CLNS1A Antibody - BSA Free
Novus Biologicals, part of Bio-Techne | Catalog # NBP3-35629
Key Product Details
Species Reactivity
Human, Mouse, Rat
Applications
Immunohistochemistry, Immunohistochemistry-Paraffin, Western Blot, ELISA
Label
Unconjugated
Antibody Source
Polyclonal Rabbit IgG
Format
BSA Free
Concentration
Please see the vial label for concentration. If unlisted please contact technical services.
Product Specifications
Immunogen
Recombinant fusion protein containing a sequence corresponding to amino acids 1-237 of human CLNS1A (NP_001284.1).
Sequence:
MSFLKSFPPPGPAEGLLRQQPDTEAVLNGKGLGTGTLYIAESRLSWLDGSGLGFSLEYPTISLHALSRDRSDCLGEHLYVMVNAKFEEESKEPVADEEEEDSDDDVEPITEFRFVPSDKSALEAMFTAMCECQALHPDPEDEDSDDYDGEEYDVEAHEQGQGDIPTFYTYEEGLSHLTAEGQATLERLEGMLSQSVSSQYNMAGVRTEDSIRDYEDGMEVDTTPTVAGQFEDADVDH
Sequence:
MSFLKSFPPPGPAEGLLRQQPDTEAVLNGKGLGTGTLYIAESRLSWLDGSGLGFSLEYPTISLHALSRDRSDCLGEHLYVMVNAKFEEESKEPVADEEEEDSDDDVEPITEFRFVPSDKSALEAMFTAMCECQALHPDPEDEDSDDYDGEEYDVEAHEQGQGDIPTFYTYEEGLSHLTAEGQATLERLEGMLSQSVSSQYNMAGVRTEDSIRDYEDGMEVDTTPTVAGQFEDADVDH
Clonality
Polyclonal
Host
Rabbit
Isotype
IgG
Theoretical MW
26 kDa.
Disclaimer note: The observed molecular weight of the protein may vary from the listed predicted molecular weight due to post translational modifications, post translation cleavages, relative charges, and other experimental factors.
Disclaimer note: The observed molecular weight of the protein may vary from the listed predicted molecular weight due to post translational modifications, post translation cleavages, relative charges, and other experimental factors.
Scientific Data Images for CLNS1A Antibody - BSA Free
Western Blot: CLNS1A Antibody [NBP3-35629] -
Western Blot: CLNS1A Antibody [NBP3-35629] - Western blot analysis of various lysates using CLNS1A Rabbit pAb at 1:1000 dilution.Secondary antibody: HRP-conjugated Goat anti-Rabbit IgG (H+L) at 1:10000 dilution.
Lysates/proteins: 25ug per lane.
Blocking buffer: 3% nonfat dry milk in TBST.
Detection: ECL Basic Kit.
Exposure time: 5s.
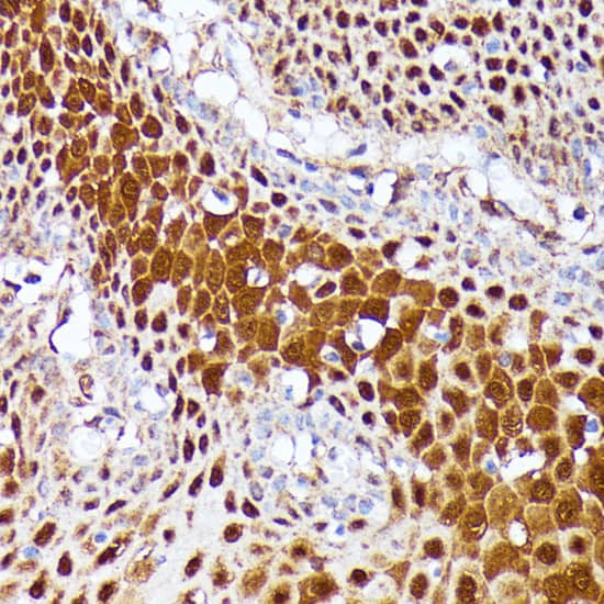
Immunohistochemistry: CLNS1A Antibody [NBP3-35629] -
Immunohistochemistry: CLNS1A Antibody [NBP3-35629] - Immunohistochemistry analysis of paraffin-embedded Human esophageal using CLNS1A Rabbit pAb at dilution of 1:100 (40x lens). Microwave antigen retrieval performed with 0.01M PBS Buffer (pH 7.2) prior to IHC staining.Immunohistochemistry: CLNS1A Antibody [NBP3-35629] -
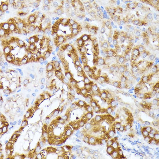
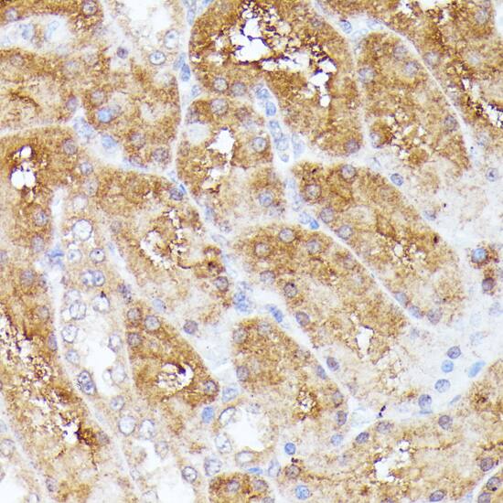
Immunohistochemistry: CLNS1A Antibody [NBP3-35629] - Immunohistochemistry analysis of paraffin-embedded Mouse kidney using CLNS1A Rabbit pAb at dilution of 1:100 (40x lens). Microwave antigen retrieval performed with 0.01M PBS Buffer (pH 7.2) prior to IHC staining.Applications for CLNS1A Antibody - BSA Free
Application
Recommended Usage
Immunohistochemistry-Paraffin
1:50 - 1:100
Western Blot
1:500 - 1:2000
Formulation, Preparation, and Storage
Purification
Affinity purified
Formulation
PBS (pH 7.3), 50% glycerol
Format
BSA Free
Preservative
0.01% Thimerosal
Concentration
Please see the vial label for concentration. If unlisted please contact technical services.
Shipping
The product is shipped with polar packs. Upon receipt, store it immediately at the temperature recommended below.
Stability & Storage
Store at -20C. Avoid freeze-thaw cycles.
Background: CLNS1A
Alternate Names
chloride channel regulatory protein, Chloride channel, nucleotide sensitive 1A, chloride channel, nucleotide-sensitive, 1A, Chloride conductance regulatory protein ICln, Chloride ion current inducer protein, CLCI, CLNS1B, I(Cln), ICLN, methylosome subunit pICln, Reticulocyte pICln, reticulocyte protein ICln
Gene Symbol
CLNS1A
Additional CLNS1A Products
Product Documents for CLNS1A Antibody - BSA Free
Product Specific Notices for CLNS1A Antibody - BSA Free
This product is for research use only and is not approved for use in humans or in clinical diagnosis. Primary Antibodies are guaranteed for 1 year from date of receipt.
Loading...
Loading...
Loading...
Loading...