Skip to main content

Cyclin B1 Antibody (RM281)

Novus Biologicals, part of Bio-Techne | Catalog # NBP2-61517

Recombinant Monoclonal Antibody.
Novus Biologicals, part of Bio-Techne
Catalog #
Availability
Size / Price
Qty
Loading...
NBP2-61517

Key Product Details

Species Reactivity

Human

Applications

Immunohistochemistry, Immunohistochemistry-Paraffin, Western Blot

Label

Unconjugated

Antibody Source

Recombinant Monoclonal Rabbit IgG Clone # RM281 expressed in HEK293

Concentration

Please see the vial label for concentration. If unlisted please contact technical services.

Product Specifications

Immunogen

A peptide corresponding to Cyclin B1

Clonality

Monoclonal

Host

Rabbit

Isotype

IgG

Description

Novus Biologicals Rabbit Cyclin B1 Antibody (RM281) (NBP2-61517) is a recombinant monoclonal antibody validated for use in IHC and WB. All Novus Biologicals antibodies are covered by our 100% guarantee.

Scientific Data Images for Cyclin B1 Antibody (RM281)

Western Blot: Cyclin B1 Antibody (RM281) [NBP2-61517] -

Western Blot: Cyclin B1 Antibody (RM281) [NBP2-61517] - Western Blot of Jurkat cell lysates using NBP2-61517 at a 1:1000 dilution
Immunohistochemistry-Paraffin: Cyclin B1 Antibody (RM281) [NBP2-61517]

Immunohistochemistry-Paraffin: Cyclin B1 Antibody (RM281) [NBP2-61517]

Immunohistochemistry-Paraffin: Cyclin B1 Antibody (RM281) [NBP2-61517] - Immunohistochemical staining of formalin fixed and paraffin embedded human tonsil tissue sections using NBP2-61517 at a 1:1000 dilution.
Cyclin B1 Antibody (RM281)

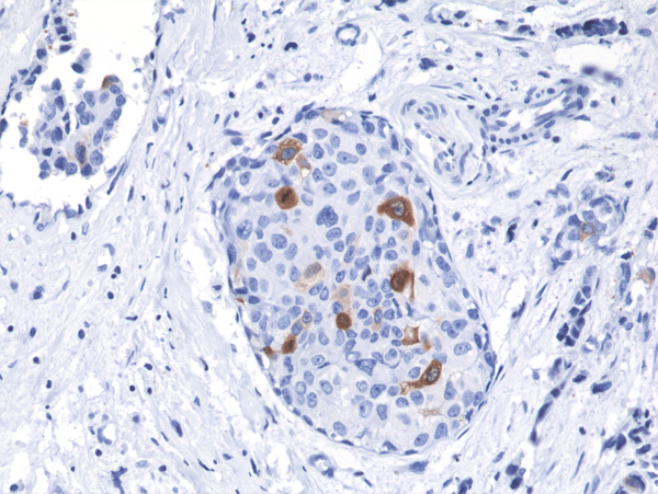
Immunohistochemistry-Paraffin: Cyclin B1 Antibody (RM281) [NBP2-61517] -

Immunohistochemistry-Paraffin: Cyclin B1 Antibody (RM281) [NBP2-61517] - Immunohistochemical staining of formalin fixed and paraffin embedded Human breast cancer tissue sections using NBP2-61517 at a 1:2000 dilution

Applications for Cyclin B1 Antibody (RM281)

Application
Recommended Usage

Immunohistochemistry

1:1000-1:2000

Immunohistochemistry-Paraffin

1:1000-1:2000

Western Blot

1:1000-1:2000

Formulation, Preparation, and Storage

Purification

Protein A purified

Formulation

50% Glycerol/PBS, 1% BSA

Preservative

0.09% Sodium Azide

Concentration

Please see the vial label for concentration. If unlisted please contact technical services.

Shipping

The product is shipped with polar packs. Upon receipt, store it immediately at the temperature recommended below.

Stability & Storage

Store at -20C. Avoid freeze-thaw cycles.

Background: Cyclin B1

Alternate Names

CCNB1

Gene Symbol

CCNB1

Additional Cyclin B1 Products

Product Documents for Cyclin B1 Antibody (RM281)

Certificate of Analysis

To download a Certificate of Analysis, please enter a lot number in the search box below.

Product Specific Notices for Cyclin B1 Antibody (RM281)

This product is for research use only and is not approved for use in humans or in clinical diagnosis. Primary Antibodies are guaranteed for 1 year from date of receipt.

Loading...
Loading...
Loading...
Loading...