Skip to main content

CPR8 Antibody - BSA Free

Novus Biologicals, part of Bio-Techne | Catalog # NBP1-87954

Novus Biologicals, part of Bio-Techne
Catalog #
Availability
Size / Price
Qty
Loading...
NBP1-87954-25ul
NBP1-87954

Key Product Details

Species Reactivity

Validated:

Human

Cited:

Human

Applications

Validated:

Immunohistochemistry, Immunohistochemistry-Paraffin

Cited:

IF/IHC

Label

Unconjugated

Antibody Source

Polyclonal Rabbit IgG

Format

BSA Free

Concentration

Concentrations vary lot to lot. See vial label for concentration. If unlisted please contact technical services.

Product Specifications

Immunogen

This antibody was developed against Recombinant Protein corresponding to amino acids: DELNDMKDYLSQCQQEQESFIDYKSLKENLARCWTLTEAEKMSFETQKTNLATENQYLRVSLEKEEKALSSLQEELNKLREQIRILEDKGTSTELVKENQKLKQHLEEEKQKKHSFLSQRETLL

Reactivity Notes

Human reactivity reported in scientific literature (PMID: 24708576).

Clonality

Polyclonal

Host

Rabbit

Isotype

IgG

Description

Novus Biologicals Rabbit CPR8 Antibody - BSA Free (NBP1-87954) is a polyclonal antibody validated for use in IHC. Anti-CPR8 Antibody: Cited in 2 publications. All Novus Biologicals antibodies are covered by our 100% guarantee.

Scientific Data Images for CPR8 Antibody - BSA Free

Immunohistochemistry-Paraffin: CPR8 Antibody [NBP1-87954]

Immunohistochemistry-Paraffin: CPR8 Antibody [NBP1-87954]

Immunohistochemistry-Paraffin: CPR8 Antibody [NBP1-87954] - Staining of human cortex shows moderate cytoplasmic positivity in neurons.
Immunohistochemistry-Paraffin: CPR8 Antibody [NBP1-87954]

Immunohistochemistry-Paraffin: CPR8 Antibody [NBP1-87954]

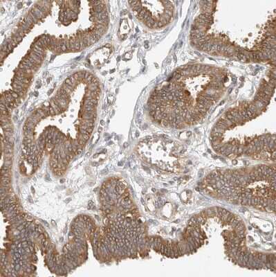
Immunohistochemistry-Paraffin: CPR8 Antibody [NBP1-87954] - Staining of human small intestine shows strong cytoplasmic positivity in glandular cells.
Immunohistochemistry-Paraffin: CPR8 Antibody [NBP1-87954]

Immunohistochemistry-Paraffin: CPR8 Antibody [NBP1-87954]

Immunohistochemistry-Paraffin: CPR8 Antibody [NBP1-87954] - Staining of human kidney shows strong cytoplasmic positivity in cells in tubules.

Applications for CPR8 Antibody - BSA Free

Application
Recommended Usage

Immunohistochemistry

1:50 - 1:200

Immunohistochemistry-Paraffin

1:50 - 1:200
Application Notes
IHC reported in scientific literature (PMID: 26230923). For IHC-Paraffin, HIER pH 6 retrieval is recommended.

Formulation, Preparation, and Storage

Purification

Affinity purified

Formulation

PBS (pH 7.2) and 40% Glycerol

Format

BSA Free

Preservative

0.02% Sodium Azide

Concentration

Concentrations vary lot to lot. See vial label for concentration. If unlisted please contact technical services.

Shipping

The product is shipped with polar packs. Upon receipt, store it immediately at the temperature recommended below.

Stability & Storage

Store at 4C short term. Aliquot and store at -20C long term. Avoid freeze-thaw cycles.

Background: CPR8

Alternate Names

CCP8, cell cycle progression 1, cell cycle progression protein 1, cell cycle progression restoration protein 8, CPR8, FLJ60574, KIAA1254

Gene Symbol

CCPG1

Additional CPR8 Products

Product Documents for CPR8 Antibody - BSA Free

Certificate of Analysis

To download a Certificate of Analysis, please enter a lot number in the search box below.

Product Specific Notices for CPR8 Antibody - BSA Free

This product is for research use only and is not approved for use in humans or in clinical diagnosis. Primary Antibodies are guaranteed for 1 year from date of receipt.

Loading...
Loading...
Loading...
Loading...