Skip to main content

CTDSPL2 Antibody - BSA Free

Novus Biologicals, part of Bio-Techne | Catalog # NBP1-91814

Novus Biologicals, part of Bio-Techne
Catalog #
Availability
Size / Price
Qty
Loading...
NBP1-91814-25ul
NBP1-91814

Key Product Details

Species Reactivity

Validated:

Human, Rat

Predicted:

Mouse (94%). Backed by our 100% Guarantee.

Applications

Immunohistochemistry, Immunohistochemistry-Paraffin, Western Blot, Immunocytochemistry/ Immunofluorescence

Label

Unconjugated

Antibody Source

Polyclonal Rabbit IgG

Format

BSA Free

Concentration

Concentrations vary lot to lot. See vial label for concentration. If unlisted please contact technical services.

Product Specifications

Immunogen

This antibody was developed against Recombinant Protein corresponding to amino acids: RLRTRKASQQSNQIQTQRTARAKRKYSEVDDSLPSGGEKPSKNETGLLSSIKKFIKGSTPKEERENPSKRSRIERDIDNNLITSTPRAGEKPNKQISRV

Clonality

Polyclonal

Host

Rabbit

Isotype

IgG

Scientific Data Images for CTDSPL2 Antibody - BSA Free

Western Blot: CTDSPL2 Antibody [NBP1-91814]

Western Blot: CTDSPL2 Antibody [NBP1-91814]

Western Blot: CTDSPL2 Antibody [NBP1-91814] - Lane 1: NIH-3T3 cell lysate (Mouse embryonic fibroblast cells). Lane 2: NBT-II cell lysate (Rat Wistar bladder tumor cells).
Immunocytochemistry/ Immunofluorescence: CTDSPL2 Antibody [NBP1-91814]

Immunocytochemistry/ Immunofluorescence: CTDSPL2 Antibody [NBP1-91814]

Immunocytochemistry/Immunofluorescence: CTDSPL2 Antibody [NBP1-91814] - Staining of human cell line U-2 OS shows localization to nucleoplasm. Antibody staining is shown in green.
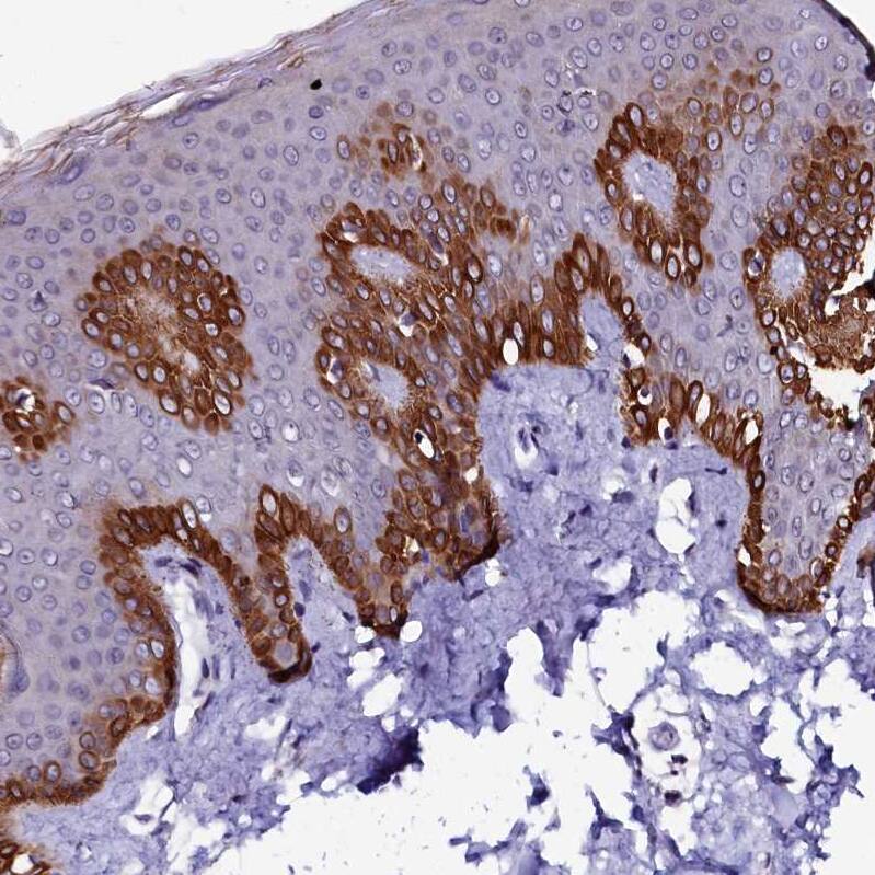
Immunohistochemistry-Paraffin: CTDSPL2 Antibody [NBP1-91814]

Immunohistochemistry-Paraffin: CTDSPL2 Antibody [NBP1-91814]

Immunohistochemistry-Paraffin: CTDSPL2 Antibody [NBP1-91814] - Staining of human esophagus shows strong cytoplasmic positivity in squamous epithelial cells.

Applications for CTDSPL2 Antibody - BSA Free

Application
Recommended Usage

Immunocytochemistry/ Immunofluorescence

0.25-2 ug/ml

Immunohistochemistry

1:200 - 1:500

Immunohistochemistry-Paraffin

1:200 - 1:500

Western Blot

0.04-0.4 ug/ml
Application Notes
For IHC-Paraffin, HIER pH 6 retrieval is recommended. ICC/IF Fixation Permeabilization: Use PFA/Triton X-100.

Formulation, Preparation, and Storage

Purification

Affinity purified

Formulation

PBS (pH 7.2) and 40% Glycerol

Format

BSA Free

Preservative

0.02% Sodium Azide

Concentration

Concentrations vary lot to lot. See vial label for concentration. If unlisted please contact technical services.

Shipping

The product is shipped with polar packs. Upon receipt, store it immediately at the temperature recommended below.

Stability & Storage

Store at 4C short term. Aliquot and store at -20C long term. Avoid freeze-thaw cycles.

Background: CTDSPL2

CTDSPL2, also known as CTD small phosphatase-like protein 2, is a 54kDa 466 amino acid protein with a shorter 45kDa 394 isoform. Current research on CTDSPL2 is being conducted in relation to sarcoma. The gene is linked to the RNA processing pathway where it interacts with UBC and ELAVL1.

Alternate Names

CTD (carboxy-terminal domain, RNA polymerase II, polypeptide A) smallphosphatase like 2, CTD small phosphatase-like protein 2, CTDSP-like 2, EC 3.1.3, EC 3.1.3.-, EC 3.1.3.16, FLJ10523, HSPC129

Gene Symbol

CTDSPL2

Additional CTDSPL2 Products

Product Documents for CTDSPL2 Antibody - BSA Free

Certificate of Analysis

To download a Certificate of Analysis, please enter a lot number in the search box below.

Product Specific Notices for CTDSPL2 Antibody - BSA Free

This product is for research use only and is not approved for use in humans or in clinical diagnosis. Primary Antibodies are guaranteed for 1 year from date of receipt.

Loading...
Loading...
Loading...
Loading...