Skip to main content

CROP Antibody - BSA Free

Novus Biologicals, part of Bio-Techne | Catalog # NBP3-41332

Novus Biologicals, part of Bio-Techne
Catalog #
Availability
Size / Price
Qty
Loading...
NBP3-41332

Key Product Details

Species Reactivity

Human, Mouse, Rat, Porcine

Applications

Immunohistochemistry, Immunohistochemistry-Paraffin, Western Blot

Label

Unconjugated

Antibody Source

Polyclonal Rabbit

Format

BSA Free

Concentration

0.5 mg/ml

Product Specifications

Immunogen

Immunized with recombinant Human CROP (Uniprot#: O95232; Met1-Leu247 (Uniprot#: O95232)

Clonality

Polyclonal

Host

Rabbit

Description

Novus Biologicals Rabbit CROP Antibody - BSA Free (NBP3-41332) is a polyclonal antibody validated for use in IHC and WB. All Novus Biologicals antibodies are covered by our 100% guarantee.

Scientific Data Images for CROP Antibody - BSA Free

CROP Antibody

Western Blot: CROP Antibody [NBP3-41332] -

Western Blot: CROP Antibody [NBP3-41332] - Sample: Recombinant protein.
CROP Antibody

Western Blot: CROP Antibody [NBP3-41332] -

Western Blot: CROP Antibody [NBP3-41332] - Sample: Mouse Cerebrum lysate; Primary Ab: 1ug/ml NBP3-41332; Second Ab: 0.2ug/mL HRP-Linked Caprine Anti-Rabbit IgG Polyclonal Antibody
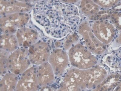
CROP Antibody

Immunohistochemistry-Paraffin: CROP Antibody [NBP3-41332] -

Immunohistochemistry-Paraffin: CROP Antibody [NBP3-41332] - DAB staining on IHC-P; Samples: Human Kidney Tissue; Primary Ab: 20ug/ml NBP3-41332

Applications for CROP Antibody - BSA Free

Application
Recommended Usage

Immunohistochemistry

5-20ug/mL

Immunohistochemistry-Paraffin

5-20ug/mL

Western Blot

0.5-2ug/mL

Formulation, Preparation, and Storage

Purification

Antigen and protein A Affinity-purified

Formulation

PBS, pH7.4, 50% glycerol

Format

BSA Free

Preservative

0.02% Sodium Azide

Concentration

0.5 mg/ml

Shipping

The product is shipped with polar packs. Upon receipt, store it immediately at the temperature recommended below.

Stability & Storage

Store at 4C short term. Aliquot and store at -20C long term. Avoid freeze-thaw cycles.

Background: CROP

Alternate Names

cAMP regulatory element-associated protein 1, cisplatin resistance associated overexpressed protein, cisplatin resistance-associated overexpressed protein, Cisplatin resistance-associated-overexpressed protein, CREAP1, CREAP-1LUC7ACRA, CRE-associated protein 1, CROPFLJ11063, hLuc7A, Luc7A, LUC7-like 3 (S. cerevisiae), luc7-like protein 3, O48, OA48-18, Okadaic acid-inducible phosphoprotein OA48-18

Gene Symbol

LUC7L3

Additional CROP Products

Product Documents for CROP Antibody - BSA Free

Certificate of Analysis

To download a Certificate of Analysis, please enter a lot number in the search box below.

Product Specific Notices for CROP Antibody - BSA Free

This product is for research use only and is not approved for use in humans or in clinical diagnosis. Primary Antibodies are guaranteed for 1 year from date of receipt.

Loading...
Loading...
Loading...
Loading...