Skip to main content

COP9 Antibody (3F9) - BSA Free

Novus Biologicals, part of Bio-Techne | Catalog # NBP3-26645

Recombinant monoclonal antibody expressed in HEK293F cells
Novus Biologicals, part of Bio-Techne
Catalog #
Availability
Size / Price
Qty
Loading...
NBP3-26645-100ul
NBP3-26645-50ul

Key Product Details

Species Reactivity

Human

Applications

ELISA, Flow Cytometry, Immunocytochemistry/ Immunofluorescence, Immunohistochemistry, Western Blot

Label

Unconjugated

Antibody Source

Recombinant Monoclonal Rabbit IgG Clone # 3F9 expressed in HEK293

Format

BSA Free

Concentration

Please see the vial label for concentration. If unlisted please contact technical services.

Product Specifications

Immunogen

A synthesized peptide derived from Human COP9 [UniProt Q9UNS2]

Clonality

Monoclonal

Host

Rabbit

Isotype

IgG

Description

Novus Biologicals Rabbit COP9 Antibody (3F9) - BSA Free (NBP3-26645) is a recombinant monoclonal antibody validated for use in IHC, WB, ELISA, Flow and ICC/IF. All Novus Biologicals antibodies are covered by our 100% guarantee.

Scientific Data Images for COP9 Antibody (3F9) - BSA Free

COP9 Antibody (3F9)

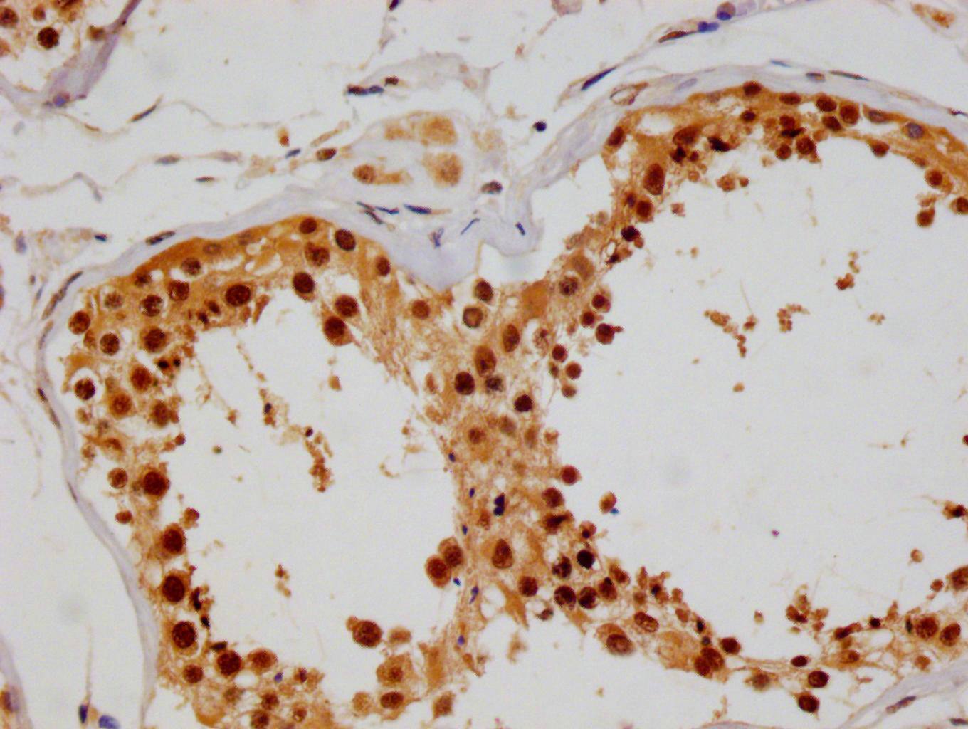
Immunohistochemistry: COP9 Antibody (3F9) [NBP3-26645] -

Immunohistochemistry: COP9 Antibody (3F9) [NBP3-26645] - Image of COP9 Antibody (3F9) diluted at 1:100 and staining in paraffin-embedded human testis tissue performed. After dewaxing and hydration, antigen retrieval was mediated by high pressure in a citrate buffer (pH 6.0). Section was blocked with 10% normal goat serum 30min at RT. Then primary antibody (1% BSA) was incubated at 4°C overnight. The primary is detected by a Goat anti-rabbit polymer IgG labeled by HRP and visualized using 0.05% DAB.
COP9 Antibody (3F9)

Immunohistochemistry: COP9 Antibody (3F9) [NBP3-26645] -

Immunohistochemistry: COP9 Antibody (3F9) [NBP3-26645] - Image of COP9 Antibody (3F9) diluted at 1:100 and staining in paraffin-embedded human testis tissue performed. After dewaxing and hydration, antigen retrieval was mediated by high pressure in a citrate buffer (pH 6.0). Section was blocked with 10% normal goat serum 30min at RT. Then primary antibody (1% BSA) was incubated at 4C overnight. The primary is detected by a Goat anti-rabbit polymer IgG labeled by HRP and visualized using 0.05% DAB.
COP9 Antibody (3F9)

Western Blot: COP9 Antibody (3F9) [NBP3-26645] -

Western Blot: COP9 Antibody (3F9) [NBP3-26645] - Positive Western Blot detected in: U251 whole cell lysate, HEK293 whole cell lysate, MCF-7 whole cell lysate, A549 whole cell lysate, HL-60 whole cell lysate, K562 whole cell lysate, Jurkat whole cell lysate.
All lanes: COP9 Antibody at 1: 2000
Secondary: Goat polyclonal to rabbit IgG at 1/50000 dilution.
Predicted band size: 48, 46 kDa
Observed band size: 40-55 kDa

Applications for COP9 Antibody (3F9) - BSA Free

Application
Recommended Usage

Flow Cytometry

1:50-1:200

Immunocytochemistry/ Immunofluorescence

1:50-1:200

Immunohistochemistry

1:50-1:200

Western Blot

1:500-1:2000

Formulation, Preparation, and Storage

Purification

Affinity purified

Formulation

PBS, pH 7.4, 150mM NaCl, and 50% glycerol

Format

BSA Free

Preservative

0.02% Sodium Azide

Concentration

Please see the vial label for concentration. If unlisted please contact technical services.

Shipping

The product is shipped with polar packs. Upon receipt, store it immediately at the temperature recommended below.

Stability & Storage

Store at -20 to -70C. Avoid freeze-thaw cycles.

Background: COP9

COP9 is encoded by this gene possesses kinase activity that phosphorylates regulators involved in signal transduction. It phosphorylates I kappa-Balpha, p105, and c-Jun. It acts as a docking site for complex-mediated phosphorylation. The gene is located within the Smith-Magenis syndrome region on chromosome 17.

Alternate Names

COP9 constitutive photomorphogenic homolog subunit 3 (Arabidopsis), COP9 signalosome complex subunit 3, CSN3COP9 complex subunit 3, JAB1-containing signalosome subunit 3, SGN3COP9 (constitutive photomorphogenic, Arabidopsis, homolog) subunit 3, Signalosome subunit 3

Gene Symbol

COPS3

Additional COP9 Products

Product Documents for COP9 Antibody (3F9) - BSA Free

Certificate of Analysis

To download a Certificate of Analysis, please enter a lot number in the search box below.

Product Specific Notices for COP9 Antibody (3F9) - BSA Free

This product is for research use only and is not approved for use in humans or in clinical diagnosis. Primary Antibodies are guaranteed for 1 year from date of receipt.

Loading...
Loading...
Loading...
Loading...
Loading...