Skip to main content

COX3 Antibody - BSA Free

Novus Biologicals, part of Bio-Techne | Catalog # NBP2-97594

Novus Biologicals, part of Bio-Techne

Key Product Details

Species Reactivity

Human

Applications

Immunocytochemistry/ Immunofluorescence, Immunohistochemistry-Paraffin

Label

Unconjugated

Antibody Source

Polyclonal Rabbit IgG

Format

BSA Free

Concentration

Please see the vial label for concentration. If unlisted please contact technical services.

Product Specifications

Immunogen

Produced in rabbits immunized with E. coli-derived Human COX3 fragment.

Clonality

Polyclonal

Host

Rabbit

Isotype

IgG

Description

This antibody can be stored at 2C to 8C for one month without detectable loss of activity. Antibody products are stable for twelve months from date of receipt when stored at -20C to -80C. Avoid repeated freeze-thaw cycles.

Scientific Data Images for COX3 Antibody - BSA Free

Immunohistochemistry-Paraffin: COX3 Antibody [NBP2-97594]

Immunohistochemistry-Paraffin: COX3 Antibody [NBP2-97594]

Immunohistochemistry-Paraffin: COX3 Antibody [NBP2-97594] - staining of human COX3 in human skin with rabbit polyclonal antibody at 1:200 dilution.
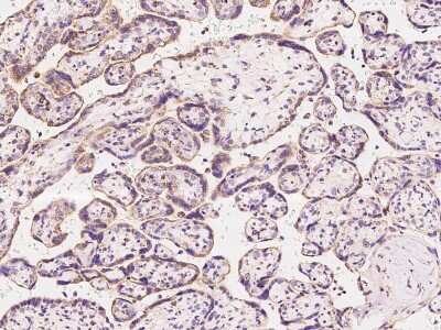
Immunohistochemistry-Paraffin: COX3 Antibody [NBP2-97594]

Immunohistochemistry-Paraffin: COX3 Antibody [NBP2-97594]

Immunohistochemistry-Paraffin: COX3 Antibody [NBP2-97594] - Staining of human COX3 in human placenta with rabbit polyclonal antibody at 1:200 dilution.
COX3 Antibody - BSA Free

Immunocytochemistry/Immunofluorescence: COX3 Antibody [NBP2-97594] -

Immunocytochemistry/Immunofluorescence: COX3 Antibody [NBP2-97594] - Immunofluorescence staining of COX3 in U2OS cells. Cells were fixed with 4% PFA, permeabilzed with 0.1% Triton X-100 in PBS, blocked with 10% serum, and incubated with NBP2-97594 antibody (dilution ratio 1:200) at 4C overnight. Then cells were stained with the Alexa Fluor(R)488-conjugated Goat Anti-rabbit IgG Secondary antibody (green) and counterstained with DAPI (blue).Positive staining was localized to Cytoplasm.

Applications for COX3 Antibody - BSA Free

Application
Recommended Usage

Immunocytochemistry/ Immunofluorescence

1:100-1:500

Immunohistochemistry-Paraffin

1:100-1:400

Formulation, Preparation, and Storage

Purification

Antigen and protein A Affinity-purified

Formulation

PBS

Format

BSA Free

Preservative

0.03% Proclin 300

Concentration

Please see the vial label for concentration. If unlisted please contact technical services.

Shipping

The product is shipped with polar packs. Upon receipt, store it immediately at the temperature recommended below.

Stability & Storage

Store at 4C short term. Aliquot and store at -20C long term. Avoid freeze-thaw cycles.

Background: COX3

Alternate Names

COIII, COX3, MTCO3, MT-CO3, MT-CO3 mitochondrially encoded cytochrome c oxidase III

Gene Symbol

COX3

Additional COX3 Products

Product Documents for COX3 Antibody - BSA Free

Certificate of Analysis

To download a Certificate of Analysis, please enter a lot number in the search box below.

Product Specific Notices for COX3 Antibody - BSA Free

This product is for research use only and is not approved for use in humans or in clinical diagnosis. Primary Antibodies are guaranteed for 1 year from date of receipt.

Loading...
Loading...
Loading...
Loading...