Skip to main content

Claudin-3 Antibody (CL13128) - Azide and BSA Free

Novus Biologicals, part of Bio-Techne | Catalog # NBP3-44368

Novus Biologicals, part of Bio-Techne

Key Product Details

Validated by

Orthogonal Validation

Species Reactivity

Human

Applications

Immunohistochemistry-Paraffin, Western Blot, Immunocytochemistry/ Immunofluorescence

Label

Unconjugated

Antibody Source

Monoclonal Mouse IgG1 Clone # CL13128

Format

Azide and BSA Free

Concentration

LYOPH mg/ml

Product Specifications

Immunogen

This antibody was generated using a synthetic peptide of O15551, with the exact immunogen sequence remaining proprietary.

Clonality

Monoclonal

Host

Mouse

Isotype

IgG1

Description

Novus Biologicals Mouse Claudin-3 Antibody (CL13128) - Azide and BSA Free (NBP3-18577) is a monoclonal antibody validated for use in IHC, WB and ICC/IF. All Novus Biologicals antibodies are covered by our 100% guarantee.

Scientific Data Images for Claudin-3 Antibody (CL13128) - Azide and BSA Free

Claudin-3 Antibody (CL13128) - Azide and BSA Free Immunohistochemistry-Paraffin: Claudin-3 Antibody [NBP3-44368]

Immunohistochemistry-Paraffin: Claudin-3 Antibody [NBP3-44368]

Analysis in human colon and lymph node tissues using NBP3-44368 antibody. Corresponding Claudin-3 RNA-seq data are presented for the same tissues.
Claudin-3 Antibody (CL13128) - Azide and BSA Free Immunohistochemistry-Paraffin: Claudin-3 Antibody [NBP3-44368]

Immunohistochemistry-Paraffin: Claudin-3 Antibody [NBP3-44368]

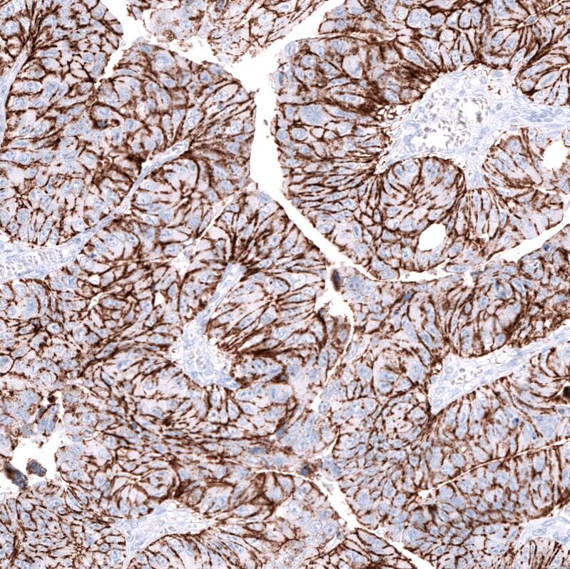
Staining of human endometrial cancer shows strong membranous positivity in tumor cells.
Claudin-3 Antibody (CL13128) - Azide and BSA Free Immunohistochemistry-Paraffin: Claudin-3 Antibody [NBP3-44368]

Immunohistochemistry-Paraffin: Claudin-3 Antibody [NBP3-44368]

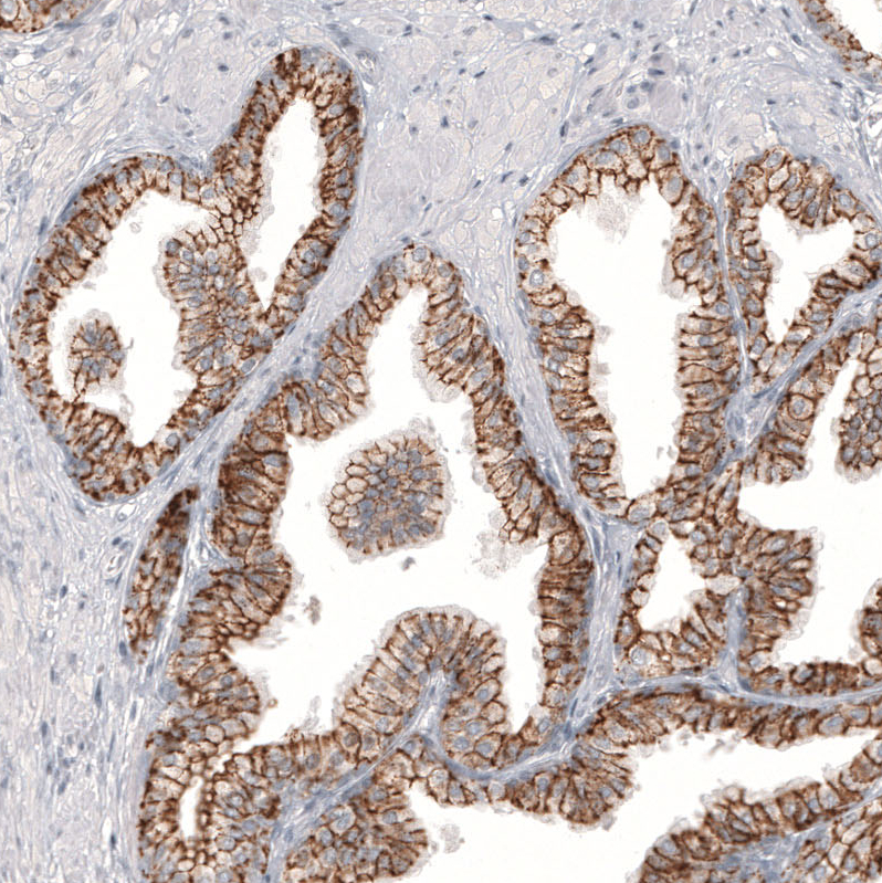
Staining of human colon shows moderate to strong membranous positivity in glandular cells.

Applications for Claudin-3 Antibody (CL13128) - Azide and BSA Free

Application
Recommended Usage

Immunocytochemistry/ Immunofluorescence

2-10 ug/ml

Immunohistochemistry-Paraffin

1:500 - 1:1000

Western Blot

1 ug/ml
Application Notes
For use with IHC-Paraffin, HIER pH 6 retrieval is recommended. For use with Immunocytochemistry/ Immunofluorescence/IF, PFA/Triton X-100 is recommended for fixation/permeabilization.

Formulation, Preparation, and Storage

Purification

Protein A purified

Reconstitution

Centrifuge the vial of lyophilized antibody at 12,000 x g for 20 seconds. Reconstitute by adding sterile, distilled water to achieve a final antibody concentration of 1mg/ml.

Formulation

Lyophilized from a 0.2 um filtered solution in PBS with Trehalose

Format

Azide and BSA Free

Preservative

No Preservative

Concentration

LYOPH mg/ml

Shipping

The product is shipped at ambient temperature. Upon receipt, store it immediately at the temperature recommended below.

Stability & Storage

Store at 4C short term. Aliquot and store at -20C long term. Avoid freeze-thaw cycles.

Background: Claudin-3

The Claudin superfamily consists of many structurally related proteins in humans. These proteins are important structural and functional components of tight junctions in paracellular transport. Claudins are located in both epithelial and endothelial cells in all tight junction-bearing tissues. Three classes of proteins are known to localize to tight junctions, including the Claudins, Occludin and junction adhesion molecule (JAM). Claudins, which consist of four transmembrane domains and two extracellular loops, make up tight junction strands. Claudin expression is highly restricted to specfic regions of different tissues and variations of Claudin expression may have an important role in transcellular transport through tight junctions. In rat liver, claudin-3 is uniformly expressed, whereas in the pancreas, claudin-3 is expressed in junctions of the duct epithelia and junctions of acinar cells. Claudin-3 binds the peptide toxin Clostridium perfringens enterotoxin (CPE) at the cell surface via the second extracellular loop of claudin-3. The gene encoding human claudin-3 maps to chromosome 7q11.23.

Alternate Names

Claudin3, CLDN3, CPE-R 2, CPETR2, HRVP1

Gene Symbol

CLDN3

Additional Claudin-3 Products

Product Documents for Claudin-3 Antibody (CL13128) - Azide and BSA Free

Certificate of Analysis

To download a Certificate of Analysis, please enter a lot number in the search box below.

Product Specific Notices for Claudin-3 Antibody (CL13128) - Azide and BSA Free

This product is for research use only and is not approved for use in humans or in clinical diagnosis. Primary Antibodies are guaranteed for 1 year from date of receipt.

Loading...
Loading...
Loading...
Loading...
Loading...