Collagen VII Antibody - BSA Free
Novus Biologicals, part of Bio-Techne | Catalog # NBP2-37900
Key Product Details
Validated by
Orthogonal Validation
Species Reactivity
Validated:
Human
Cited:
Human
Applications
Validated:
Immunohistochemistry, Immunohistochemistry-Paraffin
Cited:
Immunohistochemistry
Label
Unconjugated
Antibody Source
Polyclonal Rabbit IgG
Format
BSA Free
Concentration
Concentrations vary lot to lot. See vial label for concentration. If unlisted please contact technical services.
Product Specifications
Immunogen
This antibody was developed against a recombinant protein corresponding to amino acids: LTLYTLLEGHEVATPATVVPTGPELPVSPVTDLQATELPGQRVRVSWSPVPGATQYRIIVRSTQGVERTLVLPGSQTAFDLDDVQAGLSYTVRVSARVGPREGSASVLTVRREPETPLAVPGLRVVVSDATRVRVAWGPAPGASGFRI
Reactivity Notes
Immunogen displays the following percentage of sequence identity for non-tested species: Mouse (81%)
Clonality
Polyclonal
Host
Rabbit
Isotype
IgG
Description
Novus Biologicals Rabbit Collagen VII Antibody - BSA Free (NBP2-37900) is a polyclonal antibody validated for use in IHC. Anti-Collagen VII Antibody: Cited in 1 publication. All Novus Biologicals antibodies are covered by our 100% guarantee.
Scientific Data Images for Collagen VII Antibody - BSA Free
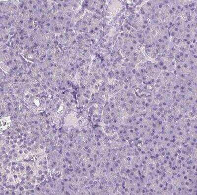
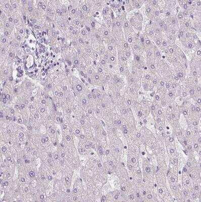
Immunohistochemistry-Paraffin: Collagen VII Antibody [NBP2-37900]
Immunohistochemistry-Paraffin: Collagen VII Antibody [NBP2-37900] - Staining of human liver shows no positivity in hepatocytes as expected.Immunohistochemistry-Paraffin: Collagen VII Antibody [NBP2-37900]
Immunohistochemistry-Paraffin: Collagen VII Antibody [NBP2-37900] - Staining of human skin shows moderate membranous positivity in epidermal cells.Applications for Collagen VII Antibody - BSA Free
Application
Recommended Usage
Immunohistochemistry
1:50 - 1:200
Immunohistochemistry-Paraffin
1:50 - 1:200
Application Notes
For IHC-Paraffin, HIER pH 6 retrieval is recommended.
Formulation, Preparation, and Storage
Purification
Affinity purified
Formulation
PBS (pH 7.2) and 40% Glycerol
Format
BSA Free
Preservative
0.02% Sodium Azide
Concentration
Concentrations vary lot to lot. See vial label for concentration. If unlisted please contact technical services.
Shipping
The product is shipped with polar packs. Upon receipt, store it immediately at the temperature recommended below.
Stability & Storage
Store at 4C short term. Aliquot and store at -20C long term. Avoid freeze-thaw cycles.
Background: Collagen VII
Alternate Names
Collagen 7, collagen alpha-1(VII) chain, collagen VII, alpha-1 polypeptide, collagen, type VII, alpha 1, Collagen-7, EBD1, EBDCT, EBR1, epidermolysis bullosa, dystrophic, dominant and recessive, LC collagen, long chain collagen, Long-chain collagen
Gene Symbol
COL7A1
UniProt
Additional Collagen VII Products
Product Documents for Collagen VII Antibody - BSA Free
Product Specific Notices for Collagen VII Antibody - BSA Free
This product is for research use only and is not approved for use in humans or in clinical diagnosis. Primary Antibodies are guaranteed for 1 year from date of receipt.
Loading...
Loading...
Loading...
Loading...