Skip to main content

Cytokeratin 19 Antibody (SA30-06)

Novus Biologicals, part of Bio-Techne | Catalog # NBP3-32248

Recombinant Monoclonal Antibody
Novus Biologicals, part of Bio-Techne
Catalog #
Availability
Size / Price
Qty
Loading...
NBP3-32248

Key Product Details

Species Reactivity

Human, Mouse

Applications

Multiplex Immunofluorescence, Immunohistochemistry, Immunohistochemistry-Paraffin, Western Blot, Flow Cytometry, Immunocytochemistry/ Immunofluorescence

Label

Unconjugated

Antibody Source

Recombinant Monoclonal Rabbit IgG Clone # SA30-06 expressed in HEK293

Concentration

1 mg/ml

Product Specifications

Immunogen

Synthetic peptide within Human Cytokeratin 19 aa 348-400 / 400. (Uniprot: P08727)

Localization

Cytoplasm

Clonality

Monoclonal

Host

Rabbit

Isotype

IgG

Theoretical MW

44 kDa.
Disclaimer note: The observed molecular weight of the protein may vary from the listed predicted molecular weight due to post translational modifications, post translation cleavages, relative charges, and other experimental factors.

Description

Novus Biologicals Rabbit Cytokeratin 19 Antibody (SA30-06) (NBP3-32248) is a recombinant monoclonal antibody validated for use in IHC, WB, Flow and ICC/IF. All Novus Biologicals antibodies are covered by our 100% guarantee.

Scientific Data Images for Cytokeratin 19 Antibody (SA30-06)

Cytokeratin 19 Antibody (SA30-06)

Western Blot: Cytokeratin 19 Antibody (SA30-06) [NBP3-32248]

Western Blot: Cytokeratin 19 Antibody (SA30-06) [NBP3-32248] - All lanes: Western blot analysis of Cytokeratin 19 with anti-Cytokeratin 19 antibody [SA30-06] (NBP3-32248) at 1:5,000 dilution.
Lane 1: Wild-type HepG2 whole cell lysate (20 ug).
Lane 2/3: Cytokeratin 19 knockout HepG2 whole cell lysate (20 ug).

NBP3-32248 was shown to specifically react with Cytokeratin 19 in wild-type HepG2 cells. No band was observed when Cytokeratin 19 knockout samples were tested. Wild-type and Cytokeratin 19 knockout samples were subjected to SDS-PAGE. Proteins were transferred to a PVDF membrane and blocked with 5% NFDM in TBST for 1 hour at room temperature. The primary Anti-Cytokeratin 19 Antibody (ET1601-6, 1/5,000) and anti-HSP90 antibody (ET1605-56, 1/10,000) were used in 5% BSA at room temperature for 2 hours. Goat Anti-Rabbit IgG H&L (HRP) Secondary Antibody (HA1001) at 1:200,000 dilution was used for 1 hour at room temperature.
Cytokeratin 19 Antibody (SA30-06)

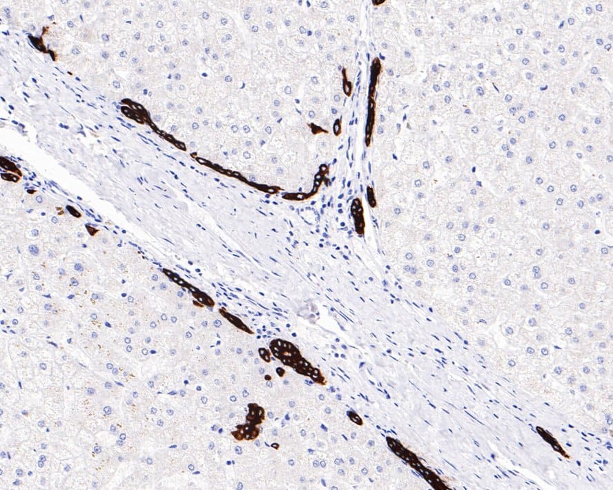
Immunohistochemistry: Cytokeratin 19 Antibody (SA30-06) [NBP3-32248]

Immunohistochemistry: Cytokeratin 19 Antibody (SA30-06) [NBP3-32248] - Immunohistochemical analysis of paraffin-embedded human liver tissue with Rabbit anti-Cytokeratin 19 antibody (NBP3-32248) at 1/1,000 dilution.

The section was pre-treated using heat mediated antigen retrieval with Tris-EDTA buffer (pH 9.0) for 20 minutes. The tissues were blocked in 1% BSA for 20 minutes at room temperature, washed with ddH2O and PBS, and then probed with the primary antibody (NBP3-32248) at 1/1,000 dilution for 1 hour at room temperature. The detection was performed using an HRP conjugated compact polymer system. DAB was used as the chromogen. Tissues were counterstained with hematoxylin and mounted with DPX.
Cytokeratin 19 Antibody (SA30-06)

Immunohistochemistry: Cytokeratin 19 Antibody (SA30-06) [NBP3-32248]

Immunohistochemistry: Cytokeratin 19 Antibody (SA30-06) [NBP3-32248] - Immunofluorescence analysis of paraffin-embedded human kidney tissue labeling Cytokeratin 19 (NBP3-32248).

The section was pre-treated using heat mediated antigen retrieval with Tris-EDTA buffer (pH 9.0) for 20 minutes. The tissues were blocked in 10% negative goat serum for 1 hour at room temperature, washed with PBS. And then probed with the primary antibodies Cytokeratin 19 (NBP3-32248, red) at 1/500 dilution at +4℃ overnight, washed with PBS.

Goat Anti-Rabbit IgG H&L (iFluor™ 594) was used as the secondary antibodies at 1/1,000 dilution. Nuclei were counterstained with DAPI (blue).

Applications for Cytokeratin 19 Antibody (SA30-06)

Application
Recommended Usage

Flow Cytometry

1:50

Immunocytochemistry/ Immunofluorescence

1:1000

Immunohistochemistry-Paraffin

1:50-1:1500

Western Blot

1:500-1:5000
Application Notes
Recommended dilution for Multiplex IHC: 1:5000-1:10000

Formulation, Preparation, and Storage

Purification

Protein A purified

Formulation

1*TBS (pH7.4), 0.05% BSA and 40% Glycerol

Preservative

0.05% Sodium Azide

Concentration

1 mg/ml

Shipping

The product is shipped with polar packs. Upon receipt, store it immediately at the temperature recommended below.

Stability & Storage

Store at 4C short term. Aliquot and store at -20C long term. Avoid freeze-thaw cycles.

Background: Cytokeratin 19

Cytokeratin 19 (also known as Keratin, type I cytoskeletal 19) belongs to the keratin family which consists of fibrous proteins that make up the framework of epithelial cells. Cytokeratin 19 plays a role in the organization of myofibers. This protein is known to have interactions with ZNF638, FANCG, FAM107A, KRT15 and EXOC8. Cytokeratin 19 has been studied in relation to several disorders and diseases including chordoma, adenoma, hamartoma, adenoiditis, carcinoma, and liver disease.

Alternate Names

CK19, EndoC, K19, Krt19

Gene Symbol

KRT19

Additional Cytokeratin 19 Products

Product Documents for Cytokeratin 19 Antibody (SA30-06)

Certificate of Analysis

To download a Certificate of Analysis, please enter a lot number in the search box below.

Product Specific Notices for Cytokeratin 19 Antibody (SA30-06)

This product is for research use only and is not approved for use in humans or in clinical diagnosis. Primary Antibodies are guaranteed for 1 year from date of receipt.

Loading...
Loading...
Loading...
Loading...
Loading...