Skip to main content

CLNS1A Antibody - BSA Free

Novus Biologicals, part of Bio-Techne | Catalog # NBP2-33964

Novus Biologicals, part of Bio-Techne
Catalog #
Availability
Size / Price
Qty
Loading...
NBP2-33964
NBP2-33964-25ul

Key Product Details

Species Reactivity

Human

Applications

Immunohistochemistry, Immunohistochemistry-Paraffin, Western Blot, Immunocytochemistry/ Immunofluorescence

Label

Unconjugated

Antibody Source

Polyclonal Rabbit IgG

Format

BSA Free

Concentration

Concentrations vary lot to lot. See vial label for concentration. If unlisted please contact technical services.

Product Specifications

Immunogen

This antibody was developed against a recombinant protein corresponding to amino acids: SFLKSFPPPGPAEGLLRQQPDTEAVLNGKGLGTGTLYIAESRLSWLDGSGLGFSLEYPTISLHALSRDRSDCLGEHLYVMVNAKFEEESKEPVADEE

Reactivity Notes

Immunogen displays the following percentage of sequence identity for non-tested species: Mouse (84%), Rat (84%)

Clonality

Polyclonal

Host

Rabbit

Isotype

IgG

Scientific Data Images for CLNS1A Antibody - BSA Free

Western Blot: CLNS1A Antibody [NBP2-33964]

Western Blot: CLNS1A Antibody [NBP2-33964]

Western Blot: CLNS1A Antibody [NBP2-33964] - Lane 1: Marker [kDa] 230, 130, 95, 72, 56, 36, 28, 17, 11. Lane 2: Human cell line RT-4. Lane 3: Human cell line U-251MG sp
Immunocytochemistry/ Immunofluorescence: CLNS1A Antibody [NBP2-33964]

Immunocytochemistry/ Immunofluorescence: CLNS1A Antibody [NBP2-33964]

Immunocytochemistry/Immunofluorescence: CLNS1A Antibody [NBP2-33964] - Immunofluorescent staining of human cell line U-2 OS shows localization to cytosol.
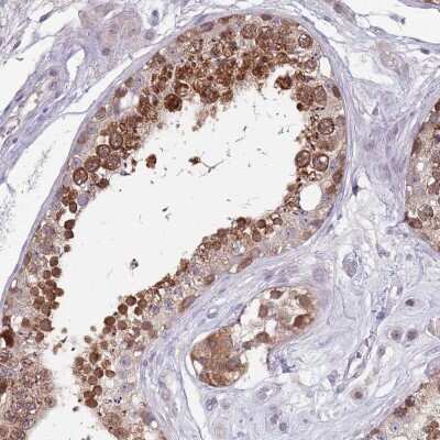
Immunohistochemistry-Paraffin: CLNS1A Antibody [NBP2-33964]

Immunohistochemistry-Paraffin: CLNS1A Antibody [NBP2-33964]

Immunohistochemistry-Paraffin: CLNS1A Antibody [NBP2-33964] - Staining of human testis shows strong cytoplasmic positivity in cells in seminiferus ducts.

Applications for CLNS1A Antibody - BSA Free

Application
Recommended Usage

Immunocytochemistry/ Immunofluorescence

0.25-2 ug/ml

Immunohistochemistry

1:200 - 1:500

Immunohistochemistry-Paraffin

1:200 - 1:500

Western Blot

0.04-0.4 ug/ml
Application Notes
For IHC-Paraffin, HIER pH 6 retrieval is recommended. Immunocytochemistry/Immunofluorescence Fixation Permeabilization: Use PFA/Triton X-100.

Formulation, Preparation, and Storage

Purification

Affinity purified

Formulation

PBS (pH 7.2) and 40% Glycerol

Format

BSA Free

Preservative

0.02% Sodium Azide

Concentration

Concentrations vary lot to lot. See vial label for concentration. If unlisted please contact technical services.

Shipping

The product is shipped with polar packs. Upon receipt, store it immediately at the temperature recommended below.

Stability & Storage

Store at 4C short term. Aliquot and store at -20C long term. Avoid freeze-thaw cycles.

Background: CLNS1A

The CLNS1A gene encodes a protein that functions in multiple regulatory pathways. The encoded protein complexes with numerouscytosolic proteins and performs diverse functions including regulation of small nuclear ribonucleoproteinbiosynthesis, platelet activati

Alternate Names

chloride channel regulatory protein, Chloride channel, nucleotide sensitive 1A, chloride channel, nucleotide-sensitive, 1A, Chloride conductance regulatory protein ICln, Chloride ion current inducer protein, CLCI, CLNS1B, I(Cln), ICLN, methylosome subunit pICln, Reticulocyte pICln, reticulocyte protein ICln

Gene Symbol

CLNS1A

UniProt

Additional CLNS1A Products

Product Documents for CLNS1A Antibody - BSA Free

Certificate of Analysis

To download a Certificate of Analysis, please enter a lot number in the search box below.

Product Specific Notices for CLNS1A Antibody - BSA Free

This product is for research use only and is not approved for use in humans or in clinical diagnosis. Primary Antibodies are guaranteed for 1 year from date of receipt.

Loading...
Loading...
Loading...
Loading...