% Triton X-100 in TBS for 10 minutes at room temperature and blocked with 10% negative goat serum for 15 minutes at room temperature. Cells were probed with the primary antibody (1/50) for 1 hour at room temperature, washed with PBS. Alexa Fluor(R)488 conjugate-Goat anti-Rabbit IgG was used as the secondary antibody at 1/1,000 dilution. The nuclear counter stain is DAPI (blue).
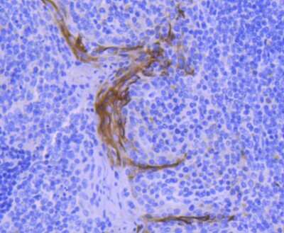
Immunohistochemistry-Paraffin: Cytokeratin 4 Antibody (SN74-03) [NBP2-67706]

Immunohistochemistry-Paraffin: Cytokeratin 4 Antibody (SN74-03) [NBP2-67706]

Immunohistochemistry-Paraffin: Cytokeratin 4 Antibody (SN74-03) [NBP2-67706] - Analysis of paraffin-embedded human tonsil tissue using anti-Cytokeratin 4 antibody. The section was pre-treated using heat mediated antigen retrieval with sodium citrate buffer (pH 6.0) for 20 minutes. The tissues were blocked in 1% BSA for 30 minutes at room temperature, washed with ddH2O and PBS, and then probed with the primary antibody 1/400) for 30 minutes at room temperature. The detection was performed using an HRP conjugated compact polymer system. DAB was used as the chromogen. Tissues were counterstained with hematoxylin and mounted with DPX.
Flow Cytometry: Cytokeratin 4 Antibody (SN74-03) [NBP2-67706]

Flow Cytometry: Cytokeratin 4 Antibody (SN74-03) [NBP2-67706]

Flow Cytometry: Cytokeratin 4 Antibody (SN74-03) [NBP2-67706] - Analysis of A431 cells with Cytokeratin 4 antibody at 1/50 dilution (red) compared with an unlabelled control (cells without incubation with primary antibody; black). Alexa Fluor 488-conjugated goat anti rabbit IgG was used as the secondary antibody.

Applications for Cytokeratin 4 Antibody (SN74-03)

Application
Recommended Usage

Flow Cytometry

1:50-1:100

Immunocytochemistry/ Immunofluorescence

1:50-1:200

Immunohistochemistry-Paraffin

1:100-1:500

Western Blot

1:500-1:1000

Formulation, Preparation, and Storage

Purification

Protein A purified

Formulation

TBS (pH7.4), 0.05% BSA, 40% Glycerol

Preservative

0.05% Sodium Azide

Concentration

1 mg/ml

Shipping

The product is shipped with polar packs. Upon receipt, store it immediately at the temperature recommended below.

Stability & Storage

Store at 4C short term. Aliquot and store at -20C long term. Avoid freeze-thaw cycles.

Background: Cytokeratin 4

Keratins are a family of structurally related proteins that form the intermediate filament cytoskeleton in epithelial cells. White sponge nevus (WSN) is a benign autosomal dominant disorder which affects non-cornifying stratified squamous epithelial. Keratins are expressed in pairs by epithelial cells in a tissue and cell specific manner. The major differentiation specific keratins of the buccal mucosa, nasal, esophageal and anogenital epithelia are CK-4 and CK-13. The tissue distribution and nature of the lesions in patients affected by WSN suggested that mutations in CK-4 and/or CK-13 might be responsible for this disorder (1). K4 and K13 form heterodimers in normal epithelial cells. In humans, K4 is present in all layers of the epidermis at 10 weeks and gradually disappears, starting from the basal layers at 15 weeks and becoming totally absent at around 20 weeks. This period corresponds to the early fetal period when melanoblasts derived from the neural crest migrate through the dermis into the basal layer of the epidermis (2)

Alternate Names

CK4, CK-4, CYK4cytokeratin-4, Cytokeratin-4, FLJ31692, K4cytokeratin 4, keratin 4, keratin, type II cytoskeletal 4, Keratin-4, Type-II keratin Kb4

Gene Symbol

KRT4

Additional Cytokeratin 4 Products

Product Documents for Cytokeratin 4 Antibody (SN74-03)

Certificate of Analysis

To download a Certificate of Analysis, please enter a lot number in the search box below.

Product Specific Notices for Cytokeratin 4 Antibody (SN74-03)

This product is for research use only and is not approved for use in humans or in clinical diagnosis. Primary Antibodies are guaranteed for 1 year from date of receipt.

Loading...
Loading...
Loading...
Loading...
Loading...