Skip to main content

Choline Acetyltransferase/ChAT Antibody (CL3169) - Azide and BSA Free

Novus Biologicals, part of Bio-Techne | Catalog # NBP3-43798

Novus Biologicals, part of Bio-Techne

Key Product Details

Validated by

Orthogonal Validation

Species Reactivity

Human, Mouse, Rat

Applications

Immunohistochemistry-Paraffin

Label

Unconjugated

Antibody Source

Monoclonal Mouse IgG1 Clone # CL3169

Format

Azide and BSA Free

Concentration

LYOPH mg/ml

Product Specifications

Immunogen

This antibody was generated using a recombinant protein sequence of P28329, with the exact immunogen sequence remaining proprietary.

Clonality

Monoclonal

Host

Mouse

Isotype

IgG1

Description

Novus Biologicals Mouse Choline Acetyltransferase/ChAT Antibody (CL3169) - Azide and BSA Free (NBP2-46650) is a monoclonal antibody validated for use in IHC. All Novus Biologicals antibodies are covered by our 100% guarantee.

Scientific Data Images for Choline Acetyltransferase/ChAT Antibody (CL3169) - Azide and BSA Free

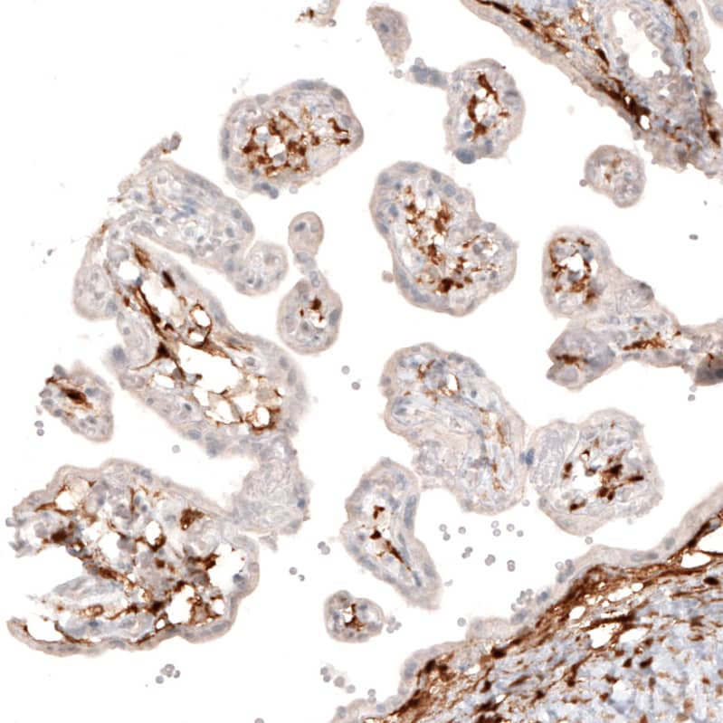
Choline Acetyltransferase/ChAT Antibody (CL3169) - Azide and BSA Free Immunohistochemistry-Paraffin: Choline Acetyltransferase/ChAT Antibody [NBP3-43798]

Immunohistochemistry-Paraffin: Choline Acetyltransferase/ChAT Antibody [NBP3-43798]

Analysis in human placenta and liver tissues using NBP3-43798 antibody. Corresponding Choline Acetyltransferase/ChAT RNA-seq data are presented for the same tissues.
Choline Acetyltransferase/ChAT Antibody (CL3169) - Azide and BSA Free Immunohistochemistry-Paraffin: Choline Acetyltransferase/ChAT Antibody [NBP3-43798]

Immunohistochemistry-Paraffin: Choline Acetyltransferase/ChAT Antibody [NBP3-43798]

