Skip to main content

Key Product Details

Species Reactivity

Validated:

Human, Mouse, Rat, Sheep

Cited:

Human, Mouse, Rat, Ovine

Predicted:

Bovine (100%), Equine (100%), Primate (100%). Backed by our 100% Guarantee.

Applications

Validated:

Immunohistochemistry, Immunohistochemistry-Paraffin, Western Blot, Immunocytochemistry/ Immunofluorescence, Simple Western, Flow Cytometry (Negative)

Cited:

Immunohistochemistry, Immunohistochemistry-Frozen, Western Blot, Flow Cytometry, Flow (Cell Surface)

Label

Unconjugated

Antibody Source

Polyclonal Rabbit IgG

Format

BSA Free

Concentration

1.0 mg/ml

Product Specifications

Immunogen

A synthetic peptide corresponding amino acids 106-129 of human CXCR7/RDC1 was used as the immunogen, GenBank NP_064707.1.

Clonality

Polyclonal

Host

Rabbit

Isotype

IgG

Description

Novus Biologicals Rabbit CXCR7/RDC-1 Antibody - BSA Free (NBP2-24779) is a polyclonal antibody validated for use in IHC, WB, Flow, ICC/IF and Simple Western. Anti-CXCR7/RDC-1 Antibody: Cited in 9 publications. All Novus Biologicals antibodies are covered by our 100% guarantee.

Scientific Data Images for CXCR7/RDC-1 Antibody - BSA Free

Simple Western: CXCR7/RDC-1 AntibodyBSA Free [NBP2-24779]

Simple Western: CXCR7/RDC-1 AntibodyBSA Free [NBP2-24779]

Simple Western: CXCR7/RDC-1 Antibody [NBP2-24779] - Lane view shows a specific band for CXCR7 in 0.5 mg/mL of Jurkat lysate. This experiment was performed under reducing conditions using the 12-230 kDa separation system.
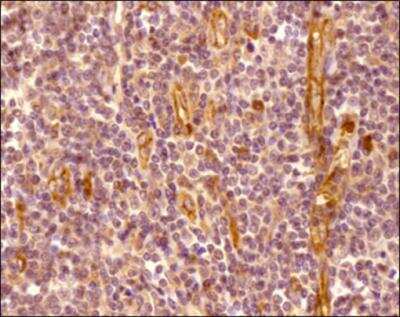
Immunohistochemistry-Paraffin: CXCR7/RDC-1 Antibody - BSA Free [NBP2-24779]

Immunohistochemistry-Paraffin: CXCR7/RDC-1 Antibody - BSA Free [NBP2-24779]

Immunohistochemistry-Paraffin: CXCR7/RDC-1 Antibody [NBP2-24779] - Analysis of a FFPE tissue section of human tonsil using 5 ug/mL concentration of CXCR7/RDC-1 antibody. The staining was developed using HRP labeled anti-rabbit secondary antibody and DAB reagent, and nuclei of cells were counter-stained with hematoxylin. This CXCR7 antibody generated a specific membrane cytoplasmic staining in most of the cells, and the signal was highest/very intense in the endothelial cells/blood vessels.
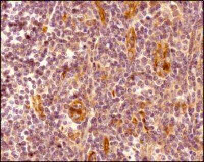
Immunohistochemistry-Paraffin: CXCR7/RDC-1 Antibody - BSA Free [NBP2-24779]

Immunohistochemistry-Paraffin: CXCR7/RDC-1 Antibody - BSA Free [NBP2-24779]

Immunohistochemistry-Paraffin: CXCR7/RDC-1 Antibody [NBP2-24779] - Analysis of a FFPE tissue section of human tonsil using 5 ug/mL concentration of CXCR7/RDC-1 antibody. The staining was developed using HRP labeled anti-rabbit secondary antibody and DAB reagent, and nuclei of cells were counter-stained with hematoxylin. This CXCR7 antibody generated a specific membrane cytoplasmic staining in most of the cells, and the signal was highest/very intense in the endothelial cells/blood vessels.

Applications for CXCR7/RDC-1 Antibody - BSA Free

Application
Recommended Usage

Immunocytochemistry/ Immunofluorescence

1 - 2 ug/ml

Immunohistochemistry

5 - 10 ug/ml

Immunohistochemistry-Paraffin

5 - 10 ug/mL

Simple Western

1:100

Western Blot

4 - 6 ug/mL
Application Notes
In Simple Western only 10 - 15 uL of the recommended dilution is used per data point.
See Simple Western Antibody Database for Simple Western validation: Tested in Jurkat lysate 0.5 mg/mL, separated by Size, antibody dilution of 1:50, apparent MW was 65 kDa.

Reviewed Applications

Read 1 review rated 5 using NBP2-24779 in the following applications:

Formulation, Preparation, and Storage

Purification

Peptide affinity purified

Formulation

PBS

Format

BSA Free

Preservative

0.02% Sodium Azide

Concentration

1.0 mg/ml

Shipping

The product is shipped with polar packs. Upon receipt, store it immediately at the temperature recommended below.

Stability & Storage

Store at 4C short term. Aliquot and store at -20C long term. Avoid freeze-thaw cycles.

Background: CXCR7/RDC-1

CXCR7/RDC-1 is a G protein-coupled receptor (GPCR) member of the CXC subfamily of chemokine receptors. Human CXCR7/RDC-1 is 362 amino acids (aa) in length with a predicted molecular weight of 41 kDa. Mouse and rat CXCR7/RDC-1 share 93% aa sequence identity with the human protein. CXCR7/RDC-1 binds to and acts as a scavenger for CXCL11/I-TAC and CXCL12/SDF-1. CXCR7/RDC-1 can also function as a co-receptor for HIV and SIV. Unlike other chemokine receptors, CXCR7/RDC-1 does not activate G protein signaling, but instead initiates beta-Arrestin-mediated receptor-ligand internalization. Although CXCR7/RDC-1 itself does not activate G protein signaling, the receptor can heterodimerize with CXCR4 to activate G proteins in response to CXCL12/SDF-1 binding. Studies on CXCR7/RDC-1 knockout mice suggest that it is critical for cardiovascular development. While CXCR7/RDC-1 does not appear to signal in normal hematopoietic cells, it is highly expressed in leukemic cells where it activates Akt signaling that promotes cell trafficking and adhesion. CXCR7/RDC-1 also mediates neuronal migration, displays aberrant signaling in astrocytes, and is highly expressed in glioma cells.

Alternate Names

ACKR3, CMKOR1, CXCR7, GPR159, RDC-1

Gene Symbol

ACKR3

UniProt

Additional CXCR7/RDC-1 Products

Product Documents for CXCR7/RDC-1 Antibody - BSA Free

Certificate of Analysis

To download a Certificate of Analysis, please enter a lot number in the search box below.

Product Specific Notices for CXCR7/RDC-1 Antibody - BSA Free

This product is for research use only and is not approved for use in humans or in clinical diagnosis. Primary Antibodies are guaranteed for 1 year from date of receipt.

Loading...
Loading...
Loading...
Loading...