Skip to main content

CIDEA Antibody - BSA Free

Novus Biologicals, part of Bio-Techne | Catalog # NBP1-76951

Novus Biologicals, part of Bio-Techne
Catalog #
Availability
Size / Price
Qty
Loading...
NBP1-76951
NBP1-76951-0.025mg

Key Product Details

Species Reactivity

Human

Applications

ELISA, Immunocytochemistry/ Immunofluorescence, Immunohistochemistry, Immunohistochemistry-Paraffin, Western Blot

Label

Unconjugated

Antibody Source

Polyclonal Rabbit IgG

Format

BSA Free

Concentration

1 mg/ml

Product Specifications

Immunogen

Antibody was raised against a 18 amino acid peptide near the carboxy terminus of human CIDE-A. The immunogen is located within the last 50 amino acids of CIDE-A. Amino Acid Squence: DDKEERPSLRSQAKGRFT

Specificity

It has no cross activity to CIDE-B.

Clonality

Polyclonal

Host

Rabbit

Isotype

IgG

Theoretical MW

23 kDa.
Disclaimer note: The observed molecular weight of the protein may vary from the listed predicted molecular weight due to post translational modifications, post translation cleavages, relative charges, and other experimental factors.

Description

Novus Biologicals Rabbit CIDEA Antibody - BSA Free (NBP1-76951) is a polyclonal antibody validated for use in IHC, WB, ELISA and ICC/IF. All Novus Biologicals antibodies are covered by our 100% guarantee.

Scientific Data Images for CIDEA Antibody - BSA Free

Western Blot: CIDEA AntibodyBSA Free [NBP1-76951]

Western Blot: CIDEA AntibodyBSA Free [NBP1-76951]

Western Blot: CIDEA Antibody [NBP1-76951] - Human brain tissue lysate in the absence (A) or presence (B) of peptide (2085P) with CIDE-A antibody at 1:2000 dilution.
CIDEA Antibody - BSA Free

Immunocytochemistry/ Immunofluorescence: CIDEA Antibody - BSA Free [NBP1-76951] -

Immunocytochemistry/ Immunofluorescence: CIDEA Antibody - BSA Free [NBP1-76951] - Immunofluorescence of CIDEA in Human Brain cells with CIDEA antibody at 20 ug/mL.
CIDEA Antibody - BSA Free

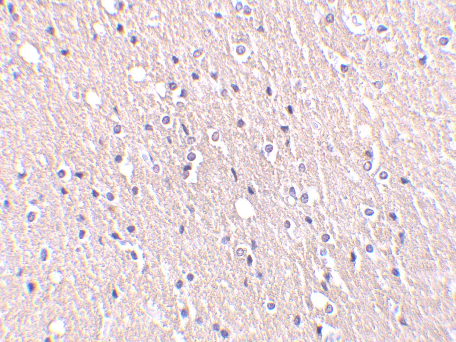
Immunohistochemistry: CIDEA Antibody - BSA Free [NBP1-76951] -

Immunohistochemistry: CIDEA Antibody - BSA Free [NBP1-76951] - Immunohistochemistry of CIDEA in human brain tissue with CIDEA antibody at 5 ug/mL.

Applications for CIDEA Antibody - BSA Free

Application
Recommended Usage

ELISA

1:100-1:2000

Immunocytochemistry/ Immunofluorescence

20 ug/ml

Immunohistochemistry

5 ug/ml

Immunohistochemistry-Paraffin

5 ug/ml

Western Blot

2 ug/ml
Application Notes
An approximately 23 kDa band can be detected in Western Blot.

Formulation, Preparation, and Storage

Purification

Peptide affinity purified

Formulation

PBS

Format

BSA Free

Preservative

0.02% Sodium Azide

Concentration

1 mg/ml

Shipping

The product is shipped with polar packs. Upon receipt, store it immediately at the temperature recommended below.

Stability & Storage

Store at 4C short term. Aliquot and store at -20C long term. Avoid freeze-thaw cycles.

Background: CIDEA

Apoptosis is related to many diseases and induced by a family of cell death receptors. Cell death signals are transduced by DD-, DED-, or CARD-containing molecules and members of the caspase family of proteases. These death signals finally cause the degradation of chromosomal DNA by activated DNase DFF40/CAD, which is chaperoned and inhibited by DFF45/ICAD. DFF45 related proteins CIDE-A and CIDE-B (for cell death-inducing DFF-like effector A and B) were recently identified. CIDE contains a new type of domain termed CIDE-N, which has high homology with the regulatory domains of DFF45/ICAD and DFF40/CAD. Expression of CIDE-A induces DNA fragmentation and activates apoptosis, which is inhibited by DFF45. CIDE-A is expressed in many tissues.

Long Name

Cell Death-inducing DFFA-like Effector A

Alternate Names

cell death activator CIDE-A, cell death-inducing DFFA-like effector aCIDE-A

Gene Symbol

CIDEA

Additional CIDEA Products

Product Documents for CIDEA Antibody - BSA Free

Certificate of Analysis

To download a Certificate of Analysis, please enter a lot number in the search box below.

Product Specific Notices for CIDEA Antibody - BSA Free

This product is for research use only and is not approved for use in humans or in clinical diagnosis. Primary Antibodies are guaranteed for 1 year from date of receipt.

Loading...
Loading...
Loading...
Loading...