Skip to main content

Chymase/CMA1/Mast Cell Chymase Antibody (JB74-32)

Novus Biologicals, part of Bio-Techne | Catalog # NBP2-75441

Recombinant Monoclonal Antibody.
Novus Biologicals, part of Bio-Techne
Catalog #
Availability
Size / Price
Qty
Loading...
NBP2-75441

Key Product Details

Validated by

Biological Validation

Species Reactivity

Human, Mouse, Rat

Applications

Immunohistochemistry, Immunohistochemistry-Paraffin, Western Blot

Label

Unconjugated

Antibody Source

Recombinant Monoclonal Rabbit IgG Clone # JB74-32 expressed in HEK293

Concentration

1 mg/ml

Product Specifications

Immunogen

Synthetic peptide within Human Chymase/CMA1/Mast Cell Chymase aa 198-247 / 247. (SwissProt: P23946 Human; SwissProt: P21844 Mouse; SwissProt: P50339 Rat)

Localization

Secreted, Cytoplasmic granule.

Clonality

Monoclonal

Host

Rabbit

Isotype

IgG

Theoretical MW

27 kDa.
Disclaimer note: The observed molecular weight of the protein may vary from the listed predicted molecular weight due to post translational modifications, post translation cleavages, relative charges, and other experimental factors.

Description

Novus Biologicals Rabbit Chymase/CMA1/Mast Cell Chymase Antibody (JB74-32) (NBP2-75441) is a recombinant monoclonal antibody validated for use in IHC and WB. All Novus Biologicals antibodies are covered by our 100% guarantee.

Scientific Data Images for Chymase/CMA1/Mast Cell Chymase Antibody (JB74-32)

Western Blot: Chymase/CMA1/Mast Cell Chymase Antibody (JB74-32) [NBP2-75441]

Western Blot: Chymase/CMA1/Mast Cell Chymase Antibody (JB74-32) [NBP2-75441]

Western Blot: Chymase/CMA1/Mast Cell Chymase Antibody (JB74-32) [NBP2-75441] - Analysis of Chymase/CMA1/Mast Cell on different lysates with Rabbit anti-Chymase/CMA1/Mast Cell antibody at 1/500 dilution. Lane 1: Mouse spleen tissue lysate Lane 2: Rat spleen tissue lysate Lysates/proteins at 20 ug/Lane. Predicted band size: 27 kDa Observed band size: 27 kDa Exposure time: 2 minutes; 15% SDS-PAGE gel. Proteins were transferred to a PVDF membrane and blocked with 5% NFDM/TBST for 1 hour at room temperature. The primary antibody at 1/500 dilution was used in 5% NFDM/TBST at room temperature for 2 hours. Goat Anti-Rabbit IgG - HRP Secondary Antibody at 1:300,000 dilution was used for 1 hour at room temperature.
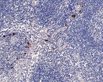
Immunohistochemistry-Paraffin: Chymase/CMA1/Mast Cell Chymase Antibody (JB74-32) [NBP2-75441]

Immunohistochemistry-Paraffin: Chymase/CMA1/Mast Cell Chymase Antibody (JB74-32) [NBP2-75441]

Immunohistochemistry-Paraffin: Chymase/CMA1/Mast Cell Chymase Antibody (JB74-32) [NBP2-75441] - Analysis of paraffin-embedded human lymph nodes tissue with Rabbit anti-Chymase/CMA1/Mast Cell Chymase antibody washed with ddH2O and PBS, and then probed with the primary antibody at 1/800 dilution for 1 hour at room temperature. The detection was performed using an HRP conjugated compact polymer system. DAB was used as the chromogen. Tissues were counterstained with hematoxylin and mounted with DPX.
Immunohistochemistry-Paraffin: Chymase/CMA1/Mast Cell Chymase Antibody (JB74-32) [NBP2-75441]

Immunohistochemistry-Paraffin: Chymase/CMA1/Mast Cell Chymase Antibody (JB74-32) [NBP2-75441]

Immunohistochemistry-Paraffin: Chymase/CMA1/Mast Cell Chymase Antibody (JB74-32) [NBP2-75441] - Analysis of paraffin-embedded human tonsil tissue using anti-Mast Cell Chymase antibody. The section was pre-treated using heat mediated antigen retrieval with Tris-EDTA buffer (pH 8.0-8.4) for 20 minutes.The tissues were blocked in 5% BSA for 30 minutes at room temperature, washed with ddH2O and PBS, and then probed with the primary antibody (1/50) for 30 minutes at room temperature. The detection was performed using an HRP conjugated compact polymer system. DAB was used as the chromogen. Tissues were counterstained with hematoxylin and mounted with DPX.

Applications for Chymase/CMA1/Mast Cell Chymase Antibody (JB74-32)

Application
Recommended Usage

Immunohistochemistry-Paraffin

1:50-1:200

Western Blot

1:500

Formulation, Preparation, and Storage

Purification

Protein A purified

Formulation

TBS (pH7.4), 0.05% BSA, 40% Glycerol

Preservative

0.05% Sodium Azide

Concentration

1 mg/ml

Shipping

The product is shipped with polar packs. Upon receipt, store it immediately at the temperature recommended below.

Stability & Storage

Store at 4C short term. Aliquot and store at -20C long term. Avoid freeze-thaw cycles.

Background: Chymase/CMA1

Mast cells contain a number of preformed chemicals mediators such as histamine, chymase, carboxypeptidase and proteolytic tryptase. Human Mast Cell Chymase is considered to be an important marker of mast cells as well as an important mediator of inflammation.

Alternate Names

CMA1, CYH, MCP3P, Mcpt5, MCT1

Gene Symbol

CMA1

Additional Chymase/CMA1 Products

Product Documents for Chymase/CMA1/Mast Cell Chymase Antibody (JB74-32)

Certificate of Analysis

To download a Certificate of Analysis, please enter a lot number in the search box below.

Product Specific Notices for Chymase/CMA1/Mast Cell Chymase Antibody (JB74-32)

This product is for research use only and is not approved for use in humans or in clinical diagnosis. Primary Antibodies are guaranteed for 1 year from date of receipt.

Loading...
Loading...
Loading...
Loading...