Skip to main content

CXCR1/IL-8RA Antibody - BSA Free

Novus Biologicals, part of Bio-Techne | Catalog # NLS806

Novus Biologicals, part of Bio-Techne
Catalog #
Availability
Size / Price
Qty
Loading...
NLS806

Key Product Details

Species Reactivity

Validated:

Human

Cited:

Human

Predicted:

Primate (95%). Backed by our 100% Guarantee.

Applications

Validated:

Immunocytochemistry, Immunohistochemistry, Immunohistochemistry-Paraffin

Cited:

Immunohistochemistry-Paraffin

Label

Unconjugated

Antibody Source

Polyclonal Rabbit IgG

Format

BSA Free

Concentration

1.0 mg/ml

Product Specifications

Immunogen

Synthetic 20 amino acid peptide from N-terminal extracellular domain of human CXCR1/IL-8RA.

Epitope

N-terminal extracellular domain of human

Reactivity Notes

Gorilla (95%); Monkey (80%).

Specificity

Human CXCR1/IL-8RA. BLAST analysis of the peptide immunogen showed no homology with other human proteins.

Clonality

Polyclonal

Host

Rabbit

Isotype

IgG

Description

Product can be stored undiluted at 4C for up to 1 month.

Scientific Data Images for CXCR1/IL-8RA Antibody - BSA Free

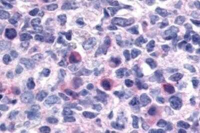
Immunohistochemistry-Paraffin: CXCR1/IL-8RA Antibody - BSA Free [NLS806]

Immunohistochemistry-Paraffin: CXCR1/IL-8RA Antibody - BSA Free [NLS806]

Immunohistochemistry-Paraffin: CXCR1/IL-8 RA Antibody [NLS806] - Analysis of anti-CXCR1 antibody with human lymph node, Hodgkins lymphoma.
Immunohistochemistry-Paraffin: CXCR1/IL-8RA Antibody - BSA Free [NLS806]

Immunohistochemistry-Paraffin: CXCR1/IL-8RA Antibody - BSA Free [NLS806]

Immunohistochemistry-Paraffin: CXCR1/IL-8RA Antibody [NLS806] - Staining of untransfected HEK293 human embryonic kidney cells.
Immunohistochemistry-Paraffin: CXCR1/IL-8RA Antibody - BSA Free [NLS806]

Immunohistochemistry-Paraffin: CXCR1/IL-8RA Antibody - BSA Free [NLS806]

Immunohistochemistry-Paraffin: CXCR1/IL-8RA Antibody [NLS806] - Staining of HEK293 human embryonic kidney cells transfected with CXCR1.

Applications for CXCR1/IL-8RA Antibody - BSA Free

Application
Recommended Usage

Immunocytochemistry

1:10 - 1:500

Immunohistochemistry-Paraffin

7-11 ug/ml
Application Notes
Use in IHC-P reported in scientific literature (PMID 16842506).

Reviewed Applications

Read 1 review rated 3 using NLS806 in the following applications:

Formulation, Preparation, and Storage

Purification

Immunogen affinity purified

Formulation

PBS

Format

BSA Free

Preservative

0.1% Sodium Azide

Concentration

1.0 mg/ml

Shipping

The product is shipped with polar packs. Upon receipt, store it immediately at the temperature recommended below.

Stability & Storage

Keep as concentrated solution. Aliquot and store at -20C or below. Avoid multiple freeze-thaw cycles.

Background: CXCR1/IL-8RA

Interleukin-8 receptor A is a Chemokine Receptor also known as type 2 interleukin-8 receptor. There are three interleukin-8 receptors on chromosome 2: IL8RA, IL8RB (type 1), and a pseudogene. IL8RA is activated by interleukin-8, growth-regulated peptide (GRO), and neutrophil-activating peptide 2 (NAP-2). It is expressed in neutrophils and lymphocytes but not in eosinophils. IL8 receptor has been reported to be expressed in stomach, colon, blood, skin, bone marrow, synovium, heart, and ovary.

Long Name

Interleukin 8 Receptor A

Alternate Names

CD181, IL-8 RA, IL8RA

Gene Symbol

CXCR1

Additional CXCR1/IL-8RA Products

Product Documents for CXCR1/IL-8RA Antibody - BSA Free

Certificate of Analysis

To download a Certificate of Analysis, please enter a lot number in the search box below.

Product Specific Notices for CXCR1/IL-8RA Antibody - BSA Free

This product is for research use only and is not approved for use in humans or in clinical diagnosis. Primary Antibodies are guaranteed for 1 year from date of receipt.

Loading...
Loading...
Loading...
Loading...