Skip to main content

Complement Component C9 Antibody - BSA Free

Novus Biologicals, part of Bio-Techne | Catalog # NBP2-15952

Novus Biologicals, part of Bio-Techne
Catalog #
Availability
Size / Price
Qty
Loading...
NBP2-15952

Key Product Details

Validated by

Biological Validation

Species Reactivity

Validated:

Human, Mouse, Rat

Cited:

Human

Applications

Validated:

Immunohistochemistry, Western Blot, Immunocytochemistry/ Immunofluorescence

Cited:

Immunocytochemistry/ Immunofluorescence

Label

Unconjugated

Antibody Source

Polyclonal Rabbit IgG

Format

BSA Free

Concentration

Concentrations vary lot to lot. See vial label for concentration. If unlisted please contact technical services.

Product Specifications

Immunogen

Recombinant protein encompassing a sequence within the center region of human Complement Component C9. The exact sequence is proprietary.

Localization

Membrane; Multi-pass membrane protein; Secreted; Membrane; Secreted

Clonality

Polyclonal

Host

Rabbit

Isotype

IgG

Theoretical MW

63 kDa.
Disclaimer note: The observed molecular weight of the protein may vary from the listed predicted molecular weight due to post translational modifications, post translation cleavages, relative charges, and other experimental factors.

Scientific Data Images for Complement Component C9 Antibody - BSA Free

Immunohistochemistry: Complement Component C9 Antibody [NBP2-15952]

Immunohistochemistry: Complement Component C9 Antibody [NBP2-15952]

Complement-Component-C9-Antibody-Immunohistochemistry-NBP2-15952-img0010.jpg
Western Blot: Complement Component C9 Antibody [NBP2-15952]

Western Blot: Complement Component C9 Antibody [NBP2-15952]

Western Blot: Complement Component C9 Antibody [NBP2-15952] - Sample (30 ug of whole cell lysate) A: THP-1 7. 5% SDS PAGE gel, diluted at 1:500.
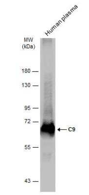
Western Blot: Complement Component C9 Antibody [NBP2-15952]

Western Blot: Complement Component C9 Antibody [NBP2-15952]

Western Blot: Complement Component C9 Antibody [NBP2-15952] - Human plasma (30 ug) was separated by 7.5% SDS-PAGE, and the membrane was blotted with C9 antibody [N2C2-2], Internal diluted at 1:500. The HRP-conjugated anti-rabbit IgG antibody (NBP2-19301) was used to detect the primary antibody.

Applications for Complement Component C9 Antibody - BSA Free

Application
Recommended Usage

Immunocytochemistry/ Immunofluorescence

1:100-1:1000

Western Blot

1:500-1:3000

Formulation, Preparation, and Storage

Purification

Antigen Affinity-purified

Formulation

PBS, 20% Glycerol

Format

BSA Free

Preservative

0.025% Proclin 300

Concentration

Concentrations vary lot to lot. See vial label for concentration. If unlisted please contact technical services.

Shipping

The product is shipped with polar packs. Upon receipt, store it immediately at the temperature recommended below.

Stability & Storage

Aliquot and store at -20C or -80C. Avoid freeze-thaw cycles.

Background: Complement Component C9

This gene encodes the final component of the complement system. It participates in the formation of the Membrane Attack Complex (MAC). The MAC assembles on bacterial membranes to form a pore, permitting disruption of bacterial membrane organization. Mutations in this gene cause component C9 deficiency. [provided by RefSeq]

Alternate Names

complement component 9, complement component C9

Gene Symbol

C9

UniProt

Additional Complement Component C9 Products

Product Documents for Complement Component C9 Antibody - BSA Free

Certificate of Analysis

To download a Certificate of Analysis, please enter a lot number in the search box below.

Product Specific Notices for Complement Component C9 Antibody - BSA Free

This product is for research use only and is not approved for use in humans or in clinical diagnosis. Primary Antibodies are guaranteed for 1 year from date of receipt.

Loading...
Loading...
Loading...
Loading...

⚠ WARNING: This product can expose you to chemicals including mercury, which is known to the State of California to cause reproductive toxicity with developmental effects.  For more information go to www.P65Warnings.ca.gov.