Collagen VI alpha 2 Antibody - BSA Free
Novus Biologicals, part of Bio-Techne | Catalog # NBP2-55655
Key Product Details
Validated by
Independent Antibodies
Species Reactivity
Validated:
Human
Predicted:
Mouse (91%), Rat (90%). Backed by our 100% Guarantee.
Applications
Immunohistochemistry, Immunohistochemistry-Paraffin, Western Blot
Label
Unconjugated
Antibody Source
Polyclonal Rabbit IgG
Format
BSA Free
Concentration
Concentrations vary lot to lot. See vial label for concentration. If unlisted please contact technical services.
Product Specifications
Immunogen
This antibody was developed against a recombinant protein corresponding to the following amino acid sequence: KGTVHFAVVITDGHVTGSPCGGIKLQAERAREEGIRLFAVAPNQNLKEQGLRDIASTPHELYRNDYATMLPDSTEIDQDTINRIIKVMKHEAYGECYKVSC
Clonality
Polyclonal
Host
Rabbit
Isotype
IgG
Description
Novus Biologicals Rabbit Collagen VI alpha 2 Antibody - BSA Free (NBP2-55655) is a polyclonal antibody validated for use in IHC and WB. All Novus Biologicals antibodies are covered by our 100% guarantee.
Scientific Data Images for Collagen VI alpha 2 Antibody - BSA Free
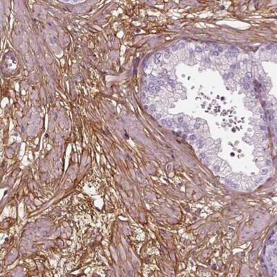
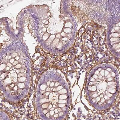
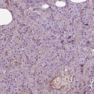
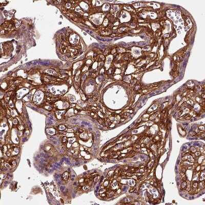
Immunohistochemistry-Paraffin: Collagen VI alpha 2 Antibody [NBP2-55655]
Immunohistochemistry-Paraffin: Collagen VI alpha 2 Antibody [NBP2-55655] - Staining of human gastrointestinal, pancreas, placenta and prostate using Anti-COL6A2 antibody NBP2-55655 (A) shows similar protein distribution across tissues to independent antibody NBP1-90951 (B).Immunohistochemistry-Paraffin: Collagen VI alpha 2 Antibody [NBP2-55655]
Immunohistochemistry-Paraffin: Collagen VI alpha 2 Antibody [NBP2-55655] - Staining of human prostate shows strong membranous positivity in smooth muscle cells.Applications for Collagen VI alpha 2 Antibody - BSA Free
Application
Recommended Usage
Immunohistochemistry
1:200 - 1:500
Immunohistochemistry-Paraffin
1:200 - 1:500
Western Blot
0.04-0.4 ug/ml
Application Notes
For IHC-Paraffin, HIER pH 6 retrieval is recommended.
Formulation, Preparation, and Storage
Purification
Affinity purified
Formulation
PBS (pH 7.2) and 40% Glycerol
Format
BSA Free
Preservative
0.02% Sodium Azide
Concentration
Concentrations vary lot to lot. See vial label for concentration. If unlisted please contact technical services.
Shipping
The product is shipped with polar packs. Upon receipt, store it immediately at the temperature recommended below.
Stability & Storage
Store at 4C short term. Aliquot and store at -20C long term. Avoid freeze-thaw cycles.
Background: Collagen VI alpha 2
Alternate Names
collagen alpha-2(VI) chain, collagen VI, alpha-2 polypeptide, collagen, type VI, alpha 2,10PP3610, DKFZp586E1322, FLJ46862
Gene Symbol
COL6A2
Additional Collagen VI alpha 2 Products
Product Documents for Collagen VI alpha 2 Antibody - BSA Free
Product Specific Notices for Collagen VI alpha 2 Antibody - BSA Free
This product is for research use only and is not approved for use in humans or in clinical diagnosis. Primary Antibodies are guaranteed for 1 year from date of receipt.
Loading...
Loading...
Loading...
Loading...