Skip to main content

Cyclin B1 Antibody (CCNB1/1098) - IHC-Prediluted

Novus Biologicals, part of Bio-Techne | Catalog # NBP2-48117

Novus Biologicals, part of Bio-Techne
Catalog #
Availability
Size / Price
Qty
Loading...
NBP2-48117

Key Product Details

Species Reactivity

Human, Mouse

Applications

Immunohistochemistry, Immunohistochemistry-Paraffin

Label

Unconjugated

Antibody Source

Monoclonal Mouse IgG1 kappa Clone # CCNB1/1098

Format

IHC-Prediluted

Concentration

Please see the vial label for concentration. If unlisted please contact technical services.

Product Specifications

Immunogen

Recombinant human full-length Cyclin B1 protein (Uniprot: P14635)

Localization

Cytoplasmic & Nuclear

Specificity

It recognizes a protein of 55-62kDa, identified as cyclin B1. In mammals, cyclin B associates with inactive p34cdc2, which facilitates phosphorylation of p34cdc2 at aa 14Thr and 15Tyr. This maintains the inactive state until the end of G2-phase. The inactive cyclin B-p34cdc2 complex continues to accumulate in the cytoplasm until the completion of DNA synthesis, when Cdc25, a specific protein phosphatase, dephosphorylates aa 14Thr and 15Tyr of p34cdc2 rendering the complex active at the G2/M boundary. This mitotic kinase complex remains active until the metaphase/anaphase transition when cyclin B is degraded. This degradation process is ubiquitin-dependent and is necessary for the cell to exit mitosis. So, cyclin B-p34cdc2 plays a critical role in G2 to M transition.

Clonality

Monoclonal

Host

Mouse

Isotype

IgG1 kappa

Description

The prediluted antibody does not require any mixing, dilution, reconstitution, or titration; the antibody is ready-to-use and optimized for staining.

Scientific Data Images for Cyclin B1 Antibody (CCNB1/1098) - IHC-Prediluted

Immunohistochemistry-Paraffin: Cyclin B1 Antibody (CCNB1/1098) - IHC-Prediluted [NBP2-48117]

Immunohistochemistry-Paraffin: Cyclin B1 Antibody (CCNB1/1098) - IHC-Prediluted [NBP2-48117]

Immunohistochemistry-Paraffin: Cyclin B1 Antibody (CCNB1/1098) - IHC-Prediluted [NBP2-48117] - Human Ovarian Carcinoma stained with Cyclin B1 Mouse Monoclonal Antibody (CCNB1/1098).
Immunohistochemistry-Paraffin: Cyclin B1 Antibody (CCNB1/1098) - IHC-Prediluted [NBP2-48117]

Immunohistochemistry-Paraffin: Cyclin B1 Antibody (CCNB1/1098) - IHC-Prediluted [NBP2-48117]

Immunohistochemistry-Paraffin: Cyclin B1 Antibody (CCNB1/1098) - IHC-Prediluted [NBP2-48117] - Human Tonsil stained with Cyclin B1 Mouse Monoclonal Antibody (CCNB1/1098).
Immunohistochemistry-Paraffin: Cyclin B1 Antibody (CCNB1/1098) - IHC-Prediluted [NBP2-48117]

Immunohistochemistry-Paraffin: Cyclin B1 Antibody (CCNB1/1098) - IHC-Prediluted [NBP2-48117]

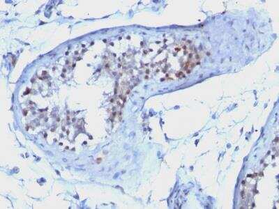
Immunohistochemistry-Paraffin: Cyclin B1 Antibody (CCNB1/1098) - IHC-Prediluted [NBP2-48117] - Human Testicular Carcinoma stained with Cyclin B1 Mouse Monoclonal Antibody (CCNB1/1098).

Applications for Cyclin B1 Antibody (CCNB1/1098) - IHC-Prediluted

Application
Recommended Usage

Immunohistochemistry

Optimal dilutions of this antibody should be experimentally determined.

Immunohistochemistry-Paraffin

Optimal dilutions of this antibody should be experimentally determined.
Application Notes
Immunohistochemistry (Formalin-fixed): 1-2ug/ml for 30 minutes at RT. Staining of formalin-fixed tissues requires heating tissue sections in 10mM Tris with 1mM EDTA, pH 9.0, for 45 min at 95C followed by cooling at RT for 20 minutes.
Optimal dilution for a specific application should be determined.

Formulation, Preparation, and Storage

Purification

Protein A or G purified

Formulation

10 mM PBS with 0.05% BSA

Format

IHC-Prediluted

Preservative

0.05% Sodium Azide

Concentration

Please see the vial label for concentration. If unlisted please contact technical services.

Shipping

The product is shipped with polar packs. Upon receipt, store it immediately at the temperature recommended below.

Stability & Storage

Store at 4C.

Background: Cyclin B1

Alternate Names

CCNB1

Gene Symbol

CCNB1

Additional Cyclin B1 Products

Product Documents for Cyclin B1 Antibody (CCNB1/1098) - IHC-Prediluted

Certificate of Analysis

To download a Certificate of Analysis, please enter a lot number in the search box below.

Product Specific Notices for Cyclin B1 Antibody (CCNB1/1098) - IHC-Prediluted

This product is for research use only and is not approved for use in humans or in clinical diagnosis. Primary Antibodies are guaranteed for 1 year from date of receipt.

Loading...
Loading...
Loading...
Loading...