Skip to main content

Complement Component C9 Antibody - BSA Free

Novus Biologicals, part of Bio-Techne | Catalog # NBP1-87440

Novus Biologicals, part of Bio-Techne
Catalog #
Availability
Size / Price
Qty
Loading...
NBP1-87440
NBP1-87440-25ul

Key Product Details

Species Reactivity

Human

Applications

Immunohistochemistry, Immunohistochemistry-Paraffin, Immunocytochemistry/ Immunofluorescence

Label

Unconjugated

Antibody Source

Polyclonal Rabbit IgG

Format

BSA Free

Concentration

Concentrations vary lot to lot. See vial label for concentration. If unlisted please contact technical services.

Product Specifications

Immunogen

This antibody was developed against Recombinant Protein corresponding to amino acids: CLGYHLDVSLAFSEISVGAEFNKDDCVKRGEGRAVNITSENLIDDVVSLIRGGTRKYAFELKEKLLRGTVIDVTDFVNWASSINDAPVLISQKLSPIYNLVPVKMKNAHLKKQNLERAIEDYINEFSVRKCHTCQNGGTVILMDGK

Reactivity Notes

Reactivity reported in scientific literature (PMID: 24151238)

Clonality

Polyclonal

Host

Rabbit

Isotype

IgG

Description

Novus Biologicals Rabbit Complement Component C9 Antibody - BSA Free (NBP1-87440) is a polyclonal antibody validated for use in IHC and ICC/IF. Anti-Complement Component C9 Antibody: Cited in 1 publication. All Novus Biologicals antibodies are covered by our 100% guarantee.

Scientific Data Images for Complement Component C9 Antibody - BSA Free

Immunocytochemistry/ Immunofluorescence: Complement Component C9 Antibody [NBP1-87440]

Immunocytochemistry/ Immunofluorescence: Complement Component C9 Antibody [NBP1-87440]

Immunocytochemistry/Immunofluorescence: Complement Component C9 Antibody [NBP1-87440] - Immunofluorescent staining of human cell line U-251 MG shows localization to plasma membrane & cytosol. Antibody staining is shown in green.
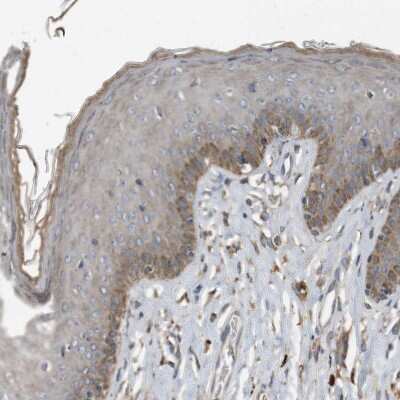
Immunohistochemistry-Paraffin: Complement Component C9 Antibody [NBP1-87440]

Immunohistochemistry-Paraffin: Complement Component C9 Antibody [NBP1-87440]

Immunohistochemistry-Paraffin: Complement Component C9 Antibody [NBP1-87440] - Staining of human Skin shows moderate cytoplasmic positivity in squamous epithelial cells.
Immunohistochemistry-Paraffin: Complement Component C9 Antibody [NBP1-87440]

Immunohistochemistry-Paraffin: Complement Component C9 Antibody [NBP1-87440]

Immunohistochemistry-Paraffin: Complement Component C9 Antibody [NBP1-87440] - Staining of human liver shows moderate positivity.

Applications for Complement Component C9 Antibody - BSA Free

Application
Recommended Usage

Immunocytochemistry/ Immunofluorescence

0.25-2 ug/ml

Immunohistochemistry

1:2500-1:5000

Immunohistochemistry-Paraffin

1:2500 - 1:5000
Application Notes
For IHC-Paraffin, HIER pH 6 retrieval is recommended. ICC/IF,Fixation Permeabilization: Use PFA/Triton X-100.

Formulation, Preparation, and Storage

Purification

Immunogen affinity purified

Formulation

PBS (pH 7.2) and 40% Glycerol

Format

BSA Free

Preservative

0.02% Sodium Azide

Concentration

Concentrations vary lot to lot. See vial label for concentration. If unlisted please contact technical services.

Shipping

The product is shipped with polar packs. Upon receipt, store it immediately at the temperature recommended below.

Stability & Storage

Store at 4C short term. Aliquot and store at -20C long term. Avoid freeze-thaw cycles.

Background: Complement Component C9

C9 is synthesised in the liver and monocytes, and is a plasma protein consisting of a single polypeptide chain of molecular weight 71kDa. Normal plasma concentration is 60mg/L. C9 forms part of the membrane attack complex (MAC) the cytolytic terminal complex of the complement pathways. C9 binds to the membrane associated C5b-8, binding of C9 to C5b-8 leads to the circular polymerisation of 12-18 C9 molecules. This is the basis of the hydrophilic, protein-walled, trans-membrane channel formed by the MAC, which leads to cell lysis and destruction.

Alternate Names

complement component 9, complement component C9

Gene Symbol

C9

Additional Complement Component C9 Products

Product Documents for Complement Component C9 Antibody - BSA Free

Certificate of Analysis

To download a Certificate of Analysis, please enter a lot number in the search box below.

Product Specific Notices for Complement Component C9 Antibody - BSA Free

This product is for research use only and is not approved for use in humans or in clinical diagnosis. Primary Antibodies are guaranteed for 1 year from date of receipt.

Loading...
Loading...
Loading...
Loading...