Skip to main content

CIITA Antibody - BSA Free

Novus Biologicals, part of Bio-Techne | Catalog # NBP2-59072

Novus Biologicals, part of Bio-Techne

Key Product Details

Species Reactivity

Validated:

Human, Mouse, Rat

Cited:

Human

Applications

Validated:

Immunohistochemistry, Immunohistochemistry-Paraffin, Western Blot, ELISA, Immunocytochemistry/ Immunofluorescence

Cited:

Immunocytochemistry/ Immunofluorescence, IF/IHC

Label

Unconjugated

Antibody Source

Polyclonal Rabbit IgG

Format

BSA Free

Concentration

1 mg/ml

Product Specifications

Immunogen

Antibody was raised against a 16 amino acid synthetic peptide near the amino terminus of human CIITA. The immunogen is located within amino acids 120 - 170 of CIITA. Amino Acid Squence: AEVCQSQRRPFPEEL

Clonality

Polyclonal

Host

Rabbit

Isotype

IgG

Theoretical MW

125 kDa.
Disclaimer note: The observed molecular weight of the protein may vary from the listed predicted molecular weight due to post translational modifications, post translation cleavages, relative charges, and other experimental factors.

Description

Novus Biologicals Rabbit CIITA Antibody - BSA Free (NBP2-59072) is a polyclonal antibody validated for use in IHC, WB, ELISA and ICC/IF. Anti-CIITA Antibody: Cited in 2 publications. All Novus Biologicals antibodies are covered by our 100% guarantee.

Scientific Data Images for CIITA Antibody - BSA Free

Western Blot: CIITA AntibodyBSA Free [NBP2-59072]

Western Blot: CIITA AntibodyBSA Free [NBP2-59072]

Western Blot: CIITA Antibody [NBP2-59072] - Analysis of CIITA in rat brain tissue lysate with CIITA antibody at 1 ug/mL.
Immunocytochemistry/ Immunofluorescence: CIITA Antibody - BSA Free [NBP2-59072]

Immunocytochemistry/ Immunofluorescence: CIITA Antibody - BSA Free [NBP2-59072]

Immunocytochemistry/Immunofluorescence: CIITA Antibody [NBP2-59072] - Human brain tissue with CIITA antibody.
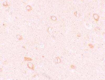
Immunohistochemistry-Paraffin: CIITA Antibody - BSA Free [NBP2-59072]

Immunohistochemistry-Paraffin: CIITA Antibody - BSA Free [NBP2-59072]

Immunohistochemistry-Paraffin: CIITA Antibody [NBP2-59072] - Human brain tissue. Antibody concentration of 10 ug/ml.

Applications for CIITA Antibody - BSA Free

Application
Recommended Usage

ELISA

1:100-1:2000

Immunocytochemistry/ Immunofluorescence

20 ug/ml

Immunohistochemistry

10 ug/ml

Immunohistochemistry-Paraffin

10 ug/ml

Western Blot

1 ug/ml

Formulation, Preparation, and Storage

Purification

Peptide affinity purified

Formulation

PBS

Format

BSA Free

Preservative

0.02% Sodium Azide

Concentration

1 mg/ml

Shipping

The product is shipped with polar packs. Upon receipt, store it immediately at the temperature recommended below.

Stability & Storage

Store at 4C short term. Aliquot and store at -20C long term. Avoid freeze-thaw cycles.

Background: CIITA

The transactivator CIITA regulates basal and interferon-induced expression of Major Histocompatibility Complex class II genes. CIITA restores expression of all MHC class II gene expression in mutant cells and corrects regulatory defects of MHC class II genes. Antibodies to this transactivator are useful in the study of diseases of pathological MHC class II expression. Antigen can be obtained from Raji cell lysates. Typically levels of CIITA expression are too low to detect endogenous levels of protein expression. Transiently transfected cells are usually employed to study this transcription factor.

Alternate Names

C2TA, C2TAMHC class II transactivator type III, CIITAIV, class II, major histocompatibility complex, transactivator, MHC class II transactivator, MHC2TANLR family, acid domain containing, NLRA, nucleotide-binding oligomerization domain, leucine rich repeat and acid domaincontaining

Gene Symbol

CIITA

Additional CIITA Products

Product Documents for CIITA Antibody - BSA Free

Certificate of Analysis

To download a Certificate of Analysis, please enter a lot number in the search box below.

Product Specific Notices for CIITA Antibody - BSA Free

This product is for research use only and is not approved for use in humans or in clinical diagnosis. Primary Antibodies are guaranteed for 1 year from date of receipt.

Loading...
Loading...
Loading...
Loading...