Skip to main content

CENPH Antibody (OTI2G4)

Novus Biologicals, part of Bio-Techne | Catalog # NBP2-01449

Novus Biologicals, part of Bio-Techne
Catalog #
Availability
Size / Price
Qty
Loading...
NBP2-01449

Key Product Details

Species Reactivity

Human

Applications

Immunohistochemistry, Immunohistochemistry-Paraffin, Western Blot, Flow Cytometry

Label

Unconjugated

Antibody Source

Monoclonal Mouse IgG1 Clone # OTI2G4

Concentration

0.81 mg/ml

Product Specifications

Immunogen

Full length human recombinant protein of human CENPH(NP_075060) produced in HEK293T cell.

Clonality

Monoclonal

Host

Mouse

Isotype

IgG1

Theoretical MW

28.3 kDa.
Disclaimer note: The observed molecular weight of the protein may vary from the listed predicted molecular weight due to post translational modifications, post translation cleavages, relative charges, and other experimental factors.

Description

Novus Biologicals Mouse CENPH Antibody (OTI2G4) (NBP2-01449) is a monoclonal antibody validated for use in IHC, WB and Flow. All Novus Biologicals antibodies are covered by our 100% guarantee.

Scientific Data Images for CENPH Antibody (OTI2G4)

Western Blot: CENPH Antibody (OTI2G4) [NBP2-01449]

Western Blot: CENPH Antibody (OTI2G4) [NBP2-01449]

Western Blot: CENPH Antibody (2G4) [NBP2-01449] - HEK293T cells were transfected with the pCMV6-ENTRY control (Left lane) or pCMV6-ENTRY CENPH (Right lane) cDNA for 48 hrs and lysed. Equivalent amounts of cell lysates (5 ug per lane) were separated by SDS-PAGE and immunoblotted with anti-CENPH.
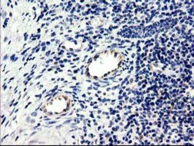
Immunohistochemistry-Paraffin: CENPH Antibody (2G4) [NBP2-01449] Staining of paraffin-embedded Human tonsil using anti-CENPH mouse monoclonal antibody.
Flow Cytometry: CENPH Antibody (OTI2G4) [NBP2-01449]

Flow Cytometry: CENPH Antibody (OTI2G4) [NBP2-01449]

Flow Cytometry: CENPH Antibody (2G4) [NBP2-01449] - HEK293T cells transfected with either overexpression plasmid (Red) or empty vector control plasmid (Blue) were immunostained by anti-CENPH antibody, and then analyzed by flow cytometry.

Applications for CENPH Antibody (OTI2G4)

Application
Recommended Usage

Flow Cytometry

1:100

Immunohistochemistry

1:150

Immunohistochemistry-Paraffin

1:150

Western Blot

1:500

Formulation, Preparation, and Storage

Purification

Immunogen affinity purified

Formulation

PBS (pH 7.3), 1.0% BSA and 50% Glycerol

Preservative

0.02% Sodium Azide

Concentration

0.81 mg/ml

Shipping

The product is shipped with polar packs. Upon receipt, store it immediately at the temperature recommended below.

Stability & Storage

Store at -20C. Avoid freeze-thaw cycles.

Background: CENPH

Centromere and kinetochore proteins play a critical role in centromere structure, kinetochore formation, and sister chromatid separation. The protein encoded by this gene colocalizes with inner kinetochore plate proteins CENP-A and CENP-C in both interphase and metaphase. It localizes outside of centromeric heterochromatin, where CENP-B is localized, and inside the kinetochore corona, where CENP-E is localized during prometaphase. It is thought that this protein can bind to itself, as well as to CENP-A, CENP-B or CENP-C. Multimers of the protein localize constitutively to the inner kinetochore plate and play an important role in the organization and function of the active centromere-kinetochore complex. [provided by RefSeq].

Alternate Names

CENP-H, centromere protein H, ICEN35, Interphase centromere complex protein 35, kinetochore protein CENP-H, NNF1, PMF1

Entrez Gene IDs

64946 (Human)

Gene Symbol

CENPH

Additional CENPH Products

Product Documents for CENPH Antibody (OTI2G4)

Certificate of Analysis

To download a Certificate of Analysis, please enter a lot number in the search box below.

Product Specific Notices for CENPH Antibody (OTI2G4)

This product is for research use only and is not approved for use in humans or in clinical diagnosis. Primary Antibodies are guaranteed for 1 year from date of receipt.

Loading...
Loading...
Loading...
Loading...
Loading...