COP9 Antibody (7V1L8)
Novus Biologicals, part of Bio-Techne | Catalog # NBP3-15791
Recombinant Monoclonal Antibody
Key Product Details
Species Reactivity
Human, Mouse, Rat
Applications
Immunohistochemistry, Immunohistochemistry-Paraffin, Western Blot
Label
Unconjugated
Antibody Source
Recombinant Monoclonal Rabbit IgG Clone # 7V1L8 expressed in HEK293
Concentration
Please see the vial label for concentration. If unlisted please contact technical services.
Product Specifications
Immunogen
Recombinant fusion protein containing a sequence corresponding to amino acids 320-423 of human COP9 (Q9UNS2). QDMASRVQLSGPQEAEKYVLHMIEDGEIFASINQKDGMVSFHDNPEKYNNPAMLHNIDQEMLKCIELDERLKAMDQEITVNPQFVQKSMGSQEDDSGNKPSSYS
Clonality
Monoclonal
Host
Rabbit
Isotype
IgG
Theoretical MW
48 kDa.
Disclaimer note: The observed molecular weight of the protein may vary from the listed predicted molecular weight due to post translational modifications, post translation cleavages, relative charges, and other experimental factors.
Disclaimer note: The observed molecular weight of the protein may vary from the listed predicted molecular weight due to post translational modifications, post translation cleavages, relative charges, and other experimental factors.
Description
Novus Biologicals Rabbit COP9 Antibody (7V1L8) (NBP3-15791) is a recombinant monoclonal antibody validated for use in IHC and WB. All Novus Biologicals antibodies are covered by our 100% guarantee.
Scientific Data Images for COP9 Antibody (7V1L8)
Western Blot: COP9 Antibody (7V1L8) [NBP3-15791]
Western Blot: COP9 Antibody (7V1L8) [NBP3-15791] - Western blot analysis of extracts of various cell lines, using COP9 Rabbit mAb (NBP3-15791) at 1:1000 dilution. Secondary antibody: HRP Goat Anti-Rabbit IgG (H+L) at 1:10000 dilution. Lysates/proteins: 25ug per lane. Blocking buffer: 3% nonfat dry milk in TBST. Detection: ECL Basic Kit. Exposure time: 1s.Immunohistochemistry: COP9 Antibody (7V1L8) [COP9] -
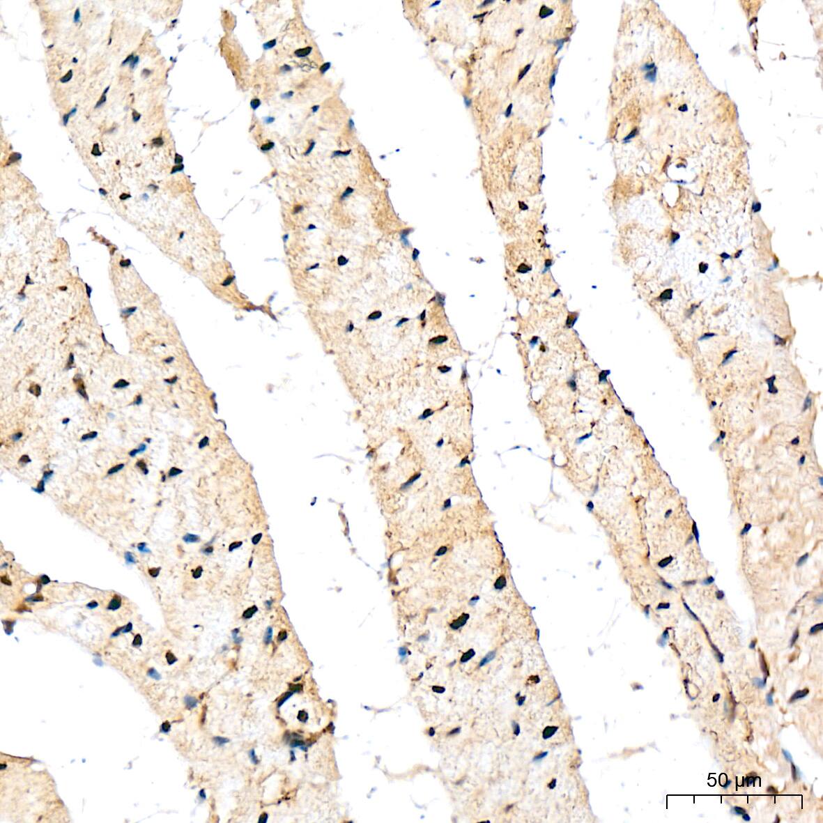
Immunohistochemistry: COP9 Antibody (7V1L8) [COP9] - Immunohistochemistry analysis of paraffin-embedded Mouse brain tissue using COP9 Rabbit mAb at a dilution of 1:200 (40x lens). High pressure antigen retrieval was performed with 0.01 M citrate buffer (pH 6.0) prior to IHC staining.Immunohistochemistry: COP9 Antibody (7V1L8) [COP9] -
Immunohistochemistry: COP9 Antibody (7V1L8) [COP9] - Immunohistochemistry analysis of paraffin-embedded Human lung cancer tissue using COP9 Rabbit mAb at a dilution of 1:200 (40x lens). High pressure antigen retrieval was performed with 0.01 M citrate buffer (pH 6.0) prior to IHC staining.Applications for COP9 Antibody (7V1L8)
Application
Recommended Usage
Immunohistochemistry
1:50 - 1:200
Western Blot
1:500 - 1:2000
Formulation, Preparation, and Storage
Purification
Affinity purified
Formulation
PBS (pH 7.3), 50% glycerol, 0.05% BSA
Preservative
0.02% Sodium Azide
Concentration
Please see the vial label for concentration. If unlisted please contact technical services.
Shipping
The product is shipped with polar packs. Upon receipt, store it immediately at the temperature recommended below.
Stability & Storage
Store at -20C. Avoid freeze-thaw cycles.
Background: COP9
Alternate Names
COP9 constitutive photomorphogenic homolog subunit 3 (Arabidopsis), COP9 signalosome complex subunit 3, CSN3COP9 complex subunit 3, JAB1-containing signalosome subunit 3, SGN3COP9 (constitutive photomorphogenic, Arabidopsis, homolog) subunit 3, Signalosome subunit 3
Gene Symbol
COPS3
Additional COP9 Products
Product Documents for COP9 Antibody (7V1L8)
Product Specific Notices for COP9 Antibody (7V1L8)
This product is for research use only and is not approved for use in humans or in clinical diagnosis. Primary Antibodies are guaranteed for 1 year from date of receipt.
Loading...
Loading...
Loading...
Loading...