Skip to main content

Cytokeratin 12 Antibody - BSA Free

Novus Biologicals, part of Bio-Techne | Catalog # NBP2-58256

Novus Biologicals, part of Bio-Techne
Catalog #
Availability
Size / Price
Qty
Loading...
NBP2-58256
NBP2-58256-25ul

Key Product Details

Validated by

Independent Antibodies

Species Reactivity

Human

Applications

Immunohistochemistry, Immunohistochemistry-Paraffin

Label

Unconjugated

Antibody Source

Polyclonal Rabbit IgG

Format

BSA Free

Concentration

Concentrations vary lot to lot. See vial label for concentration. If unlisted please contact technical services.

Product Specifications

Immunogen

This antibody was developed against a recombinant protein corresponding to the following amino acid sequence: QGDGLEESLFVTDSKSQAQSTDSSKDPTKTRK

Clonality

Polyclonal

Host

Rabbit

Isotype

IgG

Description

Novus Biologicals Rabbit Cytokeratin 12 Antibody - BSA Free (NBP2-58256) is a polyclonal antibody validated for use in IHC. All Novus Biologicals antibodies are covered by our 100% guarantee.

Scientific Data Images for Cytokeratin 12 Antibody - BSA Free

Immunohistochemistry-Paraffin: Cytokeratin 12 Antibody [NBP2-58256]

Immunohistochemistry-Paraffin: Cytokeratin 12 Antibody [NBP2-58256]

Immunohistochemistry-Paraffin: Cytokeratin 12 Antibody [NBP2-58256] - Staining of human cerebral cortex, eye, liver and lymph node using Anti-Cytokeratin 12 antibody NBP2-58256 (A) shows similar protein distribution across tissues to independent antibody NBP2-58100 (B).
Immunohistochemistry-Paraffin: Cytokeratin 12 Antibody [NBP2-58256]

Immunohistochemistry-Paraffin: Cytokeratin 12 Antibody [NBP2-58256]

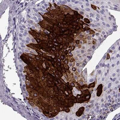
Immunohistochemistry-Paraffin: Cytokeratin 12 Antibody [NBP2-58256] - Staining of human eye shows strong cytoplasmic positivity in the corneal epithelial cells.
Immunohistochemistry-Paraffin: Cytokeratin 12 Antibody [NBP2-58256]

Immunohistochemistry-Paraffin: Cytokeratin 12 Antibody [NBP2-58256]

Immunohistochemistry-Paraffin: Cytokeratin 12 Antibody [NBP2-58256] - Staining of human liver.

Applications for Cytokeratin 12 Antibody - BSA Free

Application
Recommended Usage

Immunohistochemistry

1:200 - 1:500

Immunohistochemistry-Paraffin

1:200 - 1:500
Application Notes
For IHC-Paraffin, HIER pH 6 retrieval is recommended.

Formulation, Preparation, and Storage

Purification

Affinity purified

Formulation

PBS (pH 7.2) and 40% Glycerol

Format

BSA Free

Preservative

0.02% Sodium Azide

Concentration

Concentrations vary lot to lot. See vial label for concentration. If unlisted please contact technical services.

Shipping

The product is shipped with polar packs. Upon receipt, store it immediately at the temperature recommended below.

Stability & Storage

Store at 4C short term. Aliquot and store at -20C long term. Avoid freeze-thaw cycles.

Background: Cytokeratin 12

Alternate Names

CK12, K12, keratin 12, keratin, type I cytoskeletal 12

Gene Symbol

KRT12

Additional Cytokeratin 12 Products

Product Documents for Cytokeratin 12 Antibody - BSA Free

Certificate of Analysis

To download a Certificate of Analysis, please enter a lot number in the search box below.

Product Specific Notices for Cytokeratin 12 Antibody - BSA Free

This product is for research use only and is not approved for use in humans or in clinical diagnosis. Primary Antibodies are guaranteed for 1 year from date of receipt.

Loading...
Loading...
Loading...
Loading...