Skip to main content

CYLD Antibody - BSA Free

Novus Biologicals, part of Bio-Techne | Catalog # NB100-56461

Novus Biologicals, part of Bio-Techne
Catalog #
Availability
Size / Price
Qty
Loading...
NB100-56461
NB100-56461SS

Key Product Details

Species Reactivity

Validated:

Human

Cited:

Human

Predicted:

Bovine (100%), Feline (100%), Mouse (100%), Primate (100%), Rat (92%). Backed by our 100% Guarantee.

Applications

Validated:

Western Blot, Immunocytochemistry/ Immunofluorescence, Simple Western

Cited:

Western Blot

Label

Unconjugated

Antibody Source

Polyclonal Rabbit IgG

Format

BSA Free

Concentration

1.0 mg/ml

Product Specifications

Immunogen

A synthetic peptide (DKQTQKLLKVPKGS) corresponding to amino acids 32-45 of human CYLD was used as immunogen (NP_001035877).

Clonality

Polyclonal

Host

Rabbit

Isotype

IgG

Description

Novus Biologicals Rabbit CYLD Antibody - BSA Free (NB100-56461) is a polyclonal antibody validated for use in WB, ICC/IF and Simple Western. Anti-CYLD Antibody: Cited in 1 publication. All Novus Biologicals antibodies are covered by our 100% guarantee.

Scientific Data Images for CYLD Antibody - BSA Free

Western Blot: CYLD Antibody [NB100-56461]

Western Blot: CYLD Antibody [NB100-56461]

Western Blot: CYLD Antibody [NB100-56461] - Analysis of CYLD in HeLa cell lysate using this antibody.
Immunocytochemistry/ Immunofluorescence: CYLD Antibody [NB100-56461]

Immunocytochemistry/ Immunofluorescence: CYLD Antibody [NB100-56461]

Immunocytochemistry/Immunofluorescence: CYLD Antibody [NB100-56461] - Staining of HeLa cell using control (rabbit Ig) at 5 ug/ml.
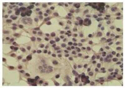
Immunocytochemistry/ Immunofluorescence: CYLD Antibody [NB100-56461]

Immunocytochemistry/ Immunofluorescence: CYLD Antibody [NB100-56461]

Immunocytochemistry/Immunofluorescence: CYLD Antibody [NB100-56461] - Staining of HeLa cell using this antibody at 5 ug/ml. ICC staining of HeLa cell using control (rabbit Ig) at 5 ug/ml.

Applications for CYLD Antibody - BSA Free

Application
Recommended Usage

Immunocytochemistry/ Immunofluorescence

5-10 ug/ml

Simple Western

1:50

Western Blot

2-4 ug/ml
Application Notes
Human CYLD is a 956 amino acid protein and the approximate theoretical size is 105 kD.
See Simple Western Antibody Database for Simple Western validation: Tested in HeLa lysate 0.5 mg/mL, separated by Size, antibody dilution of 1:50, apparent MW was 100 kDa

Formulation, Preparation, and Storage

Purification

Protein G purified

Formulation

PBS

Format

BSA Free

Preservative

0.05% Sodium Azide

Concentration

1.0 mg/ml

Shipping

The product is shipped with polar packs. Upon receipt, store it immediately at the temperature recommended below.

Stability & Storage

Store at 4C short term. Aliquot and store at -20C long term. Avoid freeze-thaw cycles.

Background: CYLD

CYLD is a 956 aa, cytoplasmic, deubiquitinating enzyme belonging to the ubiquitin carboxy-terminal hydrolases (UCH) family of proteins with three cytoskeletal-associated protein-glycine-conserved (CAP-GLY) domains, a proline rich region, a SH3 binding domain and a sequence homology to catalytic domain of UCH. CYLD is identified as a tumor suppressor protein affecting the JNK signaling pathway. CYLD is a negative regulator of TRAF2 and NF-kappa-B signaling pathway and is also known to have receptor-dependent role in regulating the I-kappa-B kinase pathway. It also has a deubiquitinating activity that is directed towards non-Lys-48-linked polyubiquitin chains and TRAP1 is a novel substrate for deubiquitination. Mutated CYLD is known to be associated with cylindromatosis, multiple familial trichoepithelioma, and Brooke-Spiegler syndrome.

Long Name

Cylindromatosis

Alternate Names

BRSS, CDMT, CYLD1, EAC, MFT1, SBS, TEM, USPL2

Entrez Gene IDs

1540 (Human); 74256 (Mouse); 312937 (Rat)

Gene Symbol

CYLD

UniProt

Additional CYLD Products

Product Documents for CYLD Antibody - BSA Free

Certificate of Analysis

To download a Certificate of Analysis, please enter a lot number in the search box below.

Product Specific Notices for CYLD Antibody - BSA Free

This product is for research use only and is not approved for use in humans or in clinical diagnosis. Primary Antibodies are guaranteed for 1 year from date of receipt.

Loading...
Loading...
Loading...
Loading...