Skip to main content

Cytokeratin 19 Antibody - BSA Free

Novus Biologicals, part of Bio-Techne | Catalog # NB100-687

Novus Biologicals, part of Bio-Techne

Key Product Details

Validated by

Biological Validation

Species Reactivity

Validated:

Human, Mouse, Rat

Cited:

Human, Mouse, Rat

Predicted:

Orangutan (98%). Backed by our 100% Guarantee.

Applications

Validated:

Immunohistochemistry, Immunohistochemistry-Paraffin, Western Blot, Flow Cytometry, Immunocytochemistry/ Immunofluorescence, Simple Western

Cited:

Immunohistochemistry, Immunohistochemistry-Paraffin, Immunohistochemistry-Frozen, Western Blot, Immunocytochemistry/ Immunofluorescence, IF/IHC

Label

Unconjugated

Antibody Source

Polyclonal Rabbit IgG

Format

BSA Free

Concentration

1.0 mg/ml

Product Specifications

Immunogen

Synthetic peptide derived from the C-terminal region of human Cytokeratin 19 (between residues 350-400) [UniProt P08727]

Reactivity Notes

Rat reactivity reported in scientific literature (PMID: 25401473)

Localization

Cytoplasmic.

Marker

Epithelial Cell Marker

Clonality

Polyclonal

Host

Rabbit

Isotype

IgG

Description

Novus Biologicals Rabbit Cytokeratin 19 Antibody - BSA Free (NB100-687) is a polyclonal antibody validated for use in IHC, WB, Flow, ICC/IF and Simple Western. Anti-Cytokeratin 19 Antibody: Cited in 10 publications. All Novus Biologicals antibodies are covered by our 100% guarantee.

Scientific Data Images for Cytokeratin 19 Antibody - BSA Free

Simple Western: Cytokeratin 19 AntibodyBSA Free [NB100-687]

Simple Western: Cytokeratin 19 AntibodyBSA Free [NB100-687]

Simple Western: Cytokeratin 19 Antibody [NB100-687] - Lane view shows a specific band for Cytokeratin 19 in 0.5 mg/ml of HepG2 lysate. This experiment was performed under standard reducing conditions using the 12-230 kDa separation system.
Western Blot: Cytokeratin 19 AntibodyBSA Free [NB100-687]

Western Blot: Cytokeratin 19 AntibodyBSA Free [NB100-687]

Cytokeratin-19-Antibody-Western-Blot-NB100-687-img0010.jpg
Immunocytochemistry/ Immunofluorescence: Cytokeratin 19 Antibody - BSA Free [NB100-687]

Immunocytochemistry/ Immunofluorescence: Cytokeratin 19 Antibody - BSA Free [NB100-687]

Cytokeratin-19-Antibody-Immunocytochemistry-Immunofluorescence-NB100-687-img0013.jpg

Applications for Cytokeratin 19 Antibody - BSA Free

Application
Recommended Usage

Flow Cytometry

2-5 ug/million cells

Immunocytochemistry/ Immunofluorescence

1:50-1:100

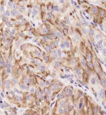
Immunohistochemistry

1:500

Immunohistochemistry-Paraffin

1:500

Simple Western

1:1000

Western Blot

1:1000
Application Notes
This Cytokeratin 19 antibody is useful for Western Blot where a band is seen ~44 kDa, Immunocytochemistry/Immunofluorescence, and Immunohistochemistry-paraffin sections. Prior to immunostaining paraffin tissues, antigen retrieval with sodium citrate buffer (pH 6.0) is recommended.

In Simple Western only 10 - 15 uL of the recommended dilution is used per data point.
See Simple Western Antibody Database for Simple Western validation: Tested in HepG2 lysate 0.5 mg/mL, separated by Size, antibody dilution of 1:1000, apparent MW was 50 kDa. Separated by Size-Wes, Sally Sue/Peggy Sue.

Reviewed Applications

Read 1 review rated 3 using NB100-687 in the following applications:

Formulation, Preparation, and Storage

Purification

Immunogen affinity purified

Formulation

PBS and 30% Glycerol

Format

BSA Free

Preservative

0.05% Sodium Azide

Concentration

1.0 mg/ml

Shipping

The product is shipped with polar packs. Upon receipt, store it immediately at the temperature recommended below.

Stability & Storage

Store at 4C short term. Aliquot and store at -20C long term. Avoid freeze-thaw cycles.

Background: Cytokeratin 19

Cytokeratin 19 (KRT19) is an intermediate filament (IF) protein that is part of the Keratin family of proteins. This protein is also known by the names of Keratin 19 or Keratin type I Cytoskeletal 19. The Keratin family consists of Keratin 1-20, which are divided into two subtypes: Type 1 contains the acidic Cytokeratin proteins consisting of Cytokeratins 9-20, including KRT19; Type 2 Keratins include the basic to neutral protein and contains Cytokeratin 1-8. Type 1 and Type 2 Keratins often form oligomers, interacting to create heterotypic chains. However, KRT19 is unique in that while being the smallest of the Type 1 Keratin proteins, it does not interact with any Type 2 Keratins. IF proteins such as KRT19 are integral for defining and maintaining cellular structure and morphology, and are important for cellular integrity by anchoring to membrane complexes via proteins such as Epiplakin, Trichoplein, Periplakin, Plakophilins, Plectin, BPAG1, Desmoplakin, and Envoplakin. KRT19 is also involved in the organization of the myofibers of striated muscle. KRT19 and other Cytokeratin proteins are mainly found in epithelial cells, with KRT19 being expressed exclusively in defined zones of basal keratinocytes. KRT19 is an important biomarker for breast cancer cells, tumor cells of the lymph nodes, peripheral blood, and bone marrow. Cytokeratin 19 can be expressed with KRT8 and KRT18 to differentiate cells of epithelial lines from hematopoietic tumor cells in the peripheral blood.

Alternate Names

CK19, EndoC, K19, Krt19

Entrez Gene IDs

3880 (Human); 16669 (Mouse); 360626 (Rat)

Gene Symbol

KRT19

UniProt

Additional Cytokeratin 19 Products

Product Documents for Cytokeratin 19 Antibody - BSA Free

Certificate of Analysis

To download a Certificate of Analysis, please enter a lot number in the search box below.

Product Specific Notices for Cytokeratin 19 Antibody - BSA Free

This product is for research use only and is not approved for use in humans or in clinical diagnosis. Primary Antibodies are guaranteed for 1 year from date of receipt.

Loading...
Loading...
Loading...
Loading...
Loading...
Loading...