CRALBP Antibody (OTI1G6) - Azide and BSA Free
Novus Biologicals, part of Bio-Techne | Catalog # NBP2-71275
Conjugate
Catalog #
Key Product Details
Species Reactivity
Human, Mouse, Rat
Applications
Immunohistochemistry, Immunohistochemistry-Paraffin, Western Blot, Flow Cytometry, CyTOF-ready
Label
Unconjugated
Antibody Source
Monoclonal Mouse IgG2A Clone # OTI1G6
Format
Azide and BSA Free
Concentration
LYOPH mg/ml
Product Specifications
Immunogen
Full length human recombinant protein of human RLBP1(NP_000317) produced in HEK293T cell.
Reactivity Notes
Please note that this antibody is reactive to Mouse and derived from the same host, Mouse. Mouse-On-Mouse blocking reagent may be needed for IHC and ICC experiments to reduce high background signal. You can find these reagents under catalog numbers PK-2200-NB and MP-2400-NB. Please contact Technical Support if you have any questions.
Clonality
Monoclonal
Host
Mouse
Isotype
IgG2A
Theoretical MW
36.3 kDa.
Disclaimer note: The observed molecular weight of the protein may vary from the listed predicted molecular weight due to post translational modifications, post translation cleavages, relative charges, and other experimental factors.
Disclaimer note: The observed molecular weight of the protein may vary from the listed predicted molecular weight due to post translational modifications, post translation cleavages, relative charges, and other experimental factors.
Scientific Data Images for CRALBP Antibody (OTI1G6) - Azide and BSA Free
Western Blot: CRALBP Antibody (OTI1G6)Azide and BSA Free [NBP2-71275]
Western Blot: CRALBP Antibody (OTI1G6) - Azide and BSA Free [NBP2-71275] - HEK293T cells were transfected with the pCMV6-ENTRY control (Left lane) or pCMV6-ENTRY CRALBP (Right lane) cDNA for 48 hrs and lysed. Equivalent amounts of cell lysates (5 ug per lane) were separated by SDS-PAGE and immunoblotted with anti-CRALBP.Immunohistochemistry: CRALBP Antibody (OTI1G6) - Azide and BSA Free [NBP2-71275]
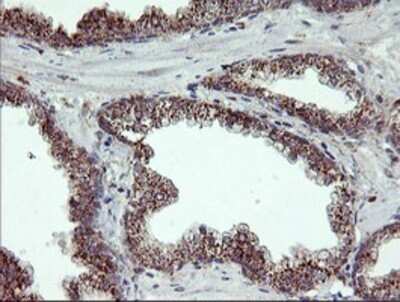
Immunohistochemistry: CRALBP Antibody (OTI1G6) - Azide and BSA Free [NBP2-71275] - Staining of paraffin-embedded Carcinoma of Human prostate tissue using anti-CRALBP mouse monoclonal antibody.Flow Cytometry: CRALBP Antibody (OTI1G6) - Azide and BSA Free [NBP2-71275]
Flow Cytometry: CRALBP Antibody (OTI1G6) - Azide and BSA Free [NBP2-71275] - HEK293T cells transfected with either overexpression plasmid (Red) or empty vector control plasmid (Blue) were immunostaining by anti-CRALBP antibody, and then analyzed by flow cytometry.Applications for CRALBP Antibody (OTI1G6) - Azide and BSA Free
Application
Recommended Usage
Flow Cytometry
1:100
Immunohistochemistry
1:150
Western Blot
1:2000
Formulation, Preparation, and Storage
Purification
Immunogen affinity purified
Reconstitution
we recommend adding 100uL distilled water to a final antibody concentration of about 1 mg/mL. To use this carrier-free antibody for conjugation experiment, we strongly recommend performing another round of desalting process.
Formulation
Lyophilized from PBS (pH 7.3) with 8% Trehalose
Format
Azide and BSA Free
Preservative
No Preservative
Concentration
LYOPH mg/ml
Shipping
The product is shipped with polar packs. Upon receipt, store it immediately at the temperature recommended below.
Stability & Storage
Store at -20C. Avoid freeze-thaw cycles.
Background: CRALBP
Alternate Names
Cellular retinaldehyde-binding protein, cellular retinaldehyde-binding protein-1, CRALBPretinaldehyde-binding protein 1, MGC3663, retinaldehyde binding protein 1
Gene Symbol
RLBP1
Additional CRALBP Products
Product Documents for CRALBP Antibody (OTI1G6) - Azide and BSA Free
Product Specific Notices for CRALBP Antibody (OTI1G6) - Azide and BSA Free
This product is for research use only and is not approved for use in humans or in clinical diagnosis. Primary Antibodies are guaranteed for 1 year from date of receipt.
Loading...
Loading...
Loading...
Loading...
Loading...
Loading...