Skip to main content

COX4 Antibody (CL3515) - Azide and BSA Free

Novus Biologicals, part of Bio-Techne | Catalog # NBP3-43847

Novus Biologicals, part of Bio-Techne

Key Product Details

Species Reactivity

Human

Applications

Immunohistochemistry-Paraffin, Western Blot, Immunocytochemistry/ Immunofluorescence

Label

Unconjugated

Antibody Source

Monoclonal Mouse IgG1 Clone # CL3515

Format

Azide and BSA Free

Concentration

LYOPH mg/ml

Product Specifications

Immunogen

This antibody was generated using a recombinant protein sequence of P13073, with the exact immunogen sequence remaining proprietary.

Clonality

Monoclonal

Host

Mouse

Isotype

IgG1

Description

Novus Biologicals Mouse COX4 Antibody (CL3515) - Azide and BSA Free (NBP2-61620) is a monoclonal antibody validated for use in IHC, WB and ICC/IF. All Novus Biologicals antibodies are covered by our 100% guarantee.

Scientific Data Images for COX4 Antibody (CL3515) - Azide and BSA Free

COX4 Antibody (CL3515) - Azide and BSA Free Western Blot: COX4 Antibody [NBP3-43847]

Western Blot: COX4 Antibody [NBP3-43847]

Lane 1: Marker [kDa] 250, 130, 100, 70, 55, 35, 25, 15, 10
Lane 2: Human cell line HeLa
Lane 3: Human cell line HEK 293
Lane 4: Human cell line A-431
Lane 5: Human cell line HepG2
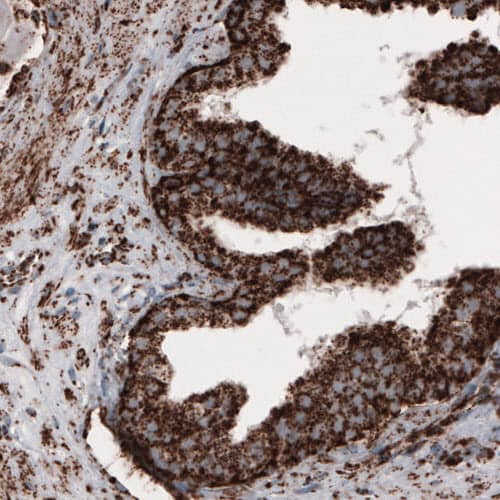
COX4 Antibody (CL3515) - Azide and BSA Free Immunohistochemistry-Paraffin: COX4 Antibody [NBP3-43847]

Immunohistochemistry-Paraffin: COX4 Antibody [NBP3-43847]

Staining of human fallopian tube shows strong cytoplasmic immunoreactivity in epithelial cells.
COX4 Antibody (CL3515) - Azide and BSA Free Immunohistochemistry-Paraffin: COX4 Antibody [NBP3-43847]

Immunohistochemistry-Paraffin: COX4 Antibody [NBP3-43847]

Staining of human placenta shows strong cytoplasmic immunoreactivity in trophoblasts.

Applications for COX4 Antibody (CL3515) - Azide and BSA Free

Application
Recommended Usage

Immunocytochemistry/ Immunofluorescence

2-10 ug/ml

Immunohistochemistry-Paraffin

1:5000 - 1:10000

Western Blot

1 ug/ml
Application Notes
For IHC-Paraffin, HIER pH 6 retrieval is recommended. For Immunocytochemistry/ Immunofluorescence/IF, PFA/Triton X-100 is recommended for fixation/permeabilization.

Formulation, Preparation, and Storage

Purification

Protein A purified

Reconstitution

Centrifuge the vial of lyophilized antibody at 12,000 x g for 20 seconds. Reconstitute by adding sterile, distilled water to achieve a final antibody concentration of 1mg/ml.

Formulation

Lyophilized from a 0.2 um filtered solution in PBS with Trehalose

Format

Azide and BSA Free

Preservative

No Preservative

Concentration

LYOPH mg/ml

Shipping

The product is shipped at ambient temperature. Upon receipt, store it immediately at the temperature recommended below.

Stability & Storage

Store at 4C short term. Aliquot and store at -20C long term. Avoid freeze-thaw cycles.

Background: COX4

COX IV (cytochrome c oxidase subunit IV isoform 1) plays a pivotal role in respiratory function and assembly of the enzyme complex. This protein is known to have interactions with MT-CO2, MCL1, TMBIM4, MT-CO1 and TH1L. COX IV has been studied in relation to anemia, Huntington's disease, Alzheimer's disease, neuronitis, pancreatitis and several other diseases and disorders.

Long Name

Cytochrome c Oxidase Subunit IV

Alternate Names

COX4I2

Gene Symbol

COX4I1

Additional COX4 Products

Product Documents for COX4 Antibody (CL3515) - Azide and BSA Free

Certificate of Analysis

To download a Certificate of Analysis, please enter a lot number in the search box below.

Product Specific Notices for COX4 Antibody (CL3515) - Azide and BSA Free

This product is for research use only and is not approved for use in humans or in clinical diagnosis. Primary Antibodies are guaranteed for 1 year from date of receipt.

Loading...
Loading...
Loading...
Loading...
Loading...