Skip to main content

Crk Antibody (3G11E8)

Novus Biologicals, part of Bio-Techne | Catalog # NBP2-37568

Novus Biologicals, part of Bio-Techne
Catalog #
Availability
Size / Price
Qty
Loading...
NBP2-37568
NBP2-37568-0.025ml

Key Product Details

Species Reactivity

Human

Applications

ELISA, Flow Cytometry, Immunocytochemistry/ Immunofluorescence, Immunohistochemistry, Immunohistochemistry-Paraffin, Western Blot

Label

Unconjugated

Antibody Source

Monoclonal Mouse IgG2B Clone # 3G11E8

Concentration

This product is unpurified. The exact concentration of antibody is not quantifiable.

Product Specifications

Immunogen

Purified recombinant fragment of human Crk expressed in E. Coli.

Clonality

Monoclonal

Host

Mouse

Isotype

IgG2B

Theoretical MW

42 kDa.
Disclaimer note: The observed molecular weight of the protein may vary from the listed predicted molecular weight due to post translational modifications, post translation cleavages, relative charges, and other experimental factors.

Description

Novus Biologicals Mouse Crk Antibody (3G11E8) (NBP2-37568) is a monoclonal antibody validated for use in IHC, WB, ELISA, Flow and ICC/IF. All Novus Biologicals antibodies are covered by our 100% guarantee.

Scientific Data Images for Crk Antibody (3G11E8)

Western Blot: Crk Antibody (3G11E8)BSA Free [NBP2-37568]

Western Blot: Crk Antibody (3G11E8)BSA Free [NBP2-37568]

Western Blot: Crk Antibody (3G11E8) [NBP2-37568] - Western blot analysis using CRK mAb against HEK293 (1) and CRK(AA: 1-204)-hIgGFc transfected HEK293 (2) cell lysate.
Immunocytochemistry/ Immunofluorescence: Crk Antibody (3G11E8) - BSA Free [NBP2-37568]

Immunocytochemistry/ Immunofluorescence: Crk Antibody (3G11E8) - BSA Free [NBP2-37568]

Immunocytochemistry/Immunofluorescence: Crk Antibody (3G11E8) [NBP2-37568] - Immunofluorescence analysis of 3T3-L1 cells using CRK mouse mAb (green). Blue: DRAQ5 fluorescent DNA dye. Red: Actin filaments have been labeled with Alexa Fluor-555 phalloidin.
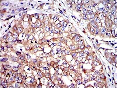
Immunohistochemistry: Crk Antibody (3G11E8) - BSA Free [NBP2-37568]

Immunohistochemistry: Crk Antibody (3G11E8) - BSA Free [NBP2-37568]

Immunohistochemistry: Crk Antibody (3G11E8) [NBP2-37568] - Immunohistochemical analysis of paraffin-embedded lung cancer tissues using CRK mouse mAb with DAB staining.

Applications for Crk Antibody (3G11E8)

Application
Recommended Usage

ELISA

1:10000

Flow Cytometry

1:200 - 1:400

Immunocytochemistry/ Immunofluorescence

1:200 - 1:1000

Immunohistochemistry

1:200 - 1:1000

Immunohistochemistry-Paraffin

1:200 - 1:1000

Western Blot

1:500 - 1:2000

Formulation, Preparation, and Storage

Purification

Unpurified

Formulation

Ascites

Preservative

0.03% Sodium Azide

Concentration

This product is unpurified. The exact concentration of antibody is not quantifiable.

Shipping

The product is shipped with polar packs. Upon receipt, store it immediately at the temperature recommended below.

Stability & Storage

Store at 4C short term. Aliquot and store at -20C long term. Avoid freeze-thaw cycles.

Background: Crk

Crk belongs to a family of adaptor molecules, which link extracellular growth and differentiation stimuli with formation of signal transduction protein complexes. Crk is mainly composed of Src homology 2 (SH2) and Src homology 3 (SH3) domains, which serve as docking sites for signalling proteins, including various receptors, cytoplasmic kinases, and GTPase regulators. These signal transduction pathways lead to modulation of cell adhesion, cell migration and immune cell responses.

Long Name

V-Crk Sarcoma Virus CT10 Oncogene Homolog

Alternate Names

adapter molecule crk, avian sarcoma virus CT10 (v-crk) oncogene homolog, CRKII, p38, Proto-oncogene c-Crk, v-crk avian sarcoma virus CT10 oncogene homolog, v-crk sarcoma virus CT10 oncogene homolog (avian)

Gene Symbol

CRK

Additional Crk Products

Product Documents for Crk Antibody (3G11E8)

Certificate of Analysis

To download a Certificate of Analysis, please enter a lot number in the search box below.

Product Specific Notices for Crk Antibody (3G11E8)

This product is for research use only and is not approved for use in humans or in clinical diagnosis. Primary Antibodies are guaranteed for 1 year from date of receipt.

Loading...
Loading...
Loading...
Loading...
Loading...