Skip to main content

CYP21A2 Antibody - BSA Free

Novus Biologicals, part of Bio-Techne | Catalog # NBP2-38698

Novus Biologicals, part of Bio-Techne
Catalog #
Availability
Size / Price
Qty
Loading...
NBP2-38698
NBP2-38698-25ul

Key Product Details

Validated by

Orthogonal Validation, Independent Antibodies

Species Reactivity

Human

Applications

Immunohistochemistry, Immunohistochemistry-Paraffin, Western Blot, Simple Western

Label

Unconjugated

Antibody Source

Polyclonal Rabbit IgG

Format

BSA Free

Concentration

Concentrations vary lot to lot. See vial label for concentration. If unlisted please contact technical services.

Product Specifications

Immunogen

This antibody was developed against a recombinant protein corresponding to amino acids: LIGGTETTANTLSWAVVFLLHHPEIQQRLQEELDHELGPGASSSRVPYKDRARLPLLNATIAEV

Clonality

Polyclonal

Host

Rabbit

Isotype

IgG

Description

Novus Biologicals Rabbit CYP21A2 Antibody - BSA Free (NBP2-38698) is a polyclonal antibody validated for use in IHC, WB and Simple Western. All Novus Biologicals antibodies are covered by our 100% guarantee.

Scientific Data Images for CYP21A2 Antibody - BSA Free

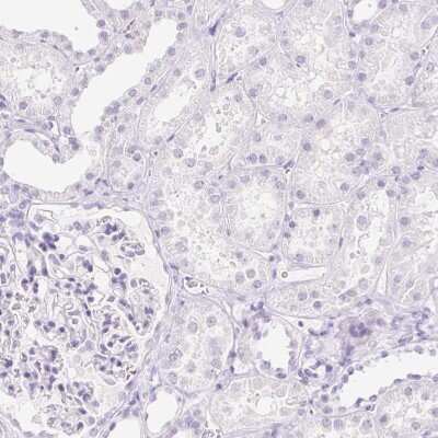
Immunohistochemistry-Paraffin: CYP21A2 Antibody [NBP2-38698]

Immunohistochemistry-Paraffin: CYP21A2 Antibody [NBP2-38698]

Immunohistochemistry-Paraffin: CYP21A2 Antibody [NBP2-38698] - Analysis in human adrenal gland and kidney tissues using NBP2-38698 antibody. Corresponding CYP21A2 RNA-seq data are presented for the same tissues.
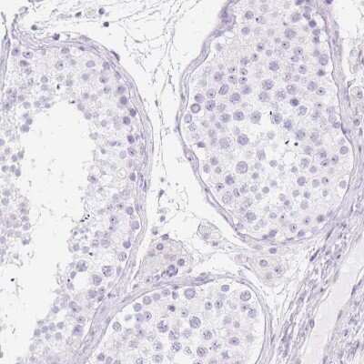
Immunohistochemistry-Paraffin: CYP21A2 Antibody [NBP2-38698]

Immunohistochemistry-Paraffin: CYP21A2 Antibody [NBP2-38698]

Immunohistochemistry-Paraffin: CYP21A2 Antibody [NBP2-38698] - Staining of human adrenal gland, kidney, pancreas and testis using Anti-CYP21A2 antibody NBP2-38698 (A) shows similar protein distribution across tissues to independent antibody NBP2-13893 (B).
Western Blot: CYP21A2 Antibody [NBP2-38698]

Western Blot: CYP21A2 Antibody [NBP2-38698]

Western Blot: CYP21A2 Antibody [NBP2-38698] - Lane 1: Marker [kDa] 250, 130, 100, 70, 55, 35, 25, 15, 10Lane 2: Human Adrenal Gland tissue

Applications for CYP21A2 Antibody - BSA Free

Application
Recommended Usage

Immunohistochemistry

1:1000 - 1:2500

Immunohistochemistry-Paraffin

1:1000 - 1:2500

Western Blot

0.04-0.4 ug/ml
Application Notes
For IHC-Paraffin, HIER pH 6 retrieval is recommended. See Simple Western Antibody Database for Simple Western validation: Separated by size; matrix was 12-230 kDa; detected by Chemiluminescence.

Formulation, Preparation, and Storage

Purification

Affinity purified

Formulation

PBS (pH 7.2) and 40% Glycerol

Format

BSA Free

Preservative

0.02% Sodium Azide

Concentration

Concentrations vary lot to lot. See vial label for concentration. If unlisted please contact technical services.

Shipping

The product is shipped with polar packs. Upon receipt, store it immediately at the temperature recommended below.

Stability & Storage

Store at 4C short term. Aliquot and store at -20C long term. Avoid freeze-thaw cycles.

Background: CYP21A2

The CYP21A2 gene encodes a member of the cytochrome P450 superfamily of enzymes. The cytochrome P450 proteins aremonooxygenases which catalyze many reactions involved in drug metabolism and synthesis of cholesterol, steroids andother lipids. This protein localiz

Long Name

Cytochrome P450 Family 21 Subfamily A Member 2

Alternate Names

21-OHase, CAH1, CPS1, CYP21, CYP21B

Gene Symbol

CYP21A2

UniProt

Additional CYP21A2 Products

Product Documents for CYP21A2 Antibody - BSA Free

Certificate of Analysis

To download a Certificate of Analysis, please enter a lot number in the search box below.

Product Specific Notices for CYP21A2 Antibody - BSA Free

This product is for research use only and is not approved for use in humans or in clinical diagnosis. Primary Antibodies are guaranteed for 1 year from date of receipt.

Loading...
Loading...
Loading...
Loading...