Skip to main content

Chk2 Antibody (CL9440) - Azide and BSA Free

Novus Biologicals, part of Bio-Techne | Catalog # NBP3-44069

Novus Biologicals, part of Bio-Techne

Key Product Details

Validated by

Orthogonal Validation

Species Reactivity

Human

Applications

Immunohistochemistry-Paraffin, Western Blot, Immunocytochemistry/ Immunofluorescence

Label

Unconjugated

Antibody Source

Monoclonal Mouse IgG1 Clone # CL9440

Format

Azide and BSA Free

Concentration

LYOPH mg/ml

Product Specifications

Immunogen

This antibody was generated using a recombinant protein sequence of O96017, with the exact immunogen sequence remaining proprietary.

Clonality

Monoclonal

Host

Mouse

Isotype

IgG1

Description

Novus Biologicals Mouse Chk2 Antibody (CL9440) - Azide and BSA Free (NBP2-88933) is a monoclonal antibody validated for use in IHC, WB and ICC/IF. All Novus Biologicals antibodies are covered by our 100% guarantee.

Scientific Data Images for Chk2 Antibody (CL9440) - Azide and BSA Free

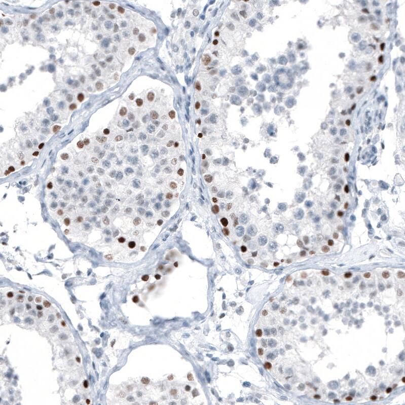
Chk2 Antibody (CL9440) - Azide and BSA Free Immunohistochemistry-Paraffin: Chk2 Antibody [NBP3-44069]

Immunohistochemistry-Paraffin: Chk2 Antibody [NBP3-44069]

Analysis in human testis and cerebral cortex tissues using NBP3-44069 antibody. Corresponding Chk2 RNA-seq data are presented for the same tissues.
Chk2 Antibody (CL9440) - Azide and BSA Free Immunohistochemistry-Paraffin: Chk2 Antibody [NBP3-44069]

Immunohistochemistry-Paraffin: Chk2 Antibody [NBP3-44069]

Staining of human endometrium shows strong nuclear positivity in glandular cells.
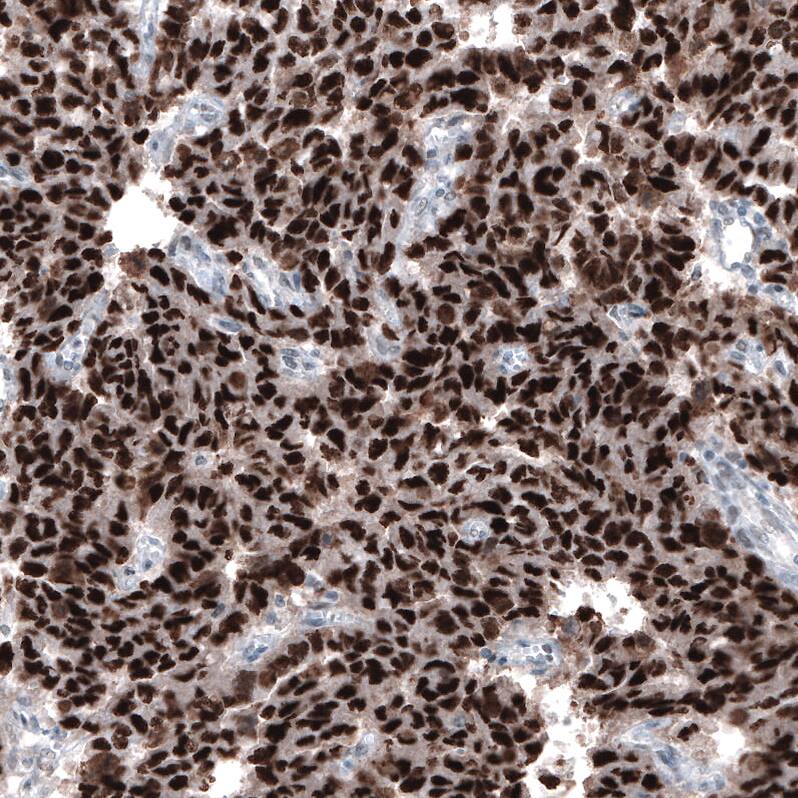
Chk2 Antibody (CL9440) - Azide and BSA Free Immunohistochemistry-Paraffin: Chk2 Antibody [NBP3-44069]

Immunohistochemistry-Paraffin: Chk2 Antibody [NBP3-44069]

Staining of human embryonal carcinoma of testis shows strong nuclear positivity.

Applications for Chk2 Antibody (CL9440) - Azide and BSA Free

Application
Recommended Usage

Immunocytochemistry/ Immunofluorescence

2-10 ug/ml

Immunohistochemistry-Paraffin

1:200 - 1:500

Western Blot

1 ug/ml
Application Notes
For Immunocytochemistry/ Immunofluorescence/IF, PFA/Triton X-100 is recommended for fixation/permeabilization. For IHC-Paraffin, HIER pH 6 retrieval is recommended.

Formulation, Preparation, and Storage

Purification

Protein A purified

Reconstitution

Centrifuge the vial of lyophilized antibody at 12,000 x g for 20 seconds. Reconstitute by adding sterile, distilled water to achieve a final antibody concentration of 1mg/ml.

Formulation

Lyophilized from a 0.2 um filtered solution in PBS with Trehalose

Format

Azide and BSA Free

Preservative

No Preservative

Concentration

LYOPH mg/ml

Shipping

The product is shipped at ambient temperature. Upon receipt, store it immediately at the temperature recommended below.

Stability & Storage

Store at 4C short term. Aliquot and store at -20C long term. Avoid freeze-thaw cycles.

Background: Chk2

In response to DNA damage and replication blocks, cell cycle progression is halted through the control of critical cell cycle regulators. The protein encoded by this gene is a cell cycle checkpoint regulator and putative tumor suppressor. It contains a forkhead-associated protein interaction domain essential for activation in response to DNA damage and is rapidly phosphorylated in response to replication blocks and DNA damage. When activated, the encoded protein is known to inhibit CDC25C phosphatase, preventing entry into mitosis, and has been shown to stabilize the tumor suppressor protein p53, leading to cell cycle arrest in G1. In addition, this protein interacts with and phosphorylates BRCA1, allowing BRCA1 to restore survival after DNA damage. Mutations in this gene have been linked with Li-Fraumeni syndrome, a highly penetrant familial cancer phenotype usually associated with inherited mutations in TP53. Also, mutations in this gene are thought to confer a predisposition to sarcomas, breast cancer, and brain tumors. This nuclear protein is a member of the CDS1 subfamily of serine/threonine protein kinases. Three transcript variants encoding different isoforms have been found for this gene.

Long Name

Checkpoint Kinase 2

Alternate Names

CDS1, CHEK2, HuCds1, LFS2, PP1425, Rad53

Gene Symbol

CHEK2

Additional Chk2 Products

Product Documents for Chk2 Antibody (CL9440) - Azide and BSA Free

Certificate of Analysis

To download a Certificate of Analysis, please enter a lot number in the search box below.

Product Specific Notices for Chk2 Antibody (CL9440) - Azide and BSA Free

This product is for research use only and is not approved for use in humans or in clinical diagnosis. Primary Antibodies are guaranteed for 1 year from date of receipt.

Loading...
Loading...
Loading...
Loading...
Loading...