Skip to main content

Complement Factor H-related 5/CFHR5 Antibody (3A10A5) - BSA Free

Novus Biologicals, part of Bio-Techne | Catalog # NBP2-52441

Novus Biologicals, part of Bio-Techne
Catalog #
Availability
Size / Price
Qty
Loading...
NBP2-52441-0.025mg
NBP2-52441

Key Product Details

Species Reactivity

Human, Mouse

Applications

Immunohistochemistry, Immunohistochemistry-Paraffin, Western Blot, ELISA, Flow Cytometry, Immunocytochemistry/ Immunofluorescence, CyTOF-ready

Label

Unconjugated

Antibody Source

Monoclonal Mouse IgG2A Clone # 3A10A5

Format

BSA Free

Concentration

1 mg/ml

Product Specifications

Immunogen

Purified recombinant fragment of human Complement Factor H-related 5/CFHR5 (AA: 344-569) expressed in E. Coli.

Clonality

Monoclonal

Host

Mouse

Isotype

IgG2A

Theoretical MW

64.4 kDa.
Disclaimer note: The observed molecular weight of the protein may vary from the listed predicted molecular weight due to post translational modifications, post translation cleavages, relative charges, and other experimental factors.

Description

Novus Biologicals Mouse Complement Factor H-related 5/CFHR5 Antibody (3A10A5) - BSA Free (NBP2-52441) is a monoclonal antibody validated for use in IHC, WB, ELISA, Flow and ICC/IF. All Novus Biologicals antibodies are covered by our 100% guarantee.

Scientific Data Images for Complement Factor H-related 5/CFHR5 Antibody (3A10A5) - BSA Free

Western Blot: Complement Factor H-related 5/CFHR5 Antibody (3A10A5)BSA Free [NBP2-52441]

Western Blot: Complement Factor H-related 5/CFHR5 Antibody (3A10A5)BSA Free [NBP2-52441]

Western Blot: Complement Factor H-related 5/CFHR5 Antibody (3A10A5) [NBP2-52441] - Analysis using CFHR5 mAb against HEK293 (1) and CFHR5 (AA: 344-569)-hIgGFc transfected HEK293 (2) cell lysate.
Immunocytochemistry/ Immunofluorescence: Complement Factor H-related 5/CFHR5 Antibody (3A10A5) - BSA Free [NBP2-52441]

Immunocytochemistry/ Immunofluorescence: Complement Factor H-related 5/CFHR5 Antibody (3A10A5) - BSA Free [NBP2-52441]

Immunocytochemistry/Immunofluorescence: Complement Factor H-related 5/CFHR5 Antibody (3A10A5) [NBP2-52441] - Analysis of Hela cells using CFHR5 mouse mAb (green). Blue: DRAQ5 fluorescent DNA dye. Red: Actin filaments have been labeled with Alexa Fluor- 555 phalloidin.
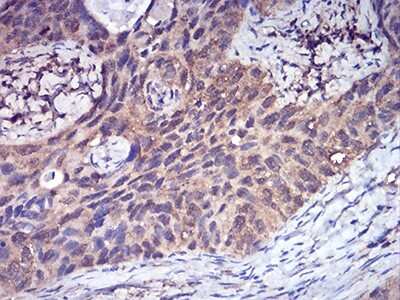
Immunohistochemistry: Complement Factor H-related 5/CFHR5 Antibody (3A10A5) - BSA Free [NBP2-52441]

Immunohistochemistry: Complement Factor H-related 5/CFHR5 Antibody (3A10A5) - BSA Free [NBP2-52441]

Immunohistochemistry: Complement Factor H-related 5/CFHR5 Antibody (3A10A5) [NBP2-52441] - Analysis of paraffin-embedded ovarian cancer tissues using CFHR5 mouse mAb with DAB staining.

Applications for Complement Factor H-related 5/CFHR5 Antibody (3A10A5) - BSA Free

Application
Recommended Usage

ELISA

1:10000

Flow Cytometry

1:200-1:400

Immunocytochemistry/ Immunofluorescence

1:200-1:1000

Immunohistochemistry

1:200-1:1000

Immunohistochemistry-Paraffin

1:200-1:1000

Western Blot

1:500-1:2000
Application Notes
This antibody is Cytof ready.

Formulation, Preparation, and Storage

Purification

Protein G purified

Formulation

PBS

Format

BSA Free

Preservative

0.05% Sodium Azide

Concentration

1 mg/ml

Shipping

The product is shipped with polar packs. Upon receipt, store it immediately at the temperature recommended below.

Stability & Storage

Store at 4C short term. Aliquot and store at -20C long term. Avoid freeze-thaw cycles.

Background: Complement Factor H-related 5/CFHR5

The human complement factor H protein family consists of the complement and immune regulators factor H, the factor H-like protein 1(FHL-1) and five factor H-related proteins (CFHR-1 to -5). Members of the H-related protein family are exclusively composed of individually folded protein domains, termed short consensus repeats (SCRs) or complement control modules. The genes of this family have been located in human chromosome 1q32, which is known as the regulators of complement activation (RCA) gene clusters.

Complement factor H-related protein 1 (CFHR1) is a 43 kDa, secreted member of the factor H family of glycoproteins. It is produced by hepatocytes and circulates as two differentially glycosylated isoforms (37 kDa and 43 kDa). Complement Factor H-related 2 (CFHR2) is synthesized in the liver and secreted into plasma. It may be involved in complement regulation. CFHR2 can also be associated with lipoproteins and may play a role in lipid metabolism.

CFHR-5 has been identified initially as a universal component of complement deposits, and detected in glomerular immune deposits. The pattern of deposits is similar to other complement components, suggesting that CFHR-5 may play a role in complement activation and regulation. It is synthesized in the liver and consists of 9 SCRs. CFHR-5 exhibits similar characteristics as those of factor H in heparin binding, CRP binding, and lipoprotein association. Weak factor I-dependent cofactor activity for C3b cleavage has also been observed.

Alternate Names

CFHL5, CFHR5, Complement Factor Hrelated 5, FHR5

Gene Symbol

CFHR5

Additional Complement Factor H-related 5/CFHR5 Products

Product Documents for Complement Factor H-related 5/CFHR5 Antibody (3A10A5) - BSA Free

Certificate of Analysis

To download a Certificate of Analysis, please enter a lot number in the search box below.

Product Specific Notices for Complement Factor H-related 5/CFHR5 Antibody (3A10A5) - BSA Free

This product is for research use only and is not approved for use in humans or in clinical diagnosis. Primary Antibodies are guaranteed for 1 year from date of receipt.

Loading...
Loading...
Loading...
Loading...
Loading...