Contactin-5 Antibody - BSA Free
Novus Biologicals, part of Bio-Techne | Catalog # NBP1-83242
Key Product Details
Species Reactivity
Validated:
Human, Mouse
Cited:
Mouse
Applications
Immunohistochemistry, Immunohistochemistry-Paraffin, Western Blot, Immunocytochemistry/ Immunofluorescence
Label
Unconjugated
Antibody Source
Polyclonal Rabbit IgG
Format
BSA Free
Concentration
Concentrations vary lot to lot. See vial label for concentration. If unlisted please contact technical services.
Product Specifications
Immunogen
This antibody was developed against Recombinant Protein corresponding to amino acids: KSLPGLSTSYAALLRIKKSSSSSLFGSKTRPRYSSPSLGTLSASSPSWLGAAQNYYSPINLYHSSDAFKQDESVDYGPVFVQEPDDII
Reactivity Notes
Mouse reactivity reported in scientific literature (PMID: 28781169). Immunogen displays the following percentage of sequence identity for non-tested species: Rat (84%).
Clonality
Polyclonal
Host
Rabbit
Isotype
IgG
Scientific Data Images for Contactin-5 Antibody - BSA Free
Western Blot: Contactin-5 Antibody [NBP1-83242]
Western Blot: Contactin-5 Antibody [NBP1-83242] - Lane 1: Marker [kDa] 250, 130, 95, 72, 55, 36, 28, 17, 10. Lane 2: Human cell line RT-4. Lane 3: Human cell line U-251MG sp. Lane 4: Human plasma (IgG/HSA depleted)Immunocytochemistry/ Immunofluorescence: Contactin-5 Antibody [NBP1-83242]
Immunocytochemistry/Immunofluorescence: Contactin-5 Antibody [NBP1-83242] - Immunofluorescent staining of human cell line U-2 OS shows localization to cytosol.Contactin-5 Antibody [NBP1-83242] -
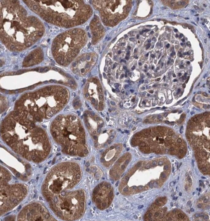
Staining of human kidney shows moderate to strong cytoplasmic positivity in cells in tubules.Applications for Contactin-5 Antibody - BSA Free
Application
Recommended Usage
Immunocytochemistry/ Immunofluorescence
0.25-2 ug/ml
Immunohistochemistry
1:50 - 1:200
Immunohistochemistry-Paraffin
1:50 - 1:200
Western Blot
0.04-0.4 ug/ml
Application Notes
IHC-Paraffin, HIER pH 6 retrieval is recommended. ICC/IF,Fixation Permeabilization: Use PFA/Triton X-100.
Formulation, Preparation, and Storage
Purification
Affinity purified
Formulation
PBS (pH 7.2) and 40% Glycerol
Format
BSA Free
Preservative
0.02% Sodium Azide
Concentration
Concentrations vary lot to lot. See vial label for concentration. If unlisted please contact technical services.
Shipping
The product is shipped with polar packs. Upon receipt, store it immediately at the temperature recommended below.
Stability & Storage
Store at 4C short term. Aliquot and store at -20C long term. Avoid freeze-thaw cycles.
Background: Contactin-5
Alternate Names
CNTN5, Contactin5, NB-2
Gene Symbol
CNTN5
Additional Contactin-5 Products
Product Documents for Contactin-5 Antibody - BSA Free
Product Specific Notices for Contactin-5 Antibody - BSA Free
This product is for research use only and is not approved for use in humans or in clinical diagnosis. Primary Antibodies are guaranteed for 1 year from date of receipt.
Loading...
Loading...
Loading...
Loading...