Cytokeratin 19 Antibody (OTI3F8)
Novus Biologicals, part of Bio-Techne | Catalog # NBP1-48277
Conjugate
Catalog #
Forumulation
Catalog #
Key Product Details
Species Reactivity
Human, Rat, Canine, Monkey, Primate
Applications
Immunohistochemistry, Immunohistochemistry-Paraffin, Western Blot, Immunocytochemistry/ Immunofluorescence
Label
Unconjugated
Antibody Source
Monoclonal Mouse IgG1 Clone # OTI3F8
Concentration
0.15 mg/ml
Product Specifications
Immunogen
Recombinant fragment expressed in E.coli corresponding to amino acids 240-390 of human CK19
Specificity
This antibody is specific for Homo sapiens keratin 19 (KRT19).
Marker
Epithelial Cell Marker
Clonality
Monoclonal
Host
Mouse
Isotype
IgG1
Theoretical MW
43.9 kDa.
Disclaimer note: The observed molecular weight of the protein may vary from the listed predicted molecular weight due to post translational modifications, post translation cleavages, relative charges, and other experimental factors.
Disclaimer note: The observed molecular weight of the protein may vary from the listed predicted molecular weight due to post translational modifications, post translation cleavages, relative charges, and other experimental factors.
Scientific Data Images for Cytokeratin 19 Antibody (OTI3F8)
Western Blot: Cytokeratin 19 Antibody (3F8) [NBP1-48277] Analysis of extracts (35ug) from 9 different cell lines by using anti-Cytokeratin 19 monoclonal antibody.
Immunocytochemistry/ Immunofluorescence: Cytokeratin 19 Antibody (OTI3F8) [NBP1-48277]
Immunocytochemistry/Immunofluorescence: Cytokeratin 19 Antibody (3F8) [NBP1-48277] - Staining of COS7 cells transiently transfected by pCMV6-ENTRY Cytokeratin 19.Immunohistochemistry-Paraffin: Cytokeratin 19 Antibody (OTI3F8) [NBP1-48277]
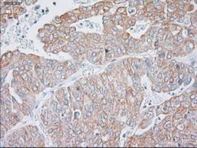
Immunohistochemistry-Paraffin: Cytokeratin 19 Antibody (3F8) [NBP1-48277] - Staining of paraffin-embedded liver tissue using anti-Cytokeratin 19mouse monoclonal antibody.Applications for Cytokeratin 19 Antibody (OTI3F8)
Application
Recommended Usage
Immunocytochemistry/ Immunofluorescence
1:100
Immunohistochemistry
1:50
Immunohistochemistry-Paraffin
1:50
Western Blot
1:1000
Formulation, Preparation, and Storage
Purification
Immunogen affinity purified
Formulation
PBS (pH 7.3), 1.0% BSA and 50% Glycerol
Preservative
0.02% Sodium Azide
Concentration
0.15 mg/ml
Shipping
The product is shipped with polar packs. Upon receipt, store it immediately at the temperature recommended below.
Stability & Storage
Store at -20C. Avoid freeze-thaw cycles.
Background: Cytokeratin 19
Additional Cytokeratin 19 Products
Product Documents for Cytokeratin 19 Antibody (OTI3F8)
Product Specific Notices for Cytokeratin 19 Antibody (OTI3F8)
This product is for research use only and is not approved for use in humans or in clinical diagnosis. Primary Antibodies are guaranteed for 1 year from date of receipt.
Loading...
Loading...
Loading...
Loading...