Staining of human cerebral cortex shows positivity in cholinergic neural fibers.
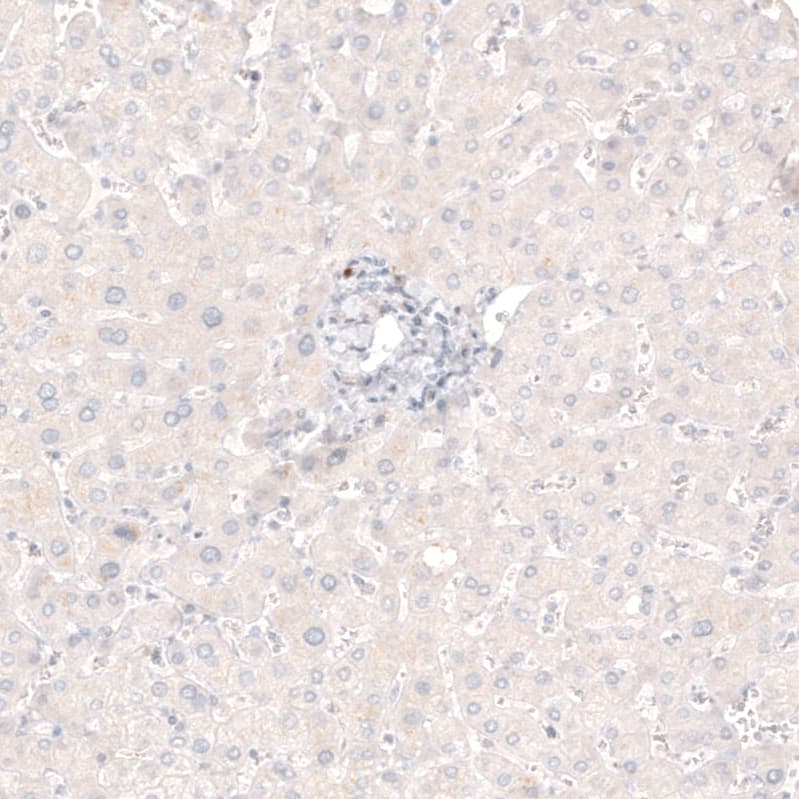
Choline Acetyltransferase/ChAT Antibody (CL3169) - Azide and BSA Free Immunohistochemistry-Paraffin: Choline Acetyltransferase/ChAT Antibody [NBP3-43798]

Immunohistochemistry-Paraffin: Choline Acetyltransferase/ChAT Antibody [NBP3-43798]

Staining of human liver shows no positivity in hepatocytes as expected.

Applications for Choline Acetyltransferase/ChAT Antibody (CL3169) - Azide and BSA Free

Application
Recommended Usage

Immunohistochemistry-Paraffin

1:500 - 1:1000
Application Notes
For IHC-Paraffin, HIER pH 6 retrieval is recommended.

Formulation, Preparation, and Storage

Purification

Protein A purified

Reconstitution

Centrifuge the vial of lyophilized antibody at 12,000 x g for 20 seconds. Reconstitute by adding sterile, distilled water to achieve a final antibody concentration of 1mg/ml.

Formulation

Lyophilized from a 0.2 um filtered solution in PBS with Trehalose

Format

Azide and BSA Free

Preservative

No Preservative

Concentration

LYOPH mg/ml

Shipping

The product is shipped at ambient temperature. Upon receipt, store it immediately at the temperature recommended below.

Stability & Storage

Store at 4C short term. Aliquot and store at -20C long term. Avoid freeze-thaw cycles.

Background: Choline Acetyltransferase/ChAT

Note: This is the same product as NB300-178. FUNCTION: Catalyzes the reversible synthesis of acetylcholine (ACh) from acetyl CoA and choline at cholinergic synapses. CATALYTIC ACTIVITY: Acetyl-CoA + choline = CoA + O-acetylcholine. SIMILARITY: Belongs to the carnitine/choline acetyltransferase family.

Alternate Names

CHAT, Choline acetylase

Gene Symbol

CHAT

Additional Choline Acetyltransferase/ChAT Products

Product Documents for Choline Acetyltransferase/ChAT Antibody (CL3169) - Azide and BSA Free

Certificate of Analysis

To download a Certificate of Analysis, please enter a lot number in the search box below.

Product Specific Notices for Choline Acetyltransferase/ChAT Antibody (CL3169) - Azide and BSA Free

This product is for research use only and is not approved for use in humans or in clinical diagnosis. Primary Antibodies are guaranteed for 1 year from date of receipt.

Loading...
Loading...
Loading...
Loading...
Loading...