Skip to main content

Cystathionase Antibody (OTI1E12) - Azide and BSA Free

Novus Biologicals, part of Bio-Techne | Catalog # NBP2-70488

Catalog #
Availability
Size / Price
Qty
Loading...
NBP2-70488
Conjugate
Catalog #

Key Product Details

Species Reactivity

Human, Mouse, Canine, Monkey, Primate

Applications

Immunohistochemistry, Immunohistochemistry-Paraffin, Western Blot, Flow Cytometry

Label

Unconjugated

Antibody Source

Monoclonal Mouse IgG2B Clone # OTI1E12

Format

Azide and BSA Free

Concentration

LYOPH mg/ml

Product Specifications

Immunogen

Full length human recombinant protein of human CTH (NP_001893) produced in HEK293T cell.

Reactivity Notes

Please note that this antibody is reactive to Mouse and derived from the same host, Mouse. Mouse-On-Mouse blocking reagent may be needed for IHC and ICC experiments to reduce high background signal. You can find these reagents under catalog numbers PK-2200-NB and MP-2400-NB. Please contact Technical Support if you have any questions.

Clonality

Monoclonal

Host

Mouse

Isotype

IgG2B

Theoretical MW

44.3 kDa.
Disclaimer note: The observed molecular weight of the protein may vary from the listed predicted molecular weight due to post translational modifications, post translation cleavages, relative charges, and other experimental factors.

Scientific Data Images for Cystathionase Antibody (OTI1E12) - Azide and BSA Free

Western Blot: Cystathionase Antibody (OTI1E12)Azide and BSA Free [NBP2-70488]

Western Blot: Cystathionase Antibody (OTI1E12)Azide and BSA Free [NBP2-70488]

Western Blot: Cystathionase Antibody (OTI1E12) - Azide and BSA Free [NBP2-70488] - HEK293T cells were transfected with the pCMV6-ENTRY control (Left lane) or pCMV6-ENTRY Cystathionase (Right lane) cDNA for 48 hrs and lysed. Equivalent amounts of cell lysates (5 ug per lane) were separated by SDS-PAGE and immunoblotted with anti-Cystathi
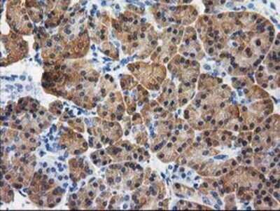
Immunohistochemistry: Cystathionase Antibody (OTI1E12) - Azide and BSA Free [NBP2-70488]

Immunohistochemistry: Cystathionase Antibody (OTI1E12) - Azide and BSA Free [NBP2-70488]

Immunohistochemistry: Cystathionase Antibody (OTI1E12) - Azide and BSA Free [NBP2-70488] - Staining of paraffin-embedded Human pancreas tissue using anti-Cystathionase mouse monoclonal antibody.
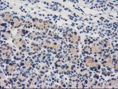
Flow Cytometry: Cystathionase Antibody (OTI1E12) - Azide and BSA Free [NBP2-70488]

Flow Cytometry: Cystathionase Antibody (OTI1E12) - Azide and BSA Free [NBP2-70488]

Flow Cytometry: Cystathionase Antibody (OTI1E12) - Azide and BSA Free [NBP2-70488] - Staining of paraffin-embedded Human liver tissue using anti-Cystathionase mouse monoclonal antibody.

Applications for Cystathionase Antibody (OTI1E12) - Azide and BSA Free

Application
Recommended Usage

Immunohistochemistry

1:150

Western Blot

1:500-2000

Formulation, Preparation, and Storage

Purification

Immunogen affinity purified

Reconstitution

we recommend adding 100uL distilled water to a final antibody concentration of about 1 mg/mL. To use this carrier-free antibody for conjugation experiment, we strongly recommend performing another round of desalting process.

Formulation

Lyophilized from PBS (pH 7.3) with 8% Trehalose

Format

Azide and BSA Free

Preservative

No Preservative

Concentration

LYOPH mg/ml

Shipping

The product is shipped with polar packs. Upon receipt, store it immediately at the temperature recommended below.

Stability & Storage

Store at -20C. Avoid freeze-thaw cycles.

Background: Cystathionase

Alternate Names

cystathionase (cystathionine gamma-lyase), cystathionine gamma-lyase, cysteine desulfhydrase, EC 4.4.1, EC 4.4.1.1, gamma-cystathionase, homoserine deaminase, homoserine dehydratase, MGC9471

Gene Symbol

CTH

Additional Cystathionase Products

Product Documents for Cystathionase Antibody (OTI1E12) - Azide and BSA Free

Certificate of Analysis

To download a Certificate of Analysis, please enter a lot number in the search box below.

Product Specific Notices for Cystathionase Antibody (OTI1E12) - Azide and BSA Free

This product is for research use only and is not approved for use in humans or in clinical diagnosis. Primary Antibodies are guaranteed for 1 year from date of receipt.

Loading...
Loading...
Loading...
Loading...
Loading...
Loading...