Skip to main content

CEBP gamma Antibody - BSA Free

Novus Biologicals, part of Bio-Techne | Catalog # NBP1-89742

Novus Biologicals, part of Bio-Techne
Catalog #
Availability
Size / Price
Qty
Loading...
NBP1-89742
NBP1-89742-25ul

Key Product Details

Validated by

Orthogonal Validation

Species Reactivity

Validated:

Human

Predicted:

Mouse (97%), Rat (98%). Backed by our 100% Guarantee.

Applications

Immunohistochemistry, Immunohistochemistry-Paraffin, Western Blot, Immunocytochemistry/ Immunofluorescence

Label

Unconjugated

Antibody Source

Polyclonal Rabbit IgG

Format

BSA Free

Concentration

Concentrations vary lot to lot. See vial label for concentration. If unlisted please contact technical services.

Product Specifications

Immunogen

This antibody was developed against Recombinant Protein corresponding to amino acids: GVNGISVIHTQAHASGLQQVPQLVPAGPGGGGKAVAPSKQSKKSSPMDRNSDEYRQRRERNNMAVKKSRLKSKQKAQDTLQRVNQLKEENERLEAKIKLLTKELSVLKDLFLEHAHNLADNVQSISTENT

Clonality

Polyclonal

Host

Rabbit

Isotype

IgG

Description

Novus Biologicals Rabbit CEBP gamma Antibody - BSA Free (NBP1-89742) is a polyclonal antibody validated for use in IHC, WB and ICC/IF. All Novus Biologicals antibodies are covered by our 100% guarantee.

Scientific Data Images for CEBP gamma Antibody - BSA Free

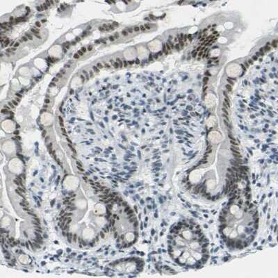
Immunohistochemistry-Paraffin: CEBP gamma Antibody [NBP1-89742]

Immunohistochemistry-Paraffin: CEBP gamma Antibody [NBP1-89742]

Immunohistochemistry-Paraffin: CEBP gamma Antibody [NBP1-89742] - Staining in human small intestine and pancreas tissues using anti-CEBPG antibody. Corresponding CEBPG RNA-seq data are presented for the same tissues.
Western Blot: CEBP gamma Antibody [NBP1-89742]

Western Blot: CEBP gamma Antibody [NBP1-89742]

Western Blot: CEBP gamma Antibody [NBP1-89742] - Analysis in control (vector only transfected HEK293T lysate) and CEBPG over-expression lysate (Co-expressed with a C-terminal myc-DDK tag (3.1 kDa) in mammalian HEK293T cells).
Immunocytochemistry/ Immunofluorescence: CEBP gamma Antibody [NBP1-89742]

Immunocytochemistry/ Immunofluorescence: CEBP gamma Antibody [NBP1-89742]

Immunocytochemistry/Immunofluorescence: CEBP gamma Antibody [NBP1-89742] - Staining of human cell line U-2 OS shows localization to nucleoplasm. Antibody staining is shown in green.

Applications for CEBP gamma Antibody - BSA Free

Application
Recommended Usage

Immunocytochemistry/ Immunofluorescence

0.25-2 ug/ml

Immunohistochemistry

1:20 - 1:50

Immunohistochemistry-Paraffin

1:20 - 1:50

Western Blot

0.04-0.4 ug/ml
Application Notes
For IHC-Paraffin, HIER pH 6 retrieval is recommended. ICC/IF Fixation Permeabilization: Use PFA/Triton X-100.

Formulation, Preparation, and Storage

Purification

Affinity purified

Formulation

PBS (pH 7.2) and 40% Glycerol

Format

BSA Free

Preservative

0.02% Sodium Azide

Concentration

Concentrations vary lot to lot. See vial label for concentration. If unlisted please contact technical services.

Shipping

The product is shipped with polar packs. Upon receipt, store it immediately at the temperature recommended below.

Stability & Storage

Store at 4C short term. Aliquot and store at -20C long term. Avoid freeze-thaw cycles.

Background: CEBP gamma

The transcription factor C/EBP alpha (CCAAT-enhancer binding protein) is a heatstable, sequence-specific DNA-binding protein first purified from rat liver nuclei that binds avidly to several different cis-regulatory DNA sequences commonly associated with viral and cellular genes transcribed by RNA polymerase II. C/EBP alpha regulates gene expression in a variety of tissues including liver, adipose, lung and intestine. C/EBP alpha uses a bipartite structural motif to bind DNA. Two protein chains dimerize through a set of amphipathic alpha helices termed the leucine zipper. Highly basic polypeptide regions emerge from the zipper to form a linked set of DNA contact surfaces. C/EBP alpha appears to function exclusively in terminally differentiated, growth-arrested cells. Additional family members include C/EBP beta, C/EBP gamma,C/EBP delta and C/EBP episilon, all of which exhibit similar DNA-binding specificities and affinities to C/EBP alpha. Furthermore, C/EBP beta and C/EBP delta readily form heterodimers both with each other as well as with C/EBP alpha.

Alternate Names

c/EBP gamma, CCAAT/enhancer binding protein (C/EBP), gamma, CCAAT/enhancer-binding protein gamma, GPE1BP, IG/EBP-1

Gene Symbol

CEBPG

Additional CEBP gamma Products

Product Documents for CEBP gamma Antibody - BSA Free

Certificate of Analysis

To download a Certificate of Analysis, please enter a lot number in the search box below.

Product Specific Notices for CEBP gamma Antibody - BSA Free

This product is for research use only and is not approved for use in humans or in clinical diagnosis. Primary Antibodies are guaranteed for 1 year from date of receipt.

Loading...
Loading...
Loading...
Loading...