Skip to main content

CLEC10A/CD301 Antibody (CL15523) - Azide and BSA Free

Novus Biologicals, part of Bio-Techne | Catalog # NBP3-44334

Novus Biologicals, part of Bio-Techne

Key Product Details

Validated by

Orthogonal Validation

Species Reactivity

Human

Applications

Immunohistochemistry-Paraffin, Western Blot

Label

Unconjugated

Antibody Source

Monoclonal Mouse IgG2A Clone # CL15523

Format

Azide and BSA Free

Concentration

LYOPH mg/ml

Product Specifications

Immunogen

This antibody was generated using a synthetic peptide of Q8IUN9, with the exact immunogen sequence remaining proprietary.

Clonality

Monoclonal

Host

Mouse

Isotype

IgG2A

Description

Novus Biologicals Mouse CLEC10A/CD301 Antibody (CL15523) - Azide and BSA Free (NBP3-43673) is a monoclonal antibody validated for use in IHC and WB. All Novus Biologicals antibodies are covered by our 100% guarantee.

Scientific Data Images for CLEC10A/CD301 Antibody (CL15523) - Azide and BSA Free

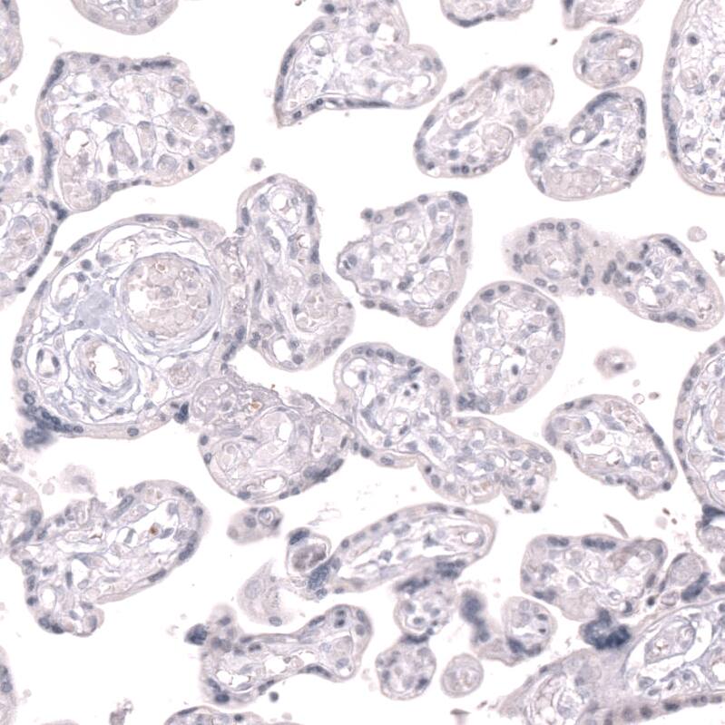
CLEC10A/CD301 Antibody (CL15523) - Azide and BSA Free Immunohistochemistry-Paraffin: CLEC10A/CD301 Antibody [NBP3-44334]

Immunohistochemistry-Paraffin: CLEC10A/CD301 Antibody [NBP3-44334]

Analysis in human lymph node and placenta tissues using NBP3-44334 antibody. Corresponding CLEC10A/CD301 RNA-seq data are presented for the same tissues.
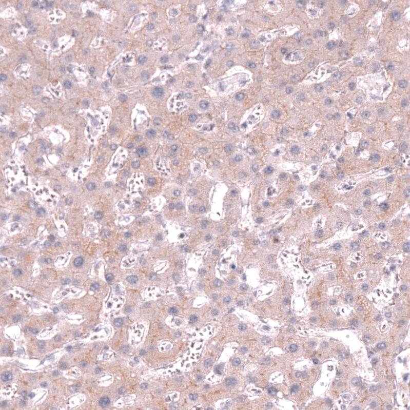
CLEC10A/CD301 Antibody (CL15523) - Azide and BSA Free Immunohistochemistry-Paraffin: CLEC10A/CD301 Antibody [NBP3-44334]

Immunohistochemistry-Paraffin: CLEC10A/CD301 Antibody [NBP3-44334]

Staining of human liver shows moderate cytoplasmic and membranous positivity in hepatocytes.
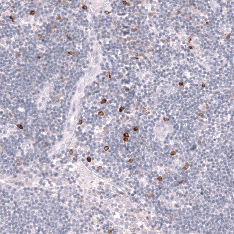
CLEC10A/CD301 Antibody (CL15523) - Azide and BSA Free Immunohistochemistry-Paraffin: CLEC10A/CD301 Antibody [NBP3-44334]

Immunohistochemistry-Paraffin: CLEC10A/CD301 Antibody [NBP3-44334]

Staining of human colon shows strong membranous positivity in lymphoid cells.

Applications for CLEC10A/CD301 Antibody (CL15523) - Azide and BSA Free

Application
Recommended Usage

Immunohistochemistry-Paraffin

1:200 - 1:500

Western Blot

1 ug/ml
Application Notes
For IHC-Paraffin, HIER pH 6 retrieval is recommended.

Formulation, Preparation, and Storage

Purification

Protein A purified

Reconstitution

Centrifuge the vial of lyophilized antibody at 12,000 x g for 20 seconds. Reconstitute by adding sterile, distilled water to achieve a final antibody concentration of 1mg/ml.

Formulation

Lyophilized from a 0.2 um filtered solution in PBS with Trehalose

Format

Azide and BSA Free

Preservative

No Preservative

Concentration

LYOPH mg/ml

Shipping

The product is shipped at ambient temperature. Upon receipt, store it immediately at the temperature recommended below.

Stability & Storage

Store at 4C short term. Aliquot and store at -20C long term. Avoid freeze-thaw cycles.

Background: CLEC10A/CD301

CD301 encodes a member of the C-type lectin/C-type lectin-like domain (CTL/CTLD) superfamily. Members of this family share a common protein fold and have diverse functions, such as cell adhesion, cell-cell signalling, glycoprotein turnover, and roles in inflammation and immune response. The encoded type 2 transmembrane protein may function as a cell surface antigen. Two transcript variants encoding distinct isoforms have been identified for this gene. [provided by RefSeq]

Long Name

Macrophage Galactose N-Acetyl-Galactosamine Specific Lectin 1

Alternate Names

CD301, CLECSF14, HML2, MGL

Gene Symbol

CLEC10A

Additional CLEC10A/CD301 Products

Product Documents for CLEC10A/CD301 Antibody (CL15523) - Azide and BSA Free

Certificate of Analysis

To download a Certificate of Analysis, please enter a lot number in the search box below.

Product Specific Notices for CLEC10A/CD301 Antibody (CL15523) - Azide and BSA Free

This product is for research use only and is not approved for use in humans or in clinical diagnosis. Primary Antibodies are guaranteed for 1 year from date of receipt.

Loading...
Loading...
Loading...
Loading...
Loading